• 文献检索
  • 文档翻译
  • 深度研究
  • 学术资讯
  • Suppr Zotero 插件Zotero 插件
  • 邀请有礼
  • 套餐&价格
  • 历史记录
应用&插件
Suppr Zotero 插件Zotero 插件浏览器插件Mac 客户端Windows 客户端微信小程序
定价
高级版会员购买积分包购买API积分包
服务
文献检索文档翻译深度研究API 文档MCP 服务
关于我们
关于 Suppr公司介绍联系我们用户协议隐私条款
关注我们

Suppr 超能文献

核心技术专利:CN118964589B侵权必究
粤ICP备2023148730 号-1Suppr @ 2026

文献检索

告别复杂PubMed语法,用中文像聊天一样搜索,搜遍4000万医学文献。AI智能推荐,让科研检索更轻松。

立即免费搜索

文件翻译

保留排版,准确专业,支持PDF/Word/PPT等文件格式,支持 12+语言互译。

免费翻译文档

深度研究

AI帮你快速写综述,25分钟生成高质量综述,智能提取关键信息,辅助科研写作。

立即免费体验

龙蛋白(RGMb)诱导结肠癌细胞对奥沙利铂产生耐药性。

Dragon (RGMb) induces oxaliplatin resistance in colon cancer cells.

作者信息

Shi Ying, Huang Xiao-Xiao, Chen Guo-Bin, Wang Ying, Zhi Qiang, Liu Yuan-Sheng, Wu Xiao-Ling, Wang Li-Fen, Yang Bing, Xiao Chuan-Xing, Xing Hui-Qin, Ren Jian-Lin, Xia Yin, Guleng Bayasi

机构信息

Department of Gastroenterology, Zhongshan Hospital, Xiamen University, Xiamen, China.

Xiamen Branch, Zhongshan Hospital, Fudan University, Xiamen, China.

出版信息

Oncotarget. 2016 Jul 26;7(30):48027-48037. doi: 10.18632/oncotarget.10338.

DOI:10.18632/oncotarget.10338
PMID:27384995
原文链接:https://pmc.ncbi.nlm.nih.gov/articles/PMC5216997/
Abstract

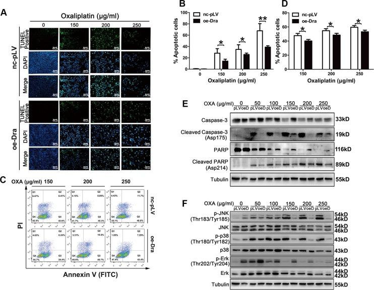
Colorectal cancer (CRC) is one of the most commonly diagnosed cancers and a major cause of cancer mortality. Chemotherapy resistance remains a major challenge for treating advanced CRC. Therefore, the identification of targets that induce drug resistance is a priority for the development of novel agents to overcome resistance. Dragon (also known as RGMb) is a member of the repulsive guidance molecule (RGM) family. We previously showed that Dragon expression increases with CRC progression in human patients. In the present study, we found that Dragon inhibited apoptosis and increased viability of CMT93 and HCT116 cells in the presence of oxaliplatin. Dragon induced resistance of xenograft tumor to oxaliplatinin treatment in mice. Mechanistically, Dragon inhibited oxaliplatin-induced JNK and p38 MAPK activation, and caspase-3 and PARP cleavages. Our results indicate that Dragon may be a novel target that induces drug resistance in CRC.

摘要

结直肠癌(CRC)是最常被诊断出的癌症之一,也是癌症死亡的主要原因。化疗耐药性仍然是治疗晚期CRC的主要挑战。因此,鉴定诱导耐药性的靶点是开发克服耐药性的新型药物的首要任务。Dragon(也称为RGMb)是排斥导向分子(RGM)家族的成员。我们之前表明,在人类患者中,Dragon的表达随着CRC进展而增加。在本研究中,我们发现,在存在奥沙利铂的情况下,Dragon抑制CMT93和HCT116细胞的凋亡并提高其活力。Dragon诱导异种移植肿瘤对小鼠奥沙利铂治疗产生耐药性。从机制上讲,Dragon抑制奥沙利铂诱导的JNK和p38 MAPK激活以及caspase-3和PARP裂解。我们的结果表明,Dragon可能是诱导CRC耐药性的新靶点。

