Suppr超能文献

胰源性腹水作为减肥手术的一种罕见并发症。

Hemosuccus Pancreaticus as a Rare Complication of Bariatric Surgery.

作者信息

Lee Edward W, Yang Lucie, Wilson Mark W

出版信息

Radiol Case Rep. 2015 Dec 7;2(2):46-51. doi: 10.2484/rcr.v2i2.56. eCollection 2007.

Abstract

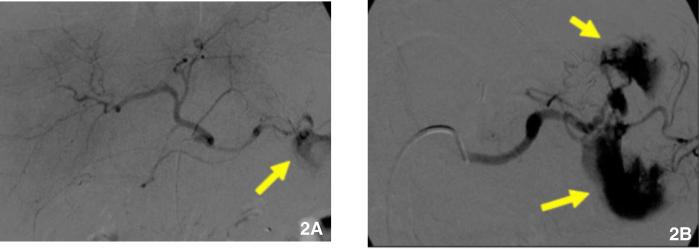
Hemosuccus pancreaticus is a rare cause of gastrointestinal bleeding from the duct of Wirsung into the duodenum via the ampulla of Vater. Hemosuccus pancreaticus is difficult to diagnose because the bleeding is usually intermittent, and the clinical findings are often discordant. Patients present with pain, either left upper quadrant or epigastric, and bleeding, which may present as melena, bright red blood per rectum, or even shock, if the hemorrhage is severe. Hemosuccus pancreaticus is usually caused by rupture of a pseudoaneurysm of a peri-pancreatic artery, often the splenic artery, in the setting of pancreatitis; other causes are very rare. In this report, for the first time to our knowledge, we present a case of hemosuccus pancreaticus that occurred as a complication of bariatric surgery.

摘要

胰源性腹水是一种罕见的导致胃肠道出血的病因,其出血途径为胰管经十二指肠乳头进入十二指肠。胰源性腹水难以诊断,因为出血通常是间歇性的,且临床症状往往不一致。患者表现为左上腹或上腹部疼痛以及出血,出血可能表现为黑便、直肠鲜红色血便,若出血严重甚至会出现休克。胰源性腹水通常由胰腺炎时胰周动脉(常为脾动脉)假性动脉瘤破裂引起;其他病因非常罕见。据我们所知,在本报告中,我们首次呈现了一例作为减肥手术并发症出现的胰源性腹水病例。

https://cdn.ncbi.nlm.nih.gov/pmc/blobs/ce63/4891628/243d71d3228d/gr1.jpg

文献AI研究员

20分钟写一篇综述,助力文献阅读效率提升50倍。

立即体验

用中文搜PubMed

大模型驱动的PubMed中文搜索引擎

马上搜索

文档翻译

学术文献翻译模型,支持多种主流文档格式。

立即体验