• 文献检索
  • 文档翻译
  • 深度研究
  • 学术资讯
  • Suppr Zotero 插件Zotero 插件
  • 邀请有礼
  • 套餐&价格
  • 历史记录
应用&插件
Suppr Zotero 插件Zotero 插件浏览器插件Mac 客户端Windows 客户端微信小程序
定价
高级版会员购买积分包购买API积分包
服务
文献检索文档翻译深度研究API 文档MCP 服务
关于我们
关于 Suppr公司介绍联系我们用户协议隐私条款
关注我们

Suppr 超能文献

核心技术专利:CN118964589B侵权必究
粤ICP备2023148730 号-1Suppr @ 2026

文献检索

告别复杂PubMed语法,用中文像聊天一样搜索,搜遍4000万医学文献。AI智能推荐,让科研检索更轻松。

立即免费搜索

文件翻译

保留排版,准确专业,支持PDF/Word/PPT等文件格式,支持 12+语言互译。

免费翻译文档

深度研究

AI帮你快速写综述,25分钟生成高质量综述,智能提取关键信息,辅助科研写作。

立即免费体验

孕早期与孕中期子宫动脉多普勒测速与胎盘床组织病理学之间的相关性

Correlation between First and Second Trimester Uterine Artery Doppler Velocimetry and Placental Bed Histopathology.

作者信息

Akbaş Murat, Şen Cihat, Calay Zerrin

机构信息

Department of Obstetrics and Gynecology, Okmeydani Research Hospital, 34382 Istanbul, Turkey.

Department of Obstetrics and Gynecology, Cerrahpasa Faculty of Medicine, Istanbul University, 34098 Istanbul, Turkey.

出版信息

Int Sch Res Notices. 2014 Jul 13;2014:890534. doi: 10.1155/2014/890534. eCollection 2014.

DOI:10.1155/2014/890534
PMID:27437501
原文链接:https://pmc.ncbi.nlm.nih.gov/articles/PMC4897222/
Abstract

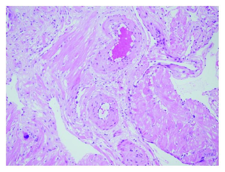
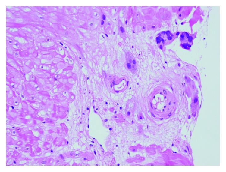
Aim. To evaluate the relationship between uterine artery Doppler indices and placental bed histopathology independent of clinical outcome. Materials and Methods. Uterine artery measurements were performed to 510 pregnant women who had come for routine antenatal care in 11-14th and 20-24th weeks. Placental bed biopsies from 141 cases were taken during cesarean section. Physiological changes and abnormal placental histology findings were investigated and compared with Doppler findings. Results. 116 biopsies were accepted as adequate biopsy and included in the study. Physiological changes were seen in 100 biopsies. Statistically significant higher PI and RI values in second trimester and higher notch rate in both trimesters were detected in the abnormal placental histology group (P < 0,001). Conclusion. Strong relationship between uterine artery Doppler indices and preeclampsia or intrauterine growth retardation has been shown in previous studies. In our study, we concluded that there is significant relationship between Doppler findings and placental bed histopathology independent of clinical course.

摘要

目的。评估子宫动脉多普勒指数与胎盘床组织病理学之间的关系,而不考虑临床结局。材料与方法。对510名在孕11 - 14周和20 - 24周前来进行常规产前检查的孕妇进行子宫动脉测量。在剖宫产时从141例病例中获取胎盘床活检组织。研究生理变化和异常胎盘组织学发现,并与多普勒检查结果进行比较。结果。116份活检组织被认为是足够的活检样本并纳入研究。100份活检组织出现生理变化。在异常胎盘组织学组中,检测到孕中期的搏动指数(PI)和阻力指数(RI)值在统计学上显著更高,且两个孕期的切迹率均更高(P < 0.001)。结论。先前的研究表明子宫动脉多普勒指数与子痫前期或胎儿生长受限之间存在密切关系。在我们的研究中,我们得出结论,多普勒检查结果与胎盘床组织病理学之间存在显著关系,且与临床过程无关。