https://cdn.ncbi.nlm.nih.gov/pmc/blobs/ce61/5216997/372b3149361c/oncotarget-07-48027-g005.jpg
https://cdn.ncbi.nlm.nih.gov/pmc/blobs/ce61/5216997/109dc5312bef/oncotarget-07-48027-g001.jpg
https://cdn.ncbi.nlm.nih.gov/pmc/blobs/ce61/5216997/862d309f40ed/oncotarget-07-48027-g002.jpg
https://cdn.ncbi.nlm.nih.gov/pmc/blobs/ce61/5216997/d53856fc8ae1/oncotarget-07-48027-g003.jpg
https://cdn.ncbi.nlm.nih.gov/pmc/blobs/ce61/5216997/20e15b2d1ad6/oncotarget-07-48027-g004.jpg
https://cdn.ncbi.nlm.nih.gov/pmc/blobs/ce61/5216997/372b3149361c/oncotarget-07-48027-g005.jpg
https://cdn.ncbi.nlm.nih.gov/pmc/blobs/ce61/5216997/109dc5312bef/oncotarget-07-48027-g001.jpg
https://cdn.ncbi.nlm.nih.gov/pmc/blobs/ce61/5216997/862d309f40ed/oncotarget-07-48027-g002.jpg
https://cdn.ncbi.nlm.nih.gov/pmc/blobs/ce61/5216997/d53856fc8ae1/oncotarget-07-48027-g003.jpg
https://cdn.ncbi.nlm.nih.gov/pmc/blobs/ce61/5216997/20e15b2d1ad6/oncotarget-07-48027-g004.jpg
https://cdn.ncbi.nlm.nih.gov/pmc/blobs/ce61/5216997/372b3149361c/oncotarget-07-48027-g005.jpg

相似文献

1
Dragon (RGMb) induces oxaliplatin resistance in colon cancer cells.龙蛋白(RGMb)诱导结肠癌细胞对奥沙利铂产生耐药性。
Oncotarget. 2016 Jul 26;7(30):48027-48037. doi: 10.18632/oncotarget.10338.
2
Dragon (repulsive guidance molecule b, RGMb) is a novel gene that promotes colorectal cancer growth.龙(排斥性导向分子b,RGMb)是一种促进结直肠癌生长的新基因。
Oncotarget. 2015 Aug 21;6(24):20540-54. doi: 10.18632/oncotarget.4110.
3
Acquisition of anticancer drug resistance is partially associated with cancer stemness in human colon cancer cells.在人类结肠癌细胞中,抗癌药物耐药性的获得与癌症干性部分相关。
Int J Oncol. 2016 Dec;49(6):2558-2568. doi: 10.3892/ijo.2016.3725. Epub 2016 Oct 7.
4
MSH3 expression does not influence the sensitivity of colon cancer HCT116 cell line to oxaliplatin and poly(ADP-ribose) polymerase (PARP) inhibitor as monotherapy or in combination.MSH3 表达水平不影响结肠癌 HCT116 细胞系对奥沙利铂和聚(ADP-核糖)聚合酶(PARP)抑制剂单药或联合治疗的敏感性。
Cancer Chemother Pharmacol. 2013 Jul;72(1):117-25. doi: 10.1007/s00280-013-2175-0. Epub 2013 May 1.
5
Dragon (repulsive guidance molecule RGMb) inhibits E-cadherin expression and induces apoptosis in renal tubular epithelial cells.龙(排斥性导向分子 RGMb)抑制肾上皮细胞中 E-钙黏蛋白的表达并诱导其凋亡。
J Biol Chem. 2013 Nov 1;288(44):31528-39. doi: 10.1074/jbc.M113.517573. Epub 2013 Sep 19.
6
The sirtuin inhibitor tenovin-6 upregulates death receptor 5 and enhances cytotoxic effects of 5-fluorouracil and oxaliplatin in colon cancer cells.Sirtuin 抑制剂 tenovin-6 上调死亡受体 5,并增强氟尿嘧啶和奥沙利铂对结肠癌细胞的细胞毒性作用。
Oncol Res. 2013;21(3):155-64. doi: 10.3727/096504013X13854886566598.
7
The CXCR2 antagonist, SCH-527123, shows antitumor activity and sensitizes cells to oxaliplatin in preclinical colon cancer models.CXCR2 拮抗剂 SCH-527123 在临床前结肠癌模型中显示出抗肿瘤活性,并增强细胞对奥沙利铂的敏感性。
Mol Cancer Ther. 2012 Jun;11(6):1353-64. doi: 10.1158/1535-7163.MCT-11-0915. Epub 2012 Mar 5.
8
Enhanced antitumor activity of cerulenin combined with oxaliplatin in human colon cancer cells.长春瑞滨联合奥沙利铂增强人结肠癌细胞的抗肿瘤活性。
Int J Oncol. 2013 Aug;43(2):431-8. doi: 10.3892/ijo.2013.1978. Epub 2013 Jun 7.
9
Inhibition of JNK Sensitizes Hypoxic Colon Cancer Cells to DNA-Damaging Agents.抑制JNK可使缺氧结肠癌细胞对DNA损伤剂敏感。
Clin Cancer Res. 2015 Sep 15;21(18):4143-52. doi: 10.1158/1078-0432.CCR-15-0352. Epub 2015 May 28.
10
The role of Her2-Nrf2 axis in induction of oxaliplatin resistance in colon cancer cells.Her2-Nrf2 轴在诱导结肠癌细胞对奥沙利铂耐药中的作用。
Biomed Pharmacother. 2018 Jul;103:755-766. doi: 10.1016/j.biopha.2018.04.105. Epub 2018 Apr 24.

