Suppr超能文献

保留睾丸成功治疗阴囊表皮样囊肿:一例报告

Epidermal Cyst in the Scrotum Successfully Treated while Preserving the Testis: A Case Report.

作者信息

Kondo Takuya, Kawahara Takashi, Matsumoto Taro, Yamamoto Yuko, Tsutsui Miho, Ohtani Masako, Ohtaka Mari, Kumano Yohei, Maeda Yoko, Mochizuki Taku, Mori Kohei, Asai Takuo, Kuroda Shinnosuke, Takeshima Teppei, Hattori Yusuke, Teranishi Jun-Ichi, Miyoshi Yasuhide, Yumura Yasushi, Yao Masahiro, Inayama Yoshiaki, Uemura Hiroji

机构信息

Department of Urology and Renal Transplantation, Yokohama City University Medical Center, Yokohama, Japan.

Department of Urology and Renal Transplantation, Yokohama City University Medical Center, Yokohama, Japan; Department of Urology, Yokohama City University Graduate School of Medicine, Yokohama, Japan.

出版信息

Case Rep Oncol. 2016 Apr 21;9(1):235-40. doi: 10.1159/000445826. eCollection 2016 Jan-Apr.

Abstract

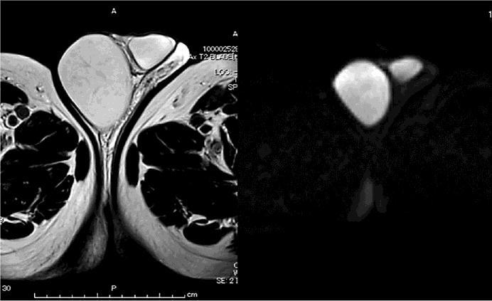
A 66-year-old male was referred to our hospital for further examination of a scrotal mass. Because of the risk of testicular cancer, we first clamped the vessels as a course of higher orchiectomy. Then, we approached the tumor through the scrotum and successfully resected it while preserving the testis. A histopathological diagnosis revealed an epidermal cyst. We herein report a rare case of an intrascrotal epidermal cyst successfully treated while preserving the testis.

摘要

一名66岁男性因阴囊肿物被转诊至我院做进一步检查。鉴于存在睾丸癌风险,我们首先结扎血管,作为高位睾丸切除术的一个步骤。然后,我们经阴囊入路接近肿瘤,成功将其切除,同时保留了睾丸。组织病理学诊断为表皮样囊肿。我们在此报告一例罕见的阴囊内表皮样囊肿,成功保留睾丸进行治疗的病例。

https://cdn.ncbi.nlm.nih.gov/pmc/blobs/37c0/4868926/e4ae90aaf647/cro-0009-0235-g01.jpg

文献AI研究员

20分钟写一篇综述,助力文献阅读效率提升50倍。

立即体验

用中文搜PubMed

大模型驱动的PubMed中文搜索引擎

马上搜索

文档翻译

学术文献翻译模型,支持多种主流文档格式。

立即体验