• 文献检索
  • 文档翻译
  • 深度研究
  • 学术资讯
  • Suppr Zotero 插件Zotero 插件
  • 邀请有礼
  • 套餐&价格
  • 历史记录
应用&插件
Suppr Zotero 插件Zotero 插件浏览器插件Mac 客户端Windows 客户端微信小程序
定价
高级版会员购买积分包购买API积分包
服务
文献检索文档翻译深度研究API 文档MCP 服务
关于我们
关于 Suppr公司介绍联系我们用户协议隐私条款
关注我们

Suppr 超能文献

核心技术专利:CN118964589B侵权必究
粤ICP备2023148730 号-1Suppr @ 2026

文献检索

告别复杂PubMed语法,用中文像聊天一样搜索,搜遍4000万医学文献。AI智能推荐,让科研检索更轻松。

立即免费搜索

文件翻译

保留排版,准确专业,支持PDF/Word/PPT等文件格式,支持 12+语言互译。

免费翻译文档

深度研究

AI帮你快速写综述,25分钟生成高质量综述,智能提取关键信息,辅助科研写作。

立即免费体验

一例罕见的需要紧急干预的感染性气管憩室病例报告

A rare case of an infected tracheal diverticulum requiring emergency intervention: A case report.

作者信息

Akabane Shota, Kawachi Jun, Fukai Ryuta, Shimoyama Rai, Kashiwagi Hiroyuki, Ogino Hidemitsu, Watanabe Kazunao

机构信息

Department of General Surgery, Shonan Kamakura General Hospital, Okamoto 1370, Kamakura, Kanagawa, Japan.

出版信息

Int J Surg Case Rep. 2016;24:7-9. doi: 10.1016/j.ijscr.2016.04.051. Epub 2016 May 6.

DOI:10.1016/j.ijscr.2016.04.051
PMID:27176502
原文链接:https://pmc.ncbi.nlm.nih.gov/articles/PMC4872469/
Abstract

INTRODUCTION

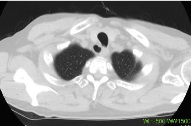
Recent advancement in radiological imaging has revealed an increasing amount of asymptomatic abnormalities. Tracheal diverticula are relatively rare entities and are incidentally found on radiological imaging such as computed tomography. Here, we present a case of an infected tracheal diverticulum presenting as a paratracheal mass, which required emergency intervention.

CASE PRESENTATION

A 65-year-old Japanese nonsmoker man presented with a fever, lower neck pain, and the aggravation of dyspnea for a week. An enhanced computed tomography scan demonstrated that the trachea was displaced by a paratracheal mass with a well-defined thin wall. His respiratory status was so urgent that emergency intubation and surgical drainage of the abscess were performed. A computed tomography scan performed 4days after admission demonstrated shrinking of the abscess, and he was extubated and discharged 7days after admission without any complications.

CONCLUSION

To the best of our knowledge, this is the first report to confirm an infected tracheal diverticulum presenting as a paratracheal abscess, which required emergency intervention. Moreover, computed tomography plays an important role in the differentiation of paratracheal masses.

摘要

引言

放射影像学的最新进展显示,无症状异常的发现数量不断增加。气管憩室相对罕见,通常在计算机断层扫描等放射影像学检查中偶然发现。在此,我们报告一例以气管旁肿块形式出现的感染性气管憩室病例,该病例需要紧急干预。

病例介绍

一名65岁的日本男性非吸烟者,出现发热、下颈部疼痛和呼吸困难加重一周。增强计算机断层扫描显示,气管被一个薄壁清晰的气管旁肿块推移。他的呼吸状况非常紧急,因此进行了紧急插管和脓肿手术引流。入院4天后进行的计算机断层扫描显示脓肿缩小,他在入院7天后拔管出院,无任何并发症。

结论

据我们所知,这是第一例证实以气管旁脓肿形式出现的感染性气管憩室并需要紧急干预的报告。此外,计算机断层扫描在气管旁肿块的鉴别诊断中起着重要作用。

https://cdn.ncbi.nlm.nih.gov/pmc/blobs/9f43/4872469/99b5fb7be42e/gr3.jpg
https://cdn.ncbi.nlm.nih.gov/pmc/blobs/9f43/4872469/8dc4750bf483/gr1.jpg
https://cdn.ncbi.nlm.nih.gov/pmc/blobs/9f43/4872469/6902dc842f7e/gr2.jpg
https://cdn.ncbi.nlm.nih.gov/pmc/blobs/9f43/4872469/99b5fb7be42e/gr3.jpg
https://cdn.ncbi.nlm.nih.gov/pmc/blobs/9f43/4872469/8dc4750bf483/gr1.jpg
https://cdn.ncbi.nlm.nih.gov/pmc/blobs/9f43/4872469/6902dc842f7e/gr2.jpg
https://cdn.ncbi.nlm.nih.gov/pmc/blobs/9f43/4872469/99b5fb7be42e/gr3.jpg