引用本文的文献

1
MiR-17-5p Targets and Downregulates CADM2, Activating the Malignant Phenotypes of Colon Cancer Cells.miR-17-5p 靶向并下调 CADM2,激活结肠癌细胞的恶性表型。
Mol Biotechnol. 2022 Dec;64(12):1388-1400. doi: 10.1007/s12033-022-00515-y. Epub 2022 Jun 13.
2
MUC3A promotes the progression of colorectal cancer through the PI3K/Akt/mTOR pathway.黏蛋白 3A 通过 PI3K/Akt/mTOR 通路促进结直肠癌的进展。
BMC Cancer. 2022 Jun 2;22(1):602. doi: 10.1186/s12885-022-09709-8.
3
Circular RNA_0001073 () Suppresses The Progression of Non-Small Cell Lung Cancer via Axis.

本文引用的文献

1
Simultaneous fingerprint and high-wavenumber fiber-optic Raman spectroscopy improves in vivo diagnosis of esophageal squamous cell carcinoma at endoscopy.同步指纹和高波数光纤拉曼光谱术可改善内镜检查时食管鳞状细胞癌的体内诊断。
Sci Rep. 2015 Aug 5;5:12957. doi: 10.1038/srep12957.
2
miR218-5p regulates the proliferation of gastric cancer cells by targeting TFF1 in an Erk1/2-dependent manner.微小RNA218-5p通过以细胞外调节蛋白激酶1/2依赖性方式靶向三叶因子1来调控胃癌细胞的增殖。
Biochim Biophys Acta. 2015 May;1852(5):970-9. doi: 10.1016/j.bbadis.2015.01.016. Epub 2015 Jan 31.
3
Piperlongumine induces apoptotic and autophagic death of the primary myeloid leukemia cells from patients via activation of ROS-p38/JNK pathways.
环状RNA_0001073()通过轴抑制非小细胞肺癌的进展。 (原文括号处内容缺失,翻译可能不太完整准确)
Cell J. 2021 Nov;23(6):684-691. doi: 10.22074/cellj.2021.7872. Epub 2021 Nov 23.
4
Repulsive Guidance Molecule b Deficiency Induces Gut Microbiota Dysbiosis and Increases the Susceptibility to Intestinal Inflammation in Mice.排斥导向分子b缺乏会导致小鼠肠道微生物群失调并增加肠道炎症易感性。
Front Microbiol. 2021 Apr 28;12:648915. doi: 10.3389/fmicb.2021.648915. eCollection 2021.
5
TGF-β superfamily co-receptors in cancer.TGF-β 超家族共受体在癌症中的作用。
Dev Dyn. 2022 Jan;251(1):137-163. doi: 10.1002/dvdy.338. Epub 2021 Apr 9.
6
Upregulated NTF4 in colorectal cancer promotes tumor development via regulating autophagy.结直肠癌中上调的 NTF4 通过调节自噬促进肿瘤发展。
Int J Oncol. 2020 Jun;56(6):1442-1454. doi: 10.3892/ijo.2020.5027. Epub 2020 Mar 26.
7
Analysis of risk factors for colon cancer progression.结肠癌进展的危险因素分析。
Onco Targets Ther. 2019 May 22;12:3991-4000. doi: 10.2147/OTT.S207390. eCollection 2019.
8
Clinicopathological analysis of PD-L2 expression in colorectal cancer.结直肠癌中PD-L2表达的临床病理分析
Onco Targets Ther. 2018 Nov 1;11:7635-7642. doi: 10.2147/OTT.S177329. eCollection 2018.
