Suppr超能文献

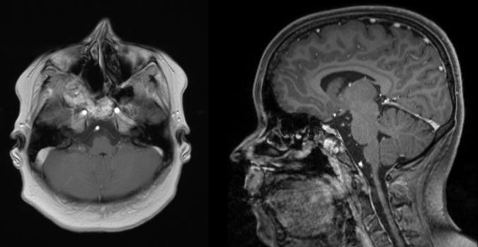
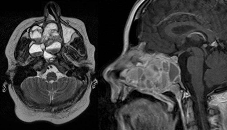
Endoscopic surgery of an extensive aneurysmatic bone cyst of the paranasal sinuses in a 12-year-old patient.

作者信息

Wolf Axel, Koele Wolfgang, Ratschek Manfred, Lang-Loidolt Doris, Tomazic Peter Valentin

机构信息

Medical University of Graz, Department of Otorhinolaryngology, Graz, Austria.

Medical University of Graz, Institute for Pathology, Graz, Austria.

出版信息

Braz J Otorhinolaryngol. 2019 Nov-Dec;85(6):803-808. doi: 10.1016/j.bjorl.2016.04.008. Epub 2016 May 6.

Abstract
摘要
https://cdn.ncbi.nlm.nih.gov/pmc/blobs/dc25/9443026/37bdcf821937/gr1.jpg

相似文献

1
Endoscopic surgery of an extensive aneurysmatic bone cyst of the paranasal sinuses in a 12-year-old patient.
Braz J Otorhinolaryngol. 2019 Nov-Dec;85(6):803-808. doi: 10.1016/j.bjorl.2016.04.008. Epub 2016 May 6.
3
Aneurysmal bone cyst in the sphenoid bone: treatment with minimally invasive surgery.
Ann Otol Rhinol Laryngol. 2001 Apr;110(4):331-4. doi: 10.1177/000348940111000407.
4
Primary aneurysmal bone cyst of the maxillary sinus in a child: case report and review of the literature.
Eur Arch Otorhinolaryngol. 2006 Jul;263(7):695-8. doi: 10.1007/s00405-006-0037-7. Epub 2006 Apr 12.
5
3D endoscopic approach for endonasal sinus surgery.
Annu Int Conf IEEE Eng Med Biol Soc. 2007;2007:4683-6. doi: 10.1109/IEMBS.2007.4353385.
6
Multiplanar sinus CT: a systematic approach to imaging before functional endoscopic sinus surgery.
AJR Am J Roentgenol. 2010 Jun;194(6):W527-36. doi: 10.2214/AJR.09.3584.
7
Radiologic assessment preoperative to endoscopic sinus surgery.
Otolaryngol Clin North Am. 1989 Aug;22(4):691-701.
8
Paediatric aneurysmal bone cysts of the head and neck.
J Laryngol Otol. 2009 Jun;123(6):635-41. doi: 10.1017/S002221510800337X. Epub 2008 Sep 2.
9
Endoscopic nasal surgery.
N J Med. 1989 Nov;86(11):883-5.

本文引用的文献

1
Current Strategies for the Treatment of Aneurysmal Bone Cysts.
Orthop Rev (Pavia). 2015 Dec 28;7(4):6182. doi: 10.4081/or.2015.6182.
2
Aneurysmal bone cyst of paranasal sinuses.
Indian J Otolaryngol Head Neck Surg. 2002 Oct;54(4):305-7. doi: 10.1007/BF02993751.
4
Imaging study of ossifying fibroma with associated aneurysmal bone cyst in the paranasal sinus.
Eur J Radiol. 2012 Nov;81(11):3450-5. doi: 10.1016/j.ejrad.2012.05.010. Epub 2012 Jun 4.
5
Aneurysmal bone cyst at the base of the skull.
Ear Nose Throat J. 2012 May;91(5):E7-9. doi: 10.1177/014556131209100515.
9
Massive aneurysmal bone cyst of the anterior cranial fossa floor--case report.
Neurol Med Chir (Tokyo). 2001 Dec;41(12):615-9. doi: 10.2176/nmc.41.615.
10
Aneurysmal bone cyst of the frontal sinus.
Am J Otolaryngol. 2001 Jul-Aug;22(4):291-3. doi: 10.1053/ajot.2001.24827.

文献AI研究员

20分钟写一篇综述,助力文献阅读效率提升50倍。

立即体验

用中文搜PubMed

大模型驱动的PubMed中文搜索引擎

马上搜索

文档翻译

学术文献翻译模型,支持多种主流文档格式。

立即体验