• 文献检索
  • 文档翻译
  • 深度研究
  • 学术资讯
  • Suppr Zotero 插件Zotero 插件
  • 邀请有礼
  • 套餐&价格
  • 历史记录
应用&插件
Suppr Zotero 插件Zotero 插件浏览器插件Mac 客户端Windows 客户端微信小程序
定价
高级版会员购买积分包购买API积分包
服务
文献检索文档翻译深度研究API 文档MCP 服务
关于我们
关于 Suppr公司介绍联系我们用户协议隐私条款
关注我们

Suppr 超能文献

核心技术专利:CN118964589B侵权必究
粤ICP备2023148730 号-1Suppr @ 2026

文献检索

告别复杂PubMed语法,用中文像聊天一样搜索,搜遍4000万医学文献。AI智能推荐,让科研检索更轻松。

立即免费搜索

文件翻译

保留排版,准确专业,支持PDF/Word/PPT等文件格式,支持 12+语言互译。

免费翻译文档

深度研究

AI帮你快速写综述,25分钟生成高质量综述,智能提取关键信息,辅助科研写作。

立即免费体验

一例支气管憩室伴进行性增大及脓肿形成经支气管内超声引导下经支气管针吸活检及抗生素治疗成功治愈的病例

A Case of Bronchial Diverticulum With Progressive Enlargement and Abscess Formation Successfully Managed by Endobronchial Ultrasound-Guided Transbronchial Needle Aspiration and Antibiotic Therapy.

作者信息

Aoki Hikaru, Aikawa Masaki, Kushima Yoshitomo, Watanabe Jiro, Shima Toshiyuki, Kameyama Yoju

机构信息

Department of Thoracic Surgery Ashikaga Red Cross Hospital Ashikaga Japan.

Department of Medicine Ashikaga Red Cross Hospital Ashikaga Japan.

出版信息

Respirol Case Rep. 2025 Jun 22;13(6):e70251. doi: 10.1002/rcr2.70251. eCollection 2025 Jun.

DOI:10.1002/rcr2.70251
PMID:40551963
原文链接:https://pmc.ncbi.nlm.nih.gov/articles/PMC12183338/
Abstract

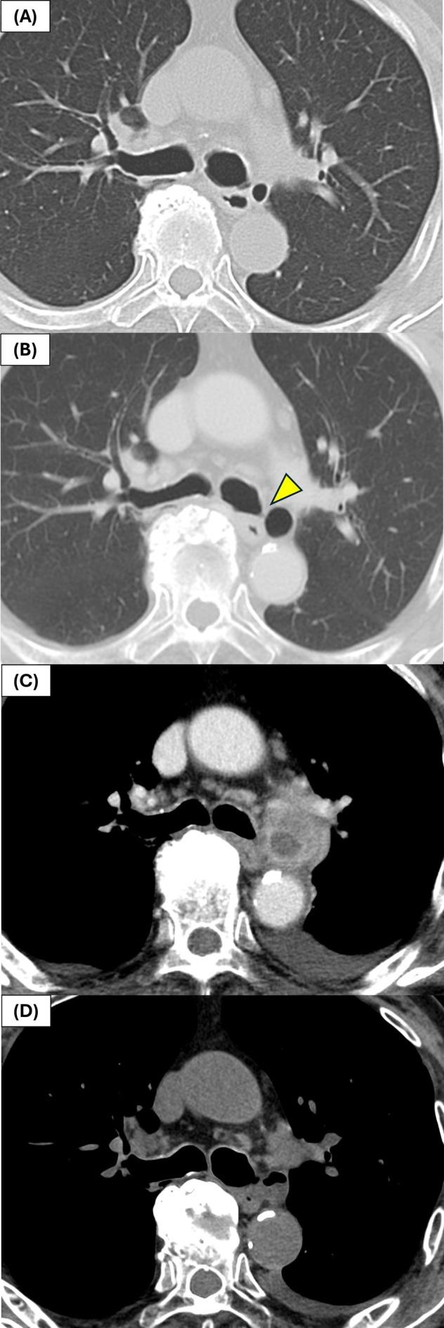
Bronchial diverticulum (BD) is a rare airway abnormality that rarely enlarges significantly or becomes infected. We report a case of an 80-year-old male with a 15-year history of asymptomatic BD that gradually increased in size and eventually developed into an abscess. Chest computed tomography revealed a cystic lesion adjacent to the left main bronchus with internal fluid and surrounding inflammation. Endobronchial ultrasound-guided transbronchial needle aspiration (EBUS-TBNA) enabled safe aspiration and identification of alpha-hemolytic despite the absence of a visible bronchial opening. The infection was successfully managed with antibiotics alone, thereby avoiding surgical intervention. This case highlights the potential for long-term asymptomatic BD to develop infection and demonstrates the diagnostic utility of EBUS-TBNA for lesions adjacent to vital structures. However, further studies are needed to clarify infection risk factors and optimal management strategies for BD.

