Suppr超能文献

综述:线粒体疾病中的中枢神经系统受累

Review: Central nervous system involvement in mitochondrial disease.

作者信息

Lax N Z, Gorman G S, Turnbull D M

机构信息

The Wellcome Trust Centre for Mitochondrial Research, Institute of Neuroscience, Newcastle University, Newcastle upon Tyne, UK.

出版信息

Neuropathol Appl Neurobiol. 2017 Feb;43(2):102-118. doi: 10.1111/nan.12333. Epub 2016 Jul 7.

Abstract

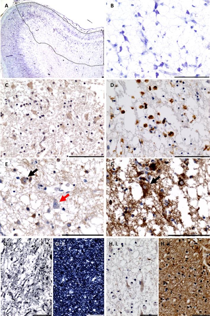
Mitochondrial respiratory chain defects are an important cause of inherited disorders affecting approximately 1 in 5000 people in the UK population. Collectively these disorders are termed 'mitochondrial diseases' and they result from either mitochondrial DNA mutations or defects in nuclear DNA. Although they are frequently multisystem disorders, neurological deficits are particularly common, wide-ranging and disabling for patients. This review details the manifold neurological impairments associated with mitochondrial disease, and describes the efforts to understand how they arise and progressively worsen in patients with mitochondrial disease. We describe advances in our understanding of disease pathogenesis through detailed neuropathological studies and how this has spurred the development of cellular and animal models of disease. We underscore the importance of continued clinical, molecular genetic, neuropathological and animal model studies to fully characterize mitochondrial diseases and understand mechanisms of neurodegeneration. These studies are instrumental for the next phase of mitochondrial research that has a particular emphasis on finding novel ways to treat mitochondrial disease to improve patient care and quality of life.

摘要

线粒体呼吸链缺陷是遗传性疾病的一个重要病因,在英国人群中,约每5000人中有1人受其影响。这些疾病统称为“线粒体疾病”,它们是由线粒体DNA突变或核DNA缺陷引起的。尽管线粒体疾病常常累及多个系统,但神经功能缺损在患者中尤为常见,范围广泛且会导致残疾。本综述详细阐述了与线粒体疾病相关的多种神经损伤,并描述了为了解这些损伤在线粒体疾病患者中如何产生及逐渐恶化所做的努力。我们通过详细的神经病理学研究描述了在疾病发病机制理解方面取得的进展,以及这如何推动了疾病细胞模型和动物模型的发展。我们强调持续进行临床、分子遗传学、神经病理学和动物模型研究对于全面表征线粒体疾病及理解神经退行性变机制的重要性。这些研究对于线粒体研究的下一阶段至关重要,该阶段特别强调寻找治疗线粒体疾病的新方法以改善患者护理和生活质量。

https://cdn.ncbi.nlm.nih.gov/pmc/blobs/be89/5363248/761c9665a0c7/NAN-43-102-g001.jpg

文献检索

告别复杂PubMed语法,用中文像聊天一样搜索,搜遍4000万医学文献。AI智能推荐,让科研检索更轻松。

立即免费搜索

文件翻译

保留排版,准确专业,支持PDF/Word/PPT等文件格式,支持 12+语言互译。

免费翻译文档

深度研究

AI帮你快速写综述,25分钟生成高质量综述,智能提取关键信息,辅助科研写作。

立即免费体验