Zargaran Massoumeh, Moghimbeigi Abbas, Afsharmoghadam Noushin, Nasr Isfahani Mohsen, Hashemi Atefeh
Dental Research Center, Dept. of Oral and Maxillofacial Pathology, Dental School, Hamadan University of Medical Sciences, Hamadan, Iran.
Modeling of Noncommunicable Disease Research Center, Dept. of Biostatistics and Epidemiology, School of Public Health, Hamadan University of Medical Sciences, Hamadan, Iran.
J Dent (Shiraz). 2016 Jun;17(2):98-104.
Peripheral and central giant cell granuloma are two common benign lesions of the oral cavity. In spite of histopathological similarities, they have different clinical behaviors. Cathepsin D is a lysosomal enzyme which has different functions on the basis of protein and applied peptide cleavage.
This research aimed to evaluate and compare the expression level of Cathepsin D in these two lesions to find the reasons for the differences in clinical and biologic characteristics.
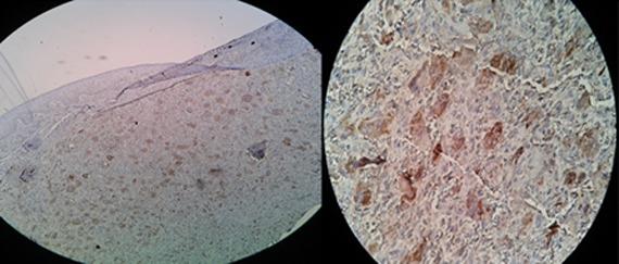
The expression of Cathepsin D was investigated by using the immunohistochemistry method in 20 samples of peripheral giant cell granuloma and 20 samples of central giant cell granuloma. The percentage of stained giant cells (labeling index), the intensity of staining of giant cells, and staining-intensity-distribution in both groups were calculated and compared.
The labeling indices of Cathepsin D in peripheral giant cell granuloma and central giant cell granuloma were 95.9±4.03 and 95.6±2.34, respectively. There was no significant difference in the percentages of stained giant cells between the two groups (p= 0.586). The intensity of staining of giant cells in central giant cell granuloma was stronger than that of peripheral giant cell granuloma (p> 0.001). Staining- intensity- distribution of giant cells in central giant cell granuloma was significantly greater than that of the peripheral type of lesion (p= 0.001).
The higher expression level of Cathepsin D in central giant cell granuloma compared to peripheral type of lesion can explain more aggressive behavior of central giant cell granuloma.
外周性巨细胞肉芽肿和中央性巨细胞肉芽肿是口腔常见的两种良性病变。尽管它们在组织病理学上有相似之处,但临床行为不同。组织蛋白酶D是一种溶酶体酶,根据蛋白质和应用肽裂解作用具有不同功能。
本研究旨在评估和比较这两种病变中组织蛋白酶D的表达水平,以找出临床和生物学特征差异的原因。
采用免疫组织化学方法检测20例外周性巨细胞肉芽肿和20例中央性巨细胞肉芽肿样本中组织蛋白酶D的表达。计算并比较两组中染色巨细胞的百分比(标记指数)、巨细胞染色强度及染色强度分布。
外周性巨细胞肉芽肿和中央性巨细胞肉芽肿中组织蛋白酶D的标记指数分别为95.9±4.03和95.6±2.34。两组染色巨细胞百分比无显著差异(p = 0.586)。中央性巨细胞肉芽肿中巨细胞的染色强度强于外周性巨细胞肉芽肿(p>0.001)。中央性巨细胞肉芽肿中巨细胞的染色强度分布显著大于外周性病变类型(p = 0.001)。
与外周性病变相比,中央性巨细胞肉芽肿中组织蛋白酶D的高表达水平可以解释中央性巨细胞肉芽肿更具侵袭性的行为。