摘要

支气管憩室(BD)是一种罕见的气道异常,很少会显著增大或发生感染。我们报告一例80岁男性,有无症状BD病史15年,其大小逐渐增加,最终发展为脓肿。胸部计算机断层扫描显示左主支气管旁有一个囊性病变,内部有液体且周围有炎症。尽管没有可见的支气管开口,但支气管内超声引导下经支气管针吸活检(EBUS-TBNA)实现了安全抽吸并鉴定出α溶血性菌。仅用抗生素就成功控制了感染,从而避免了手术干预。该病例突出了长期无症状BD发生感染的可能性,并证明了EBUS-TBNA对重要结构附近病变的诊断效用。然而,需要进一步研究以阐明BD的感染危险因素和最佳管理策略。

https://cdn.ncbi.nlm.nih.gov/pmc/blobs/57cc/12183338/d3415bb19b19/RCR2-13-e70251-g002.jpg
https://cdn.ncbi.nlm.nih.gov/pmc/blobs/57cc/12183338/eee95394e0b5/RCR2-13-e70251-g001.jpg
https://cdn.ncbi.nlm.nih.gov/pmc/blobs/57cc/12183338/d3415bb19b19/RCR2-13-e70251-g002.jpg
https://cdn.ncbi.nlm.nih.gov/pmc/blobs/57cc/12183338/eee95394e0b5/RCR2-13-e70251-g001.jpg
https://cdn.ncbi.nlm.nih.gov/pmc/blobs/57cc/12183338/d3415bb19b19/RCR2-13-e70251-g002.jpg

