• 文献检索
  • 文档翻译
  • 深度研究
  • 学术资讯
  • Suppr Zotero 插件Zotero 插件
  • 邀请有礼
  • 套餐&价格
  • 历史记录
应用&插件
Suppr Zotero 插件Zotero 插件浏览器插件Mac 客户端Windows 客户端微信小程序
定价
高级版会员购买积分包购买API积分包
服务
文献检索文档翻译深度研究API 文档MCP 服务
关于我们
关于 Suppr公司介绍联系我们用户协议隐私条款
关注我们

Suppr 超能文献

核心技术专利:CN118964589B侵权必究
粤ICP备2023148730 号-1Suppr @ 2026

文献检索

告别复杂PubMed语法,用中文像聊天一样搜索,搜遍4000万医学文献。AI智能推荐,让科研检索更轻松。

立即免费搜索

文件翻译

保留排版,准确专业,支持PDF/Word/PPT等文件格式,支持 12+语言互译。

免费翻译文档

深度研究

AI帮你快速写综述,25分钟生成高质量综述,智能提取关键信息,辅助科研写作。

立即免费体验

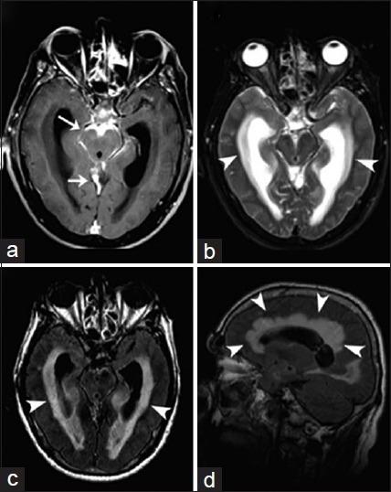
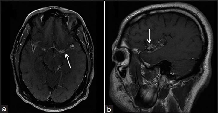
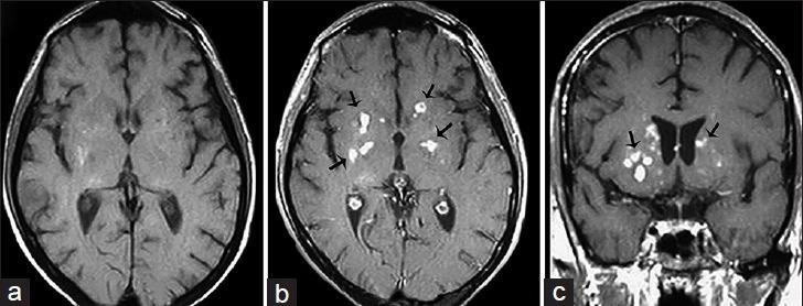
中枢神经系统真菌感染:图文综述

Fungal Infections of the Central Nervous System: A Pictorial Review.

作者信息

Gavito-Higuera Jose, Mullins Carola Birgit, Ramos-Duran Luis, Olivas Chacon Cristina Ivette, Hakim Nawar, Palacios Enrique

机构信息

Department of Radiology, Texas Tech University Health Science Center, El Paso, TX 79905, USA.

Department of Pathology, Texas Tech University Health Science Center, El Paso, TX 79905, USA.

出版信息

J Clin Imaging Sci. 2016 Jun 17;6:24. doi: 10.4103/2156-7514.184244. eCollection 2016.

DOI:10.4103/2156-7514.184244
PMID:27403402
原文链接:https://pmc.ncbi.nlm.nih.gov/articles/PMC4926551/
Abstract

Fungal infections of the central nervous system (CNS) pose a threat to especially immunocompromised patients and their development is primarily determined by the immune status of the host. With an increasing number of organ transplants, chemotherapy, and human immunodeficiency virus infections, the number of immunocompromised patients as susceptible hosts is growing and fungal infections of the CNS are more frequently encountered. They may result in meningitis, cerebritis, abscess formation, cryptococcoma, and meningeal vasculitis with rapid disease progression and often overlapping symptoms. Although radiological characteristics are often nonspecific, unique imaging patterns can be identified through computer tomography as a first imaging modality and further refined by magnetic resonance imaging. A rapid diagnosis and the institution of the appropriate therapy are crucial in helping prevent an often fatal outcome.