相似文献

1
A rare case of an infected tracheal diverticulum requiring emergency intervention: A case report.一例罕见的需要紧急干预的感染性气管憩室病例报告
Int J Surg Case Rep. 2016;24:7-9. doi: 10.1016/j.ijscr.2016.04.051. Epub 2016 May 6.
2
An unusual cause for globus sensation: infected tracheal diverticulum with abscess formation.一种不常见的球感异常原因:感染性气管憩室伴脓肿形成。
J Laryngol Otol. 2022 Feb;136(2):185-187. doi: 10.1017/S0022215121003807. Epub 2021 Nov 25.
3
A right paratracheal air cyst caused by tracheal diverticula.气管憩室引起的右气管旁气囊肿。
Intern Med. 2010;49(4):315-9. doi: 10.2169/internalmedicine.49.2731. Epub 2010 Feb 15.
4
Paratracheal abscess after traumatic tracheal intubation.创伤性气管插管后气管旁脓肿
Anaesth Rep. 2020 Jun 8;8(1):48-51. doi: 10.1002/anr3.12045. eCollection 2020 Jan-Jun.
5
Transcervical resection of tracheal diverticulum.经宫颈气管憩室切除术。
Head Neck. 2017 Jan;39(1):187-190. doi: 10.1002/hed.24538. Epub 2016 Jul 20.
6
Multiple Tracheal Diverticula in a COVID-19 Positive Patient.新冠肺炎阳性患者的多发气管憩室。
Ear Nose Throat J. 2023 Dec;102(12):806-809. doi: 10.1177/01455613211034602. Epub 2021 Jul 19.
7
The diseases of airway-tracheal diverticulum: a review of the literature.气管憩室疾病:文献综述
J Thorac Dis. 2016 Oct;8(10):E1163-E1167. doi: 10.21037/jtd.2016.10.92.
8
The role of MRI in the diagnosis and management of tracheal diverticulum.MRI 在诊断和治疗气管憩室中的作用。
BMC Med Imaging. 2022 Apr 22;22(1):74. doi: 10.1186/s12880-022-00802-9.
9
Infected tracheocoele (acquired tracheal diverticulum): case report and literature review.感染性气管膨出(后天性气管憩室):病例报告及文献综述。
J Laryngol Otol. 2011 May;125(5):540-5. doi: 10.1017/S0022215110003026. Epub 2011 Feb 11.
10
An Unusual Case of Iatrogenic Tracheal Diverticulum Found in a Mechanically Ventilated Patient: To Treat or Not to Treat.在一名机械通气患者中发现的医源性气管憩室罕见病例:治疗与否。
Cureus. 2019 Oct 15;11(10):e5911. doi: 10.7759/cureus.5911.

引用本文的文献

1
A Case of Bronchial Diverticulum With Progressive Enlargement and Abscess Formation Successfully Managed by Endobronchial Ultrasound-Guided Transbronchial Needle Aspiration and Antibiotic Therapy.一例支气管憩室伴进行性增大及脓肿形成经支气管内超声引导下经支气管针吸活检及抗生素治疗成功治愈的病例
Respirol Case Rep. 2025 Jun 22;13(6):e70251. doi: 10.1002/rcr2.70251. eCollection 2025 Jun.
2
Complicated tracheal diverticulitis.复杂性气管憩室炎
J Bras Pneumol. 2025 Jan 20;50(6):e20240212. doi: 10.36416/1806-3756/e20240212.
3
Tracheal Diverticulum Mimicking Pneumomediastinum: A Case Report Emphasizing the Importance of Differential Diagnosis in Chest Imaging Evaluation.

