• 文献检索
  • 文档翻译
  • 深度研究
  • 学术资讯
  • Suppr Zotero 插件Zotero 插件
  • 邀请有礼
  • 套餐&价格
  • 历史记录
应用&插件
Suppr Zotero 插件Zotero 插件浏览器插件Mac 客户端Windows 客户端微信小程序
定价
高级版会员购买积分包购买API积分包
服务
文献检索文档翻译深度研究API 文档MCP 服务
关于我们
关于 Suppr公司介绍联系我们用户协议隐私条款
关注我们

Suppr 超能文献

核心技术专利:CN118964589B侵权必究
粤ICP备2023148730 号-1Suppr @ 2026

文献检索

告别复杂PubMed语法,用中文像聊天一样搜索,搜遍4000万医学文献。AI智能推荐,让科研检索更轻松。

立即免费搜索

文件翻译

保留排版,准确专业,支持PDF/Word/PPT等文件格式,支持 12+语言互译。

免费翻译文档

深度研究

AI帮你快速写综述,25分钟生成高质量综述,智能提取关键信息,辅助科研写作。

立即免费体验

阿拉吉耶综合征患者的局灶性肝增生:诊断困难。病例报告。

Focal liver hyperplasia in a patient with Alagille syndrome: Diagnostic difficulties. A case report.

作者信息

Ennaifer R, Ben Farhat L, Cheikh M, Romdhane H, Marzouk Ines, Belhadj N

机构信息

Department of Hepato-Gastro-Enterology, Mongi Slim Hospital, Tunis, Tunisia; University of Tunis El Manar, Faculty of Medicine, Tunis, Tunisia.

Department of Radiology, Mongi Slim Hospital, Tunis, Tunisia; University of Tunis El Manar, Faculty of Medicine, Tunis, Tunisia.

出版信息

Int J Surg Case Rep. 2016;25:55-61. doi: 10.1016/j.ijscr.2016.03.032. Epub 2016 Jun 4.

DOI:10.1016/j.ijscr.2016.03.032
PMID:27322896
原文链接:https://pmc.ncbi.nlm.nih.gov/articles/PMC4916051/
Abstract

INTRODUCTION

Alagille syndrome is a multisystem autosomal disorder. The main clinical features are chronic cholestasis due to paucity of intrahepatic bile ducts, which can progress to cirrhosis and liver failure.

