Suppr超能文献

胰腺炎后脂肪坏死酷似癌性腹膜炎。

Post-pancreatitis Fat Necrosis Mimicking Carcinomatosis.

作者信息

Smith Joshua P, Arnoletti J Pablo, Varadarajulu Shyam, Morgan Desiree E

出版信息

Radiol Case Rep. 2015 Dec 7;3(2):192. doi: 10.2484/rcr.v3i2.192. eCollection 2008.

Abstract

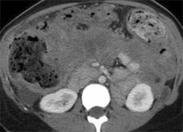
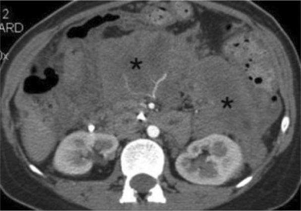
Acute pancreatitis can result in retroperitoneal fat necrosis, typically occurring in the peripancreatic region, with extension into the transverse mesocolon, omentum and mesenteric root. When evaluated with contrast enhanced computed tomography (CECT), acute peripancreatic post necrotic collections typically become lower in attenuation over time, and often appear as homogeneous fluid collections. Saponification as a complication of fat necrosis in patients with acute pancreatitis is a well recognized clinical entity. While retroperitonal fat necrosis is commonly seen on CECT, saponification is not a prominent imaging feature. We present a case of acute pancreatitis complicated by extensive saponification of fat throughout the retroperitoneum and peritoneal lining, mimicking carcinomatosis.

摘要

急性胰腺炎可导致腹膜后脂肪坏死,通常发生在胰腺周围区域,并可延伸至横结肠系膜、大网膜和肠系膜根部。当采用对比增强计算机断层扫描(CECT)评估时,急性胰腺周围坏死灶通常会随着时间推移而衰减降低,且常表现为均匀的液性病灶。作为急性胰腺炎患者脂肪坏死的并发症,皂化是一种广为人知的临床病症。虽然CECT上常见腹膜后脂肪坏死,但皂化并非显著的影像学特征。我们报告一例急性胰腺炎并发整个腹膜后和腹膜衬里广泛脂肪皂化的病例,其表现类似癌性腹膜炎。

https://cdn.ncbi.nlm.nih.gov/pmc/blobs/a9b9/4896229/6d2ee28cdb5e/gr1.jpg

文献AI研究员

20分钟写一篇综述,助力文献阅读效率提升50倍。

立即体验

用中文搜PubMed

大模型驱动的PubMed中文搜索引擎

马上搜索

文档翻译

学术文献翻译模型,支持多种主流文档格式。

立即体验