https://cdn.ncbi.nlm.nih.gov/pmc/blobs/1024/4897222/777515b6b1c9/ISRN2014-890534.003.jpg
https://cdn.ncbi.nlm.nih.gov/pmc/blobs/1024/4897222/3943f738ee53/ISRN2014-890534.001.jpg
https://cdn.ncbi.nlm.nih.gov/pmc/blobs/1024/4897222/27804461e156/ISRN2014-890534.002.jpg
https://cdn.ncbi.nlm.nih.gov/pmc/blobs/1024/4897222/777515b6b1c9/ISRN2014-890534.003.jpg
https://cdn.ncbi.nlm.nih.gov/pmc/blobs/1024/4897222/3943f738ee53/ISRN2014-890534.001.jpg
https://cdn.ncbi.nlm.nih.gov/pmc/blobs/1024/4897222/27804461e156/ISRN2014-890534.002.jpg
https://cdn.ncbi.nlm.nih.gov/pmc/blobs/1024/4897222/777515b6b1c9/ISRN2014-890534.003.jpg

相似文献

1
Correlation between First and Second Trimester Uterine Artery Doppler Velocimetry and Placental Bed Histopathology.孕早期与孕中期子宫动脉多普勒测速与胎盘床组织病理学之间的相关性
Int Sch Res Notices. 2014 Jul 13;2014:890534. doi: 10.1155/2014/890534. eCollection 2014.
2
The comparison of uterine artery Doppler velocimetry with the histopathology of the placental bed.子宫动脉多普勒测速法与胎盘床组织病理学的比较。
Aust N Z J Obstet Gynaecol. 1999 Aug;39(3):324-9. doi: 10.1111/j.1479-828x.1999.tb03407.x.
3
Histomorphology of the placenta and the placental bed of growth restricted foetuses and correlation with the Doppler velocimetries of the uterine and umbilical arteries.生长受限胎儿的胎盘及胎盘床组织形态学及其与子宫和脐动脉多普勒血流速度的相关性
Placenta. 2003 May;24(5):510-6. doi: 10.1053/plac.2002.0945.
4
Uterine Doppler velocimetry of the uterine arteries in the second and third trimesters for the prediction of gestational outcome.孕中期和孕晚期子宫动脉的子宫多普勒测速法用于预测妊娠结局。
Rev Bras Ginecol Obstet. 2014 Jan;36(1):35-9. doi: 10.1590/S0100-72032014000100008.
5
First-trimester 3-dimensional power Doppler placental vascularization indices from the whole placenta versus the placental bed to predict preeclampsia: does pregnancy-associated plasma protein a or uterine artery Doppler sonography help?孕早期基于整个胎盘与胎盘床的三维能量多普勒胎盘血管化指数预测子痫前期:妊娠相关血浆蛋白A或子宫动脉多普勒超声检查是否有帮助?
J Ultrasound Med. 2015 Jun;34(6):965-70. doi: 10.7863/ultra.34.6.965.
6
Doppler assessment of the uterine and uteroplacental circulation in the second trimester in pregnancies at high risk for pre-eclampsia and/or intrauterine growth retardation: comparison and correlation between different Doppler parameters.子痫前期和/或胎儿生长受限高危妊娠中期子宫及子宫胎盘循环的多普勒评估:不同多普勒参数之间的比较与相关性
Ultrasound Obstet Gynecol. 1997 May;9(5):330-8. doi: 10.1046/j.1469-0705.1997.09050330.x.
7
First-trimester uterine artery Doppler indices in the prediction of small-for-gestational age pregnancy and intrauterine growth restriction.早孕期子宫动脉多普勒指数预测小于胎龄儿及宫内生长受限。
Ultrasound Obstet Gynecol. 2009 May;33(5):524-9. doi: 10.1002/uog.6368.
8
[The usefulness of uterine artery doppler velocimetry in high risk pregnancy diagnostic (PIH and/or IUGR)].[子宫动脉多普勒测速法在高危妊娠诊断(妊娠期高血压疾病和/或胎儿生长受限)中的应用价值]
Ginekol Pol. 2005 May;76(5):342-7.
9
Correlation between the Doppler velocimetry findings of the uterine arteries during the first and second trimesters of pregnancy.
Rev Assoc Med Bras (1992). 2009 Mar-Apr;55(2):197-200. doi: 10.1590/s0104-42302009000200026.
10
Changes in uterine artery Doppler velocimetry and circulating angiogenic factors in the first half of pregnancies delivering a small-for-gestational-age neonate.分娩小于胎龄儿的妊娠前半期子宫动脉多普勒血流测定及循环血管生成因子的变化
Ultrasound Obstet Gynecol. 2017 Mar;49(3):357-363. doi: 10.1002/uog.15978.