PRESENTATION OF CASE

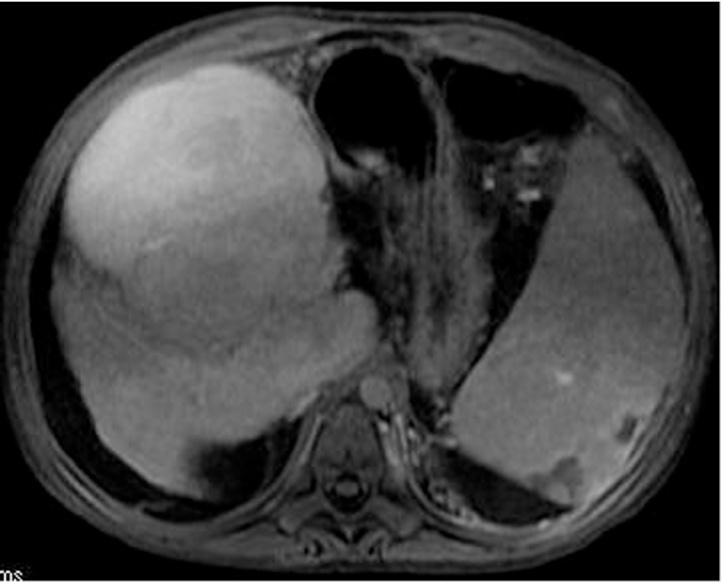
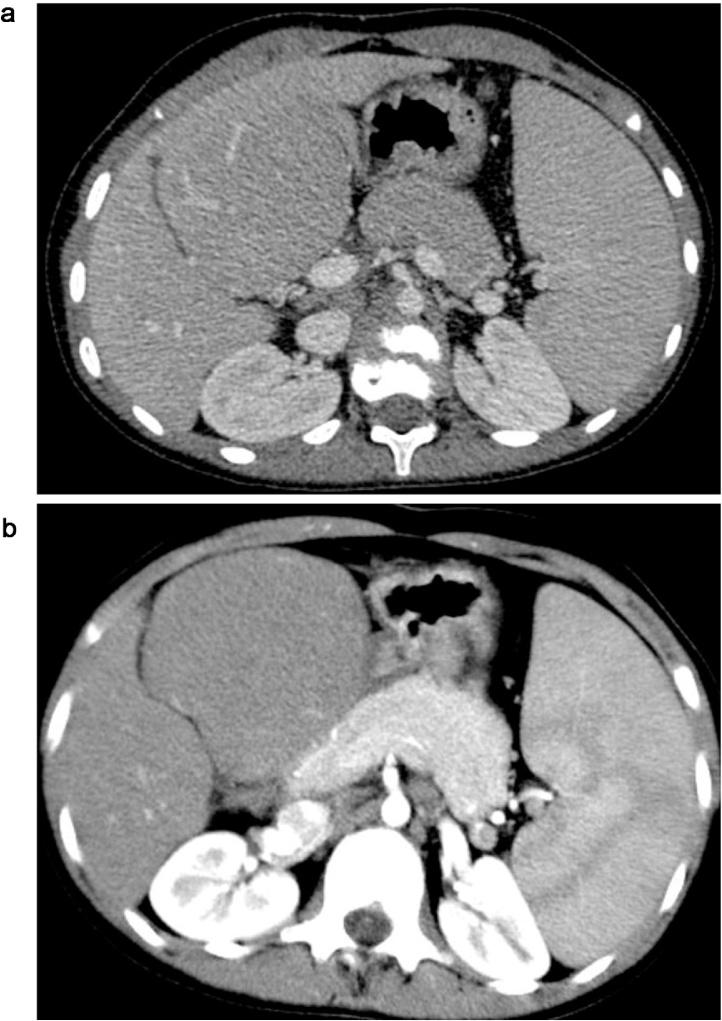
A 15 year-old girl with Alagille syndrome was referred for liver transplantation. She developed severe cirrhosis with refractory ascites. In the pre-transplant evaluation, imaging studies disclosed liver atrophy with a high density pseudotumor in the segment 4, raising the possibility of a hepatocellular carcinoma. However, behavior of the lesion was highly suggestive of focal compensatory hyperplasia surrounded by an atrophic liver. The patient was registered on the waiting list.

DISCUSSION

Hepatic lesions have been described in Alagille syndrome in isolated case reports, and most of these have been reported to be hepatocellular carcinoma. However, they can be related to an area of focal compensatory hyperplasia in severe cirrhosis. These findings may also explain why progression of liver disease occurs only in 15% of patients.

CONCLUSION

The presence of a large hepatic nodule Alagille syndrome can be benign in these patients also predisposed to hepatocellular carcinoma. Therefore, cautious evaluation with magnetic resonance imaging study before liver transplantation is mandatory.

摘要

引言

阿拉吉尔综合征是一种多系统常染色体疾病。主要临床特征是由于肝内胆管稀少导致的慢性胆汁淤积,可进展为肝硬化和肝衰竭。

病例介绍

一名15岁患有阿拉吉尔综合征的女孩被转诊进行肝移植。她出现了严重的肝硬化并伴有难治性腹水。在移植前评估中,影像学检查显示肝脏萎缩,在肝段4有一个高密度假瘤,增加了肝细胞癌的可能性。然而,该病变的表现高度提示为被萎缩肝脏包围的局灶性代偿性增生。该患者被列入等待名单。

讨论

在孤立的病例报告中描述了阿拉吉尔综合征中的肝脏病变,其中大多数报告为肝细胞癌。然而,它们可能与严重肝硬化中的局灶性代偿性增生区域有关。这些发现也可以解释为什么只有15%的患者会出现肝病进展。

