• 文献检索
  • 文档翻译
  • 深度研究
  • 学术资讯
  • Suppr Zotero 插件Zotero 插件
  • 邀请有礼
  • 套餐&价格
  • 历史记录
应用&插件
Suppr Zotero 插件Zotero 插件浏览器插件Mac 客户端Windows 客户端微信小程序
定价
高级版会员购买积分包购买API积分包
服务
文献检索文档翻译深度研究API 文档MCP 服务
关于我们
关于 Suppr公司介绍联系我们用户协议隐私条款
关注我们

Suppr 超能文献

核心技术专利:CN118964589B侵权必究
粤ICP备2023148730 号-1Suppr @ 2026

文献检索

告别复杂PubMed语法,用中文像聊天一样搜索,搜遍4000万医学文献。AI智能推荐,让科研检索更轻松。

立即免费搜索

文件翻译

保留排版,准确专业,支持PDF/Word/PPT等文件格式,支持 12+语言互译。

免费翻译文档

深度研究

AI帮你快速写综述,25分钟生成高质量综述,智能提取关键信息,辅助科研写作。

立即免费体验

司美替尼,一种口服抗肿瘤药物,可能通过靶向ERK通路减轻心脏肥大。

Selumetinib, an Oral Anti-Neoplastic Drug, May Attenuate Cardiac Hypertrophy via Targeting the ERK Pathway.

作者信息

Li Chen, Chen Zhongxiu, Yang Hao, Luo Fangbo, Chen Lihong, Cai Huawei, Li Yajiao, You Guiying, Long Dan, Li Shengfu, Zhang Qiuping, Rao Li

机构信息

Department of Cardiology, West China Hospital of Sichuan University, Chengdu, Sichuan, China.

Department of Rehabilitation, Community Health Center of Shuangnan Wuhou District, Chengdu, Sichuan, China.

出版信息

PLoS One. 2016 Jul 20;11(7):e0159079. doi: 10.1371/journal.pone.0159079. eCollection 2016.

DOI:10.1371/journal.pone.0159079
PMID:27438013
原文链接:https://pmc.ncbi.nlm.nih.gov/articles/PMC4954659/
Abstract

AIMS

Although extracellular-regulated kinases (ERK) are a well-known central mediator in cardiac hypertrophy, no clinically available ERK antagonist has been tested for preventing cardiac hypertrophy. Selumetinib is a novel oral MEK inhibitor that is currently under Phase II and Phase III clinical investigation for advanced solid tumors. In this study, we investigated whether Selumetinib could inhibit the aberrant ERK activation of the heart in response to stress as well as prevent cardiac hypertrophy.

METHODS AND RESULTS

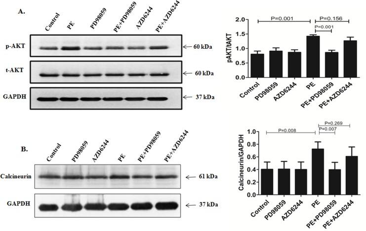
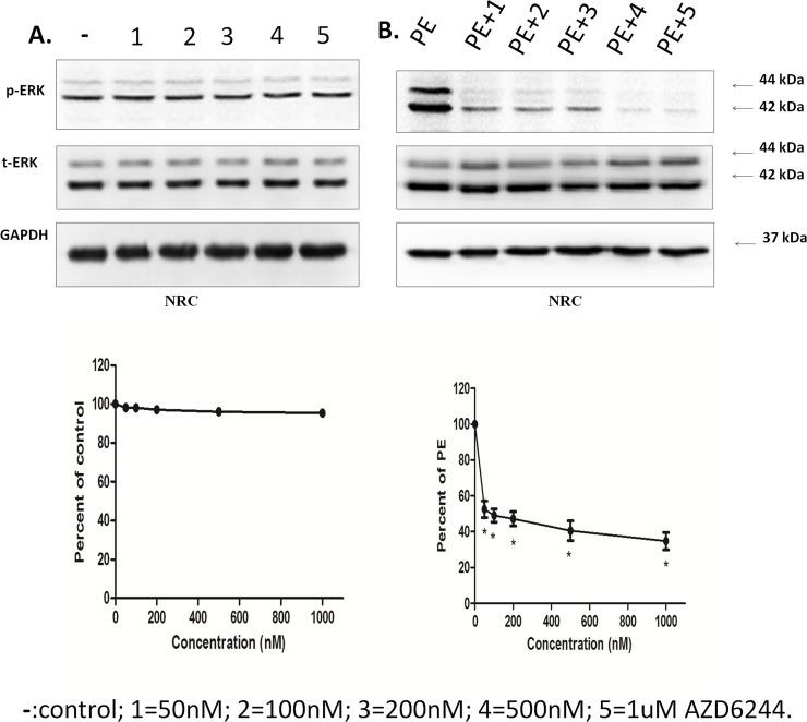
In an in vitro model of PE-induced cardiac hypertrophy, Selumetinib significantly inhibited the ERK activation and prevented enlargement of cardiomyocytes or reactivation of certain fetal genes. In the pathologic cardiac hypertrophy model of ascending aortic constriction, Selumetinib provided significant ERK inhibition in the stressed heart but not in the other organs. This selective ERK inhibition prevented left ventricular (LV) wall thickening, LV mass increase, fetal gene reactivation and cardiac fibrosis. In another distinct physiologic cardiac hypertrophy model of a swimming rat, Selumetinib provided a similar anti-hypertrophy effect, except that no significant fetal gene reactivation or cardiac fibrosis was observed.