9
MiR-29b reverses oxaliplatin-resistance in colorectal cancer by targeting SIRT1.微小RNA-29b通过靶向沉默信息调节因子1逆转结直肠癌对奥沙利铂的耐药性。
Oncotarget. 2018 Feb 1;9(15):12304-12315. doi: 10.18632/oncotarget.24380. eCollection 2018 Feb 23.
10
Andrographolide enhanced 5-fluorouracil-induced antitumor effect in colorectal cancer via inhibition of c-MET pathway.穿心莲内酯通过抑制c-MET通路增强5-氟尿嘧啶对结直肠癌的抗肿瘤作用。
Drug Des Devel Ther. 2017 Nov 23;11:3333-3341. doi: 10.2147/DDDT.S140354. eCollection 2017.
胡椒碱通过激活ROS-p38/JNK信号通路诱导原发性髓系白血病患者细胞发生凋亡和自噬性死亡。
Acta Pharmacol Sin. 2015 Mar;36(3):362-74. doi: 10.1038/aps.2014.141. Epub 2015 Jan 26.
4
Targeting RAS-ERK signalling in cancer: promises and challenges.靶向癌症中的 RAS-ERK 信号通路:前景与挑战。
Nat Rev Drug Discov. 2014 Dec;13(12):928-42. doi: 10.1038/nrd4281.
5
Dysregulation of JAM-A plays an important role in human tumor progression.连接黏附分子A(JAM-A)的失调在人类肿瘤进展中起重要作用。
Int J Clin Exp Pathol. 2014 Sep 15;7(10):7242-8. eCollection 2014.
6
Low junctional adhesion molecule A expression correlates with poor prognosis in gastric cancer.低连接粘附分子A表达与胃癌预后不良相关。
J Surg Res. 2014 Dec;192(2):494-502. doi: 10.1016/j.jss.2014.06.025. Epub 2014 Jun 18.
7
Fibroblast growth factor receptor 4 (FGFR4): a targetable regulator of drug resistance in colorectal cancer.成纤维细胞生长因子受体 4(FGFR4):结直肠癌耐药的一个可靶向调控因子。
Cell Death Dis. 2014 Feb 6;5(2):e1046. doi: 10.1038/cddis.2014.10.
8
Cancer-associated CD43 glycoforms as target of immunotherapy.癌症相关的CD43糖型作为免疫治疗的靶点。
Mol Cancer Ther. 2014 Mar;13(3):752-62. doi: 10.1158/1535-7163.MCT-13-0651. Epub 2013 Dec 19.
9
Interleukin-6 released by colon cancer-associated fibroblasts is critical for tumour angiogenesis: anti-interleukin-6 receptor antibody suppressed angiogenesis and inhibited tumour-stroma interaction.结直肠癌相关成纤维细胞分泌的白细胞介素 6 对肿瘤血管生成至关重要:抗白细胞介素 6 受体抗体抑制血管生成并抑制肿瘤-基质相互作用。
Br J Cancer. 2014 Jan 21;110(2):469-78. doi: 10.1038/bjc.2013.748. Epub 2013 Dec 17.
10
Annual Report to the Nation on the status of cancer, 1975-2010, featuring prevalence of comorbidity and impact on survival among persons with lung, colorectal, breast, or prostate cancer.《1975-2010 年全国癌症报告:肺癌、结直肠癌、乳腺癌和前列腺癌患者合并症的流行情况及其对生存的影响》
Cancer. 2014 May 1;120(9):1290-314. doi: 10.1002/cncr.28509. Epub 2013 Dec 16.