结论

在这些也易患肝细胞癌的患者中,阿拉吉尔综合征中出现的大肝脏结节可能是良性的。因此,肝移植前必须用磁共振成像研究进行谨慎评估。

https://cdn.ncbi.nlm.nih.gov/pmc/blobs/6b19/4916051/5a1eedd91233/gr6.jpg
https://cdn.ncbi.nlm.nih.gov/pmc/blobs/6b19/4916051/34f2cec846bf/gr1.jpg
https://cdn.ncbi.nlm.nih.gov/pmc/blobs/6b19/4916051/9899d5f20f04/gr2.jpg
https://cdn.ncbi.nlm.nih.gov/pmc/blobs/6b19/4916051/d9664a650f8f/gr3.jpg
https://cdn.ncbi.nlm.nih.gov/pmc/blobs/6b19/4916051/b5daebc641df/gr4.jpg
https://cdn.ncbi.nlm.nih.gov/pmc/blobs/6b19/4916051/30214fca80aa/gr5.jpg
https://cdn.ncbi.nlm.nih.gov/pmc/blobs/6b19/4916051/5a1eedd91233/gr6.jpg
https://cdn.ncbi.nlm.nih.gov/pmc/blobs/6b19/4916051/34f2cec846bf/gr1.jpg
https://cdn.ncbi.nlm.nih.gov/pmc/blobs/6b19/4916051/9899d5f20f04/gr2.jpg
https://cdn.ncbi.nlm.nih.gov/pmc/blobs/6b19/4916051/d9664a650f8f/gr3.jpg
https://cdn.ncbi.nlm.nih.gov/pmc/blobs/6b19/4916051/b5daebc641df/gr4.jpg
https://cdn.ncbi.nlm.nih.gov/pmc/blobs/6b19/4916051/30214fca80aa/gr5.jpg
https://cdn.ncbi.nlm.nih.gov/pmc/blobs/6b19/4916051/5a1eedd91233/gr6.jpg

相似文献

1
Focal liver hyperplasia in a patient with Alagille syndrome: Diagnostic difficulties. A case report.阿拉吉耶综合征患者的局灶性肝增生:诊断困难。病例报告。
Int J Surg Case Rep. 2016;25:55-61. doi: 10.1016/j.ijscr.2016.03.032. Epub 2016 Jun 4.
2
Giant hepatic regenerative nodules in Alagille syndrome.阿拉吉耶综合征中的巨大肝脏再生结节。
Pediatr Radiol. 2017 Feb;47(2):197-204. doi: 10.1007/s00247-016-3728-2. Epub 2016 Oct 28.
3
Management of large hepatocellular carcinoma in adult patients with Alagille syndrome: a case report and review of literature.成人 Alagille 综合征患者大肝细胞肝癌的治疗:病例报告及文献复习。
Dig Dis Sci. 2010 Nov;55(11):3052-8. doi: 10.1007/s10620-009-1123-7. Epub 2010 Jan 27.
4
Focal liver hyperplasia in Alagille syndrome: assessment with hepatoreceptor and hepatobiliary imaging.阿拉吉耶综合征中的局灶性肝增生:肝受体和肝胆成像评估
J Nucl Med. 1996 Aug;37(8):1365-7.
5
A 10-year-old child presenting with syndromic paucity of bile ducts (Alagille syndrome): a case report.一名患有综合征性胆管稀少(阿拉吉列综合征)的10岁儿童:病例报告。
J Med Case Rep. 2016 Nov 30;10(1):342. doi: 10.1186/s13256-016-1126-x.
6
Solitary Hepatic Nodule Adjacent to the Right Portal Vein: A Common Finding of Alagille Syndrome?紧邻右门静脉的孤立性肝结节:阿拉吉尔综合征的常见表现?
J Pediatr Gastroenterol Nutr. 2016 Feb;62(2):226-32. doi: 10.1097/MPG.0000000000000945.
7
Hepatocellular carcinoma in an adult with Alagille syndrome: case report and literature review.成人阿拉吉耶综合征合并肝细胞癌:病例报告及文献复习
Radiol Case Rep. 2020 Nov 3;16(1):90-93. doi: 10.1016/j.radcr.2020.09.027. eCollection 2021 Jan.
8
[Liver cell carcinoma as a late complication of Alagille syndrome (arterio-hepatic dysplasia)].肝细胞癌作为阿拉吉耶综合征(动脉性肝发育不良)的晚期并发症
Leber Magen Darm. 1996 May;26(3):157-8, 161-3.
9
Hepatic nodular hyperplasia in a boy with Alagille syndrome: CT and MR appearances.一名患有阿拉吉耶综合征男孩的肝脏结节性增生:CT和MR表现
Pediatr Radiol. 2001 Aug;31(8):584-8. doi: 10.1007/s002470100510.
10
Hepatocellular carcinoma occurring in alagille syndrome.阿拉吉尔综合征中发生的肝细胞癌。
Pathol Res Pract. 2005;201(1):55-60. doi: 10.1016/j.prp.2004.11.007.