相似文献

1
A Case of Bronchial Diverticulum With Progressive Enlargement and Abscess Formation Successfully Managed by Endobronchial Ultrasound-Guided Transbronchial Needle Aspiration and Antibiotic Therapy.一例支气管憩室伴进行性增大及脓肿形成经支气管内超声引导下经支气管针吸活检及抗生素治疗成功治愈的病例
Respirol Case Rep. 2025 Jun 22;13(6):e70251. doi: 10.1002/rcr2.70251. eCollection 2025 Jun.
2
Radial endobronchial ultrasound (EBUS)-guided transbronchial needle aspiration (TBNA) enhances diagnostic yield in pulmonary nodule biopsy.径向支气管内超声(EBUS)引导下经支气管针吸活检(TBNA)可提高肺结节活检的诊断率。
Transl Lung Cancer Res. 2025 May 30;14(5):1611-1621. doi: 10.21037/tlcr-2025-68. Epub 2025 May 28.
3
Endobronchial ultrasound-guided transbronchial needle aspiration in peripheral pulmonary lesions: a systematic review and meta-analysis.支气管内超声引导下经支气管针吸活检术在周围型肺部病变中的应用:一项系统评价和Meta分析
Clin Exp Metastasis. 2023 Feb;40(1):45-52. doi: 10.1007/s10585-022-10190-7. Epub 2022 Nov 19.
4
A retrospective cohort study of the clinical safety of endobronchial ultrasound in patients with superior vena cava obstruction.一项关于支气管内超声在上腔静脉阻塞患者中临床安全性的回顾性队列研究。
Medicine (Baltimore). 2025 Jun 13;104(24):e42969. doi: 10.1097/MD.0000000000042969.
5
Effect of Needle Size on Diagnosis of Sarcoidosis with Endobronchial Ultrasound-guided Transbronchial Needle Aspiration: Systematic Review and Meta-Analysis.支气管内超声引导下经支气管针吸活检术对结节病的诊断中针的大小的影响:系统评价和荟萃分析。
Ann Am Thorac Soc. 2022 Feb;19(2):279-290. doi: 10.1513/AnnalsATS.202103-366OC.
6
Training and proficiency in endobronchial ultrasound-guided transbronchial needle aspiration: A systematic review.经支气管超声引导针吸活检术的培训和熟练程度:系统评价。
Respirology. 2017 Nov;22(8):1547-1557. doi: 10.1111/resp.13121. Epub 2017 Jul 16.
7
Test performance of endobronchial ultrasound and transbronchial needle aspiration biopsy for mediastinal staging in patients with lung cancer: systematic review and meta-analysis.支气管内超声和经支气管针吸活检对肺癌纵隔分期的检测性能:系统评价和荟萃分析。
Thorax. 2009 Sep;64(9):757-62. doi: 10.1136/thx.2008.109868. Epub 2009 May 18.
8
Combined EBUS-IFB and EBUS-TBNA vs EBUS-TBNA Alone for Intrathoracic Adenopathy: A Meta-Analysis.联合 EBUS-IFB 和 EBUS-TBNA 与单独 EBUS-TBNA 用于胸腔内淋巴结病:一项荟萃分析。
Ann Thorac Surg. 2022 Jul;114(1):340-348. doi: 10.1016/j.athoracsur.2020.12.049. Epub 2021 Jan 21.
9
[Esophageal bronchial fistula secondary to esophageal diverticulum: A case report and literature review].[食管憩室继发食管支气管瘘:一例报告及文献复习]
Zhonghua Jie He He Hu Xi Za Zhi. 2018 Aug 12;41(8):622-627. doi: 10.3760/cma.j.issn.1001-0939.2018.08.010.
10
Cryobiopsy-Based Tri-Modality Sampling Using an Ultrathin Bronchoscope for the Diagnosis of Peripheral Lung Lesions: A Prospective Observational Study.基于冷冻活检的三联模式采样:使用超薄支气管镜诊断周围型肺病变的前瞻性观察研究
Respiration. 2025 May 30:1-12. doi: 10.1159/000546433.

本文引用的文献

1
Right lower lobectomy and lymph node dissection for lung cancer with subcarinal bronchial diverticulum.右下叶切除术及肺癌伴隆突下支气管憩室的淋巴结清扫术。
J Surg Case Rep. 2025 Apr 19;2025(4):rjaf223. doi: 10.1093/jscr/rjaf223. eCollection 2025 Apr.
2
Enlarged mediastinal air cyst in a patient with bronchial diverticula localized in the left main bronchus: a case report with surgical and bronchoscopic findings.一名左主支气管存在支气管憩室的患者出现纵隔气囊肿增大:一份包含手术及支气管镜检查结果的病例报告
Surg Case Rep. 2017 Dec;3(1):1. doi: 10.1186/s40792-016-0282-y. Epub 2017 Jan 3.
3
A rare case of an infected tracheal diverticulum requiring emergency intervention: A case report.
一例罕见的需要紧急干预的感染性气管憩室病例报告
Int J Surg Case Rep. 2016;24:7-9. doi: 10.1016/j.ijscr.2016.04.051. Epub 2016 May 6.
4
Characteristics and CT features of subcarinal air collections/main bronchial diverticula.隆突下空气聚集/主支气管憩室的特征和 CT 特征。
Eur Radiol. 2010 Jan;20(1):95-9. doi: 10.1007/s00330-009-1526-z. Epub 2009 Aug 6.