摘要

中枢神经系统(CNS)真菌感染对免疫功能低下的患者构成威胁,其发病主要取决于宿主的免疫状态。随着器官移植、化疗及人类免疫缺陷病毒感染病例的增多,作为易感宿主的免疫功能低下患者数量不断增加,中枢神经系统真菌感染也更为常见。它们可能导致脑膜炎、脑炎、脓肿形成、隐球菌瘤及脑膜血管炎,疾病进展迅速且症状常相互重叠。尽管影像学特征通常不具有特异性,但计算机断层扫描作为首选成像方式可识别出独特的影像模式,磁共振成像则可进一步完善。快速诊断并采取恰当治疗对于预防往往致命的后果至关重要。

https://cdn.ncbi.nlm.nih.gov/pmc/blobs/324f/4926551/ebc8084c0be3/JCIS-6-24-g011.jpg
https://cdn.ncbi.nlm.nih.gov/pmc/blobs/324f/4926551/fc0d13f26404/JCIS-6-24-g001.jpg
https://cdn.ncbi.nlm.nih.gov/pmc/blobs/324f/4926551/37d3c225cf11/JCIS-6-24-g002.jpg
https://cdn.ncbi.nlm.nih.gov/pmc/blobs/324f/4926551/d4a3a042eb51/JCIS-6-24-g003.jpg
https://cdn.ncbi.nlm.nih.gov/pmc/blobs/324f/4926551/3285a0202cbb/JCIS-6-24-g004.jpg
https://cdn.ncbi.nlm.nih.gov/pmc/blobs/324f/4926551/18b00e15c952/JCIS-6-24-g005.jpg
https://cdn.ncbi.nlm.nih.gov/pmc/blobs/324f/4926551/fbcb5244c1cf/JCIS-6-24-g006.jpg
https://cdn.ncbi.nlm.nih.gov/pmc/blobs/324f/4926551/a2effe086a81/JCIS-6-24-g007.jpg
https://cdn.ncbi.nlm.nih.gov/pmc/blobs/324f/4926551/2bd9776b24c1/JCIS-6-24-g008.jpg
https://cdn.ncbi.nlm.nih.gov/pmc/blobs/324f/4926551/f1e0c6f67fd9/JCIS-6-24-g009.jpg
https://cdn.ncbi.nlm.nih.gov/pmc/blobs/324f/4926551/cfd35db04eb3/JCIS-6-24-g010.jpg
https://cdn.ncbi.nlm.nih.gov/pmc/blobs/324f/4926551/ebc8084c0be3/JCIS-6-24-g011.jpg
https://cdn.ncbi.nlm.nih.gov/pmc/blobs/324f/4926551/fc0d13f26404/JCIS-6-24-g001.jpg
https://cdn.ncbi.nlm.nih.gov/pmc/blobs/324f/4926551/37d3c225cf11/JCIS-6-24-g002.jpg
https://cdn.ncbi.nlm.nih.gov/pmc/blobs/324f/4926551/d4a3a042eb51/JCIS-6-24-g003.jpg
https://cdn.ncbi.nlm.nih.gov/pmc/blobs/324f/4926551/3285a0202cbb/JCIS-6-24-g004.jpg
https://cdn.ncbi.nlm.nih.gov/pmc/blobs/324f/4926551/18b00e15c952/JCIS-6-24-g005.jpg
https://cdn.ncbi.nlm.nih.gov/pmc/blobs/324f/4926551/fbcb5244c1cf/JCIS-6-24-g006.jpg
https://cdn.ncbi.nlm.nih.gov/pmc/blobs/324f/4926551/a2effe086a81/JCIS-6-24-g007.jpg
https://cdn.ncbi.nlm.nih.gov/pmc/blobs/324f/4926551/2bd9776b24c1/JCIS-6-24-g008.jpg
https://cdn.ncbi.nlm.nih.gov/pmc/blobs/324f/4926551/f1e0c6f67fd9/JCIS-6-24-g009.jpg
https://cdn.ncbi.nlm.nih.gov/pmc/blobs/324f/4926551/cfd35db04eb3/JCIS-6-24-g010.jpg
https://cdn.ncbi.nlm.nih.gov/pmc/blobs/324f/4926551/ebc8084c0be3/JCIS-6-24-g011.jpg