引用本文的文献

1
Clinical, Laboratory, Radiological, and Genetic Characteristics of Pediatric Patients with Alagille Syndrome.阿拉吉耶综合征患儿的临床、实验室、放射学及遗传学特征
Adv Biomed Res. 2023 Jun 28;12:155. doi: 10.4103/abr.abr_201_22. eCollection 2023.
2
Alagille syndrome and risk for hepatocellular carcinoma: Need for increased surveillance in adults with mild liver phenotypes.Alagille 综合征与肝细胞癌风险:轻度肝表型成人需加强监测。
Am J Med Genet A. 2021 Mar;185(3):719-731. doi: 10.1002/ajmg.a.62028. Epub 2020 Dec 24.
3
Frequency and pathogenesis of central liver nodules in Alagille syndrome patients.

本文引用的文献

1
Alagille syndrome: pathogenesis, diagnosis and management.Alagille 综合征:发病机制、诊断与治疗。
Eur J Hum Genet. 2012 Mar;20(3):251-7. doi: 10.1038/ejhg.2011.181. Epub 2011 Sep 21.
2
Management of large hepatocellular carcinoma in adult patients with Alagille syndrome: a case report and review of literature.成人 Alagille 综合征患者大肝细胞肝癌的治疗:病例报告及文献复习。
Dig Dis Sci. 2010 Nov;55(11):3052-8. doi: 10.1007/s10620-009-1123-7. Epub 2010 Jan 27.
3
Regenerating nodules in arteriohepatic syndrome: a case report.
阿拉吉尔综合征患者肝脏中央结节的发生率及发病机制
Pediatr Radiol. 2017 Jul;47(8):1023-1024. doi: 10.1007/s00247-017-3880-3. Epub 2017 May 4.
动脉肝综合征中的再生结节:一例报告
Br J Radiol. 2008 Mar;81(963):e79-83. doi: 10.1259/bjr/63424939.
4
Hepatocellular carcinoma occurring in alagille syndrome.阿拉吉尔综合征中发生的肝细胞癌。
Pathol Res Pract. 2005;201(1):55-60. doi: 10.1016/j.prp.2004.11.007.
5
Hepatic nodular hyperplasia in a boy with Alagille syndrome: CT and MR appearances.一名患有阿拉吉耶综合征男孩的肝脏结节性增生:CT和MR表现
Pediatr Radiol. 2001 Aug;31(8):584-8. doi: 10.1007/s002470100510.
6
Features of Alagille syndrome in 92 patients: frequency and relation to prognosis.92例阿拉吉耶综合征的特征:发生率及与预后的关系。
Hepatology. 1999 Mar;29(3):822-9. doi: 10.1002/hep.510290331.
7
Focal liver hyperplasia in Alagille syndrome: assessment with hepatoreceptor and hepatobiliary imaging.阿拉吉耶综合征中的局灶性肝增生:肝受体和肝胆成像评估
J Nucl Med. 1996 Aug;37(8):1365-7.
8
[Pseudotumorous hyperplasia of the caudate lobe of the liver in a patient with Alagille syndrome].[阿拉吉列综合征患者肝脏尾状叶的假瘤样增生]
Med Clin (Barc). 1995 Mar 25;104(11):420-2.
9
Syndromic paucity of interlobular bile ducts (Alagille syndrome or arteriohepatic dysplasia): review of 80 cases.综合征性小叶间胆管稀少(阿拉吉耶综合征或动脉性肝发育不良):80例病例回顾
J Pediatr. 1987 Feb;110(2):195-200. doi: 10.1016/s0022-3476(87)80153-1.
10
Alagille's syndrome. A case with a hamartomatous nodule of the liver.阿拉吉尔综合征。一例伴有肝脏错构瘤结节的病例。
Acta Pathol Jpn. 1987 Aug;37(8):1319-26.