本文引用的文献

1
A rare cause of odynophagia: infected tracheal diverticulum.吞咽痛的罕见病因:感染性气管憩室。
Kulak Burun Bogaz Ihtis Derg. 2015;25(2):126-30. doi: 10.5606/kbbihtisas.2015.81205.
2
Tracheal diverticulum: a case report and literature review.气管憩室:一例病例报告及文献综述
Am J Otolaryngol. 2014 Jul-Aug;35(4):542-5. doi: 10.1016/j.amjoto.2014.03.015. Epub 2014 Mar 26.
3
Calyceal diverticulum - a mimic of different pathologies on multiple imaging modalities.肾盏憩室——多种影像学检查中不同病变的一种类似表现。
酷似纵隔气肿的气管憩室:一例强调胸部影像评估中鉴别诊断重要性的病例报告
Cureus. 2023 May 21;15(5):e39297. doi: 10.7759/cureus.39297. eCollection 2023 May.
4
Multiple tracheobronchial diverticula in a post-TB patient: A case report.一名肺结核患者出现多发气管支气管憩室:病例报告
Clin Case Rep. 2022 Dec 27;10(12):e6787. doi: 10.1002/ccr3.6787. eCollection 2022 Dec.
5
Multiple Tracheobronchial Diverticula Presenting with Mediastinitis.多发性气管支气管憩室伴纵隔炎
Intern Med. 2023 Jan 15;62(2):309-310. doi: 10.2169/internalmedicine.9769-22. Epub 2022 Jun 14.
6
The role of MRI in the diagnosis and management of tracheal diverticulum.MRI 在诊断和治疗气管憩室中的作用。
BMC Med Imaging. 2022 Apr 22;22(1):74. doi: 10.1186/s12880-022-00802-9.
7
Tracheal and main bronchial diverticula simulating pneumomediastinum following a motor vehicle collision.机动车碰撞后模拟纵隔气肿的气管及主支气管憩室
Radiol Case Rep. 2021 Aug 26;16(11):3250-3254. doi: 10.1016/j.radcr.2021.08.003. eCollection 2021 Nov.
8
An Unusual Case of Iatrogenic Tracheal Diverticulum Found in a Mechanically Ventilated Patient: To Treat or Not to Treat.在一名机械通气患者中发现的医源性气管憩室罕见病例:治疗与否。
Cureus. 2019 Oct 15;11(10):e5911. doi: 10.7759/cureus.5911.
9
Thoracoscopic resection of esophageal cancer with a tracheal diverticulum.胸腔镜下食管癌合并气管憩室切除术
Gen Thorac Cardiovasc Surg. 2018 Feb;66(2):116-119. doi: 10.1007/s11748-017-0852-3. Epub 2017 Oct 24.
10
The diseases of airway-tracheal diverticulum: a review of the literature.气管憩室疾病:文献综述
J Thorac Dis. 2016 Oct;8(10):E1163-E1167. doi: 10.21037/jtd.2016.10.92.
J Radiol Case Rep. 2012 Sep;6(9):10-7. doi: 10.3941/jrcr.v6i9.1123. Epub 2012 Sep 1.
4
Giant urethral diverticulum calculus presenting as scrotal abscess.巨大尿道憩室结石致阴囊脓肿
Hong Kong Med J. 2012 Feb;18(1):66-7.
5
Intermittently symptomatic tracheal diverticulum: a case of a rare clinical phenomenon.间歇性症状性气管憩室:一例罕见临床现象
Ear Nose Throat J. 2011 Sep;90(9):E10-2. doi: 10.1177/014556131109000918.
6
Infected tracheocoele (acquired tracheal diverticulum): case report and literature review.感染性气管膨出(后天性气管憩室):病例报告及文献综述。
J Laryngol Otol. 2011 May;125(5):540-5. doi: 10.1017/S0022215110003026. Epub 2011 Feb 11.
7
Paratracheal air cysts: a common finding on routine CT examinations of the cervical spine and neck that may mimic pneumomediastinum in patients with traumatic injuries.气管旁气囊肿:颈椎和颈部常规CT检查中的常见发现,在创伤患者中可能类似纵隔气肿。
AJNR Am J Neuroradiol. 2008 Jun;29(6):1218-21. doi: 10.3174/ajnr.A1058.
8
Management of symptomatic tracheal pouches.有症状气管憩室的管理
Int J Pediatr Otorhinolaryngol. 2007 Apr;71(4):527-31. doi: 10.1016/j.ijporl.2006.10.024. Epub 2007 Feb 6.
9
Surgical treatment of acquired tracheocele.后天性气管膨出的外科治疗。
Ear Nose Throat J. 2006 Jun;85(6):386-7.
10
Imaging of cystic masses of the mediastinum.纵隔囊性肿物的影像学表现
Radiographics. 2002 Oct;22 Spec No:S79-93. doi: 10.1148/radiographics.22.suppl_1.g02oc09s79.