相似文献

1
Fungal Infections of the Central Nervous System: A Pictorial Review.中枢神经系统真菌感染:图文综述
J Clin Imaging Sci. 2016 Jun 17;6:24. doi: 10.4103/2156-7514.184244. eCollection 2016.
2
Imaging features of central nervous system fungal infections.中枢神经系统真菌感染的影像学特征。
Neurol India. 2007 Jul-Sep;55(3):241-50. doi: 10.4103/0028-3886.35685.
3
Central nervous system infections in the compromised host: a diagnostic approach.免疫功能低下宿主的中枢神经系统感染:一种诊断方法。
Infect Dis Clin North Am. 2001 Jun;15(2):567-90. doi: 10.1016/s0891-5520(05)70160-4.
4
[Infections of the central nervous system in malignant hemopathies].[恶性血液病中的中枢神经系统感染]
Rev Neurol (Paris). 1986;142(2):116-25.
5
Bacterial, Fungal, and Parasitic Infections of the Central Nervous System: Radiologic-Pathologic Correlation and Historical Perspectives.中枢神经系统的细菌、真菌和寄生虫感染:放射学与病理学的相关性及历史观点
Radiographics. 2015 Jul-Aug;35(4):1141-69. doi: 10.1148/rg.2015140317. Epub 2015 Jun 12.
6
Fungal infections of the central nervous system.中枢神经系统真菌感染。
Neuroimaging Clin N Am. 2012 Nov;22(4):609-32. doi: 10.1016/j.nic.2012.04.004. Epub 2012 Aug 17.
7
Sinonasal Fungal Infections and Complications: A Pictorial Review.鼻窦真菌感染及其并发症:图文综述
J Clin Imaging Sci. 2016 Jun 14;6:23. doi: 10.4103/2156-7514.184010. eCollection 2016.
8
Neuroimaging Patterns of Intracranial Infections: Meningitis, Cerebritis, and Their Complications.颅内感染的神经影像学表现:脑膜炎、脑脓肿及其并发症
Neuroimaging Clin N Am. 2023 Feb;33(1):11-41. doi: 10.1016/j.nic.2022.07.001.
9
Therapy of fungal meningitis.真菌性脑膜炎的治疗
Clin Neuropharmacol. 1995 Apr;18(2):95-112. doi: 10.1097/00002826-199504000-00001.
10
Fungal infections of the central nervous system.中枢神经系统真菌感染
Neuroimaging Clin N Am. 2000 May;10(2):409-25.

引用本文的文献

1
Intracranial Mucormycosis in an Adolescent Triggering a Stroke Alert: A Case Report and a Systematic Review of Pediatric Cases.一名青少年颅内毛霉菌病引发卒中警报:病例报告及儿科病例系统评价
J Child Neurol. 2025 Sep;40(8):678-685. doi: 10.1177/08830738251334939. Epub 2025 May 7.
2
Foreign Contaminants Target Brain Health.外来污染物危害大脑健康。
CNS Neurol Disord Drug Targets. 2025;24(5):353-374. doi: 10.2174/0118715273338071241213101016.
3
Large Vessel Vasculitic Infarcts Secondary to Cryptococcal Meningitis in an Immunocompetent Patient: Report of a Rare Case.