引用本文的文献

1
Maternal Uterine Artery Doppler and Serum Marker in the First Trimester as Predictive Markers for Small for Gestational Age Neonates and Preeclampsia: A Pilot Study.孕早期母体子宫动脉多普勒和血清标志物作为小于胎龄儿和子痫前期的预测标志物:一项初步研究。
Diagnostics (Basel). 2025 Jan 20;15(2):233. doi: 10.3390/diagnostics15020233.
2
Uterine Artery Doppler Flow Indices in Pregnant Women During the 11 Weeks + 0 Days and 13 Weeks + 6 Days Gestational Ages: a Study of 168 Patients.孕11周+0天和13周+6天孕妇的子宫动脉多普勒血流指数:168例患者的研究
Maedica (Bucur). 2017 Jan;12(1):36-41.

本文引用的文献

1
Decidual natural killer cell interactions with trophoblasts are impaired in pregnancies at increased risk of preeclampsia.蜕膜自然杀伤细胞与滋养层的相互作用在子痫前期风险增加的妊娠中受损。
Am J Pathol. 2013 Dec;183(6):1853-1861. doi: 10.1016/j.ajpath.2013.08.023. Epub 2013 Oct 6.
2
Value of adding second-trimester uterine artery Doppler to patient characteristics in identification of nulliparous women at increased risk for pre-eclampsia: an individual patient data meta-analysis.将中孕期子宫动脉多普勒血流检测加入患者特征中对识别子痫前期高危初产妇的价值:一项个体患者数据分析荟萃研究。
Ultrasound Obstet Gynecol. 2013 Sep;42(3):257-67. doi: 10.1002/uog.12435. Epub 2013 Aug 6.
3
Impaired decidual natural killer cell regulation of vascular remodelling in early human pregnancies with high uterine artery resistance.
在高子宫动脉阻力的早期人类妊娠中,蜕膜自然杀伤细胞对血管重塑的调节受损。
J Pathol. 2012 Nov;228(3):322-32. doi: 10.1002/path.4057. Epub 2012 Jul 18.
4
Use of uterine artery Doppler ultrasonography to predict pre-eclampsia and intrauterine growth restriction: a systematic review and bivariable meta-analysis.使用子宫动脉多普勒超声预测子痫前期和胎儿生长受限:一项系统评价和双变量Meta分析
CMAJ. 2008 Mar 11;178(6):701-11. doi: 10.1503/cmaj.070430.
5
Increased apoptosis in first trimester extravillous trophoblasts from pregnancies at higher risk of developing preeclampsia.子痫前期发生风险较高的妊娠中,孕早期绒毛外滋养层细胞凋亡增加。
Am J Pathol. 2007 Jun;170(6):1903-9. doi: 10.2353/ajpath.2007.070006.
6
The relation of increased uterine artery blood flow resistance and impaired trophoblast invasion in pre-eclamptic pregnancies.子痫前期妊娠中子宫动脉血流阻力增加与滋养细胞浸润受损的关系。
Arch Gynecol Obstet. 2005 Oct;272(4):283-8. doi: 10.1007/s00404-005-0005-2. Epub 2005 Oct 13.
7
Decreased endovascular trophoblast invasion in first trimester pregnancies with high-resistance uterine artery Doppler indices.孕早期子宫动脉多普勒指数呈高阻力时,血管内滋养细胞浸润减少。
Hum Reprod. 2004 Jan;19(1):206-9. doi: 10.1093/humrep/deh037.
8
Pre-eclampsia, the placenta and the maternal systemic inflammatory response--a review.子痫前期、胎盘与母体全身炎症反应——综述
Placenta. 2003 Apr;24 Suppl A:S21-7. doi: 10.1053/plac.2002.0930.
9
Histomorphology of the placenta and the placental bed of growth restricted foetuses and correlation with the Doppler velocimetries of the uterine and umbilical arteries.生长受限胎儿的胎盘及胎盘床组织形态学及其与子宫和脐动脉多普勒血流速度的相关性
Placenta. 2003 May;24(5):510-6. doi: 10.1053/plac.2002.0945.
10
Trophoblastic oxidative stress in relation to temporal and regional differences in maternal placental blood flow in normal and abnormal early pregnancies.正常及异常早期妊娠中滋养层氧化应激与母体胎盘血流时间及区域差异的关系
Am J Pathol. 2003 Jan;162(1):115-25. doi: 10.1016/S0002-9440(10)63803-5.