本文引用的文献

1
Differentiation of pyogenic and fungal brain abscesses with susceptibility-weighted MR sequences.利用磁敏感加权磁共振序列鉴别化脓性和真菌性脑脓肿
Neuroradiology. 2014 Nov;56(11):937-45. doi: 10.1007/s00234-014-1411-6. Epub 2014 Aug 2.
2
Fungal infections of the central nervous system.中枢神经系统真菌感染。
Neuroimaging Clin N Am. 2012 Nov;22(4):609-32. doi: 10.1016/j.nic.2012.04.004. Epub 2012 Aug 17.
3
Imaging of cerebritis, encephalitis, and brain abscess.脑实质炎、脑炎和脑脓肿的影像学表现。
免疫功能正常患者中隐球菌性脑膜炎继发的大血管血管炎性梗死:1例罕见病例报告
Ann Indian Acad Neurol. 2025 Jan 1;28(1):147-149. doi: 10.4103/aian.aian_675_24. Epub 2024 Dec 31.
4
Pediatric Meningeal Diseases: What Radiologists Need to Know.小儿脑膜疾病:放射科医生需要了解的内容。
Tomography. 2024 Dec 8;10(12):1970-2013. doi: 10.3390/tomography10120143.
5
MRI differentiation of CNS fungal infections: correlating imaging features with microbiological and histopathological findings.中枢神经系统真菌感染的磁共振成像鉴别:影像学特征与微生物学及组织病理学结果的相关性
Neuroradiology. 2025 Jan;67(1):25-36. doi: 10.1007/s00234-024-03510-z. Epub 2024 Nov 25.
6
Public health trends in neurologically relevant infections: a global perspective.神经相关感染的公共卫生趋势:全球视角
Ther Adv Infect Dis. 2024 Sep 17;11:20499361241274206. doi: 10.1177/20499361241274206. eCollection 2024 Jan-Dec.
7
Fingolimod-associated Balo's concentric sclerosis in multiple sclerosis: A case report.芬戈莫德相关的多发性硬化症中的巴洛同心性硬化:一例报告。
Clin Case Rep. 2024 Aug 6;12(8):e9266. doi: 10.1002/ccr3.9266. eCollection 2024 Aug.
8
Management and outcome of intracranial fungal infections in children and adults in Africa: a scoping review.非洲儿童和成人颅内真菌感染的管理和结局:范围综述。
BMC Infect Dis. 2024 Aug 6;24(1):789. doi: 10.1186/s12879-024-09694-2.
9
From Skin and Gut to the Brain: The Infectious Journey of the Human Commensal Fungus Malassezia and Its Neurological Consequences.从皮肤和肠道到大脑:人体共生真菌马拉色菌的感染之旅及其神经学后果。
Mol Neurobiol. 2025 Jan;62(1):533-556. doi: 10.1007/s12035-024-04270-w. Epub 2024 Jun 14.
10
Coexisting of Primary Central Nervous System Lymphoma and Brain Abscess in an AIDS Patient, A Case Report and Review of the Literature.一名艾滋病患者原发性中枢神经系统淋巴瘤与脑脓肿并存:病例报告及文献复习
Infect Drug Resist. 2024 Feb 22;17:709-718. doi: 10.2147/IDR.S432697. eCollection 2024.
Neuroimaging Clin N Am. 2012 Nov;22(4):585-607. doi: 10.1016/j.nic.2012.04.002. Epub 2012 Sep 28.
4
Imaging of meningitis and ventriculitis.脑膜炎和脑室炎的影像学表现。
Neuroimaging Clin N Am. 2012 Nov;22(4):557-83. doi: 10.1016/j.nic.2012.04.003. Epub 2012 Sep 4.
5
Diffusion imaging in brain infections.脑感染的弥散成像。
Neuroimaging Clin N Am. 2011 Feb;21(1):89-113, viii. doi: 10.1016/j.nic.2011.01.011.
6
Central nervous system infection.中枢神经系统感染。
Neuroimaging Clin N Am. 2010 Nov;20(4):557-80. doi: 10.1016/j.nic.2010.07.011.
7
Imaging features of central nervous system fungal infections.中枢神经系统真菌感染的影像学特征。
Neurol India. 2007 Jul-Sep;55(3):241-50. doi: 10.4103/0028-3886.35685.
8
Comparative evaluation of fungal, tubercular, and pyogenic brain abscesses with conventional and diffusion MR imaging and proton MR spectroscopy.采用传统及扩散磁共振成像和质子磁共振波谱对真菌性、结核性和化脓性脑脓肿进行对比评估。
AJNR Am J Neuroradiol. 2007 Aug;28(7):1332-8. doi: 10.3174/ajnr.A0548.
9
Diffusion-weighted imaging of cerebritis.脑脊髓炎的扩散加权成像
AJNR Am J Neuroradiol. 2003 Jun-Jul;24(6):1110-3.