CONCLUSIONS

Selumetinib, a novel oral anti-cancer drug with good safety records in a number of Phase II clinical trials, can inhibit ERK activity in the heart and prevent cardiac hypertrophy. These promising results indicate that Selumetinib could potentially be used to treat cardiac hypertrophy. However, this hypothesis needs to be validated in human clinical trials.

摘要

目的

尽管细胞外调节激酶(ERK)是心脏肥大中一个广为人知的核心介质,但尚无临床可用的ERK拮抗剂用于预防心脏肥大。司美替尼是一种新型口服MEK抑制剂,目前正处于晚期实体瘤的II期和III期临床研究阶段。在本研究中,我们调查了司美替尼是否能抑制心脏在应激反应时异常的ERK激活以及预防心脏肥大。

方法与结果

在PE诱导的心脏肥大体外模型中,司美替尼显著抑制ERK激活,并防止心肌细胞增大或某些胎儿基因重新激活。在升主动脉缩窄的病理性心脏肥大模型中,司美替尼在应激心脏中提供了显著的ERK抑制作用,但在其他器官中则没有。这种选择性ERK抑制可防止左心室(LV)壁增厚、LV质量增加、胎儿基因重新激活和心脏纤维化。在另一个不同的游泳大鼠生理性心脏肥大模型中,司美替尼提供了类似的抗肥大作用,只是未观察到明显的胎儿基因重新激活或心脏纤维化。

结论

司美替尼是一种在多项II期临床试验中具有良好安全性记录的新型口服抗癌药物,可抑制心脏中的ERK活性并预防心脏肥大。这些有前景的结果表明司美替尼可能潜在地用于治疗心脏肥大。然而,这一假设需要在人类临床试验中得到验证

https://cdn.ncbi.nlm.nih.gov/pmc/blobs/4173/4954659/f184dff19fcc/pone.0159079.g011.jpg
https://cdn.ncbi.nlm.nih.gov/pmc/blobs/4173/4954659/cc1647ce1f0c/pone.0159079.g001.jpg
https://cdn.ncbi.nlm.nih.gov/pmc/blobs/4173/4954659/fb19be7ffc36/pone.0159079.g002.jpg
https://cdn.ncbi.nlm.nih.gov/pmc/blobs/4173/4954659/ede835a535a4/pone.0159079.g003.jpg
https://cdn.ncbi.nlm.nih.gov/pmc/blobs/4173/4954659/d0fd7dd430ec/pone.0159079.g004.jpg
https://cdn.ncbi.nlm.nih.gov/pmc/blobs/4173/4954659/71c50748815f/pone.0159079.g005.jpg
https://cdn.ncbi.nlm.nih.gov/pmc/blobs/4173/4954659/874f6e5aa834/pone.0159079.g006.jpg
https://cdn.ncbi.nlm.nih.gov/pmc/blobs/4173/4954659/baa6e0ca64a9/pone.0159079.g007.jpg
https://cdn.ncbi.nlm.nih.gov/pmc/blobs/4173/4954659/926324562304/pone.0159079.g008.jpg
https://cdn.ncbi.nlm.nih.gov/pmc/blobs/4173/4954659/04cc180684c8/pone.0159079.g009.jpg
https://cdn.ncbi.nlm.nih.gov/pmc/blobs/4173/4954659/94a1cb9dca21/pone.0159079.g010.jpg
https://cdn.ncbi.nlm.nih.gov/pmc/blobs/4173/4954659/f184dff19fcc/pone.0159079.g011.jpg
https://cdn.ncbi.nlm.nih.gov/pmc/blobs/4173/4954659/cc1647ce1f0c/pone.0159079.g001.jpg
https://cdn.ncbi.nlm.nih.gov/pmc/blobs/4173/4954659/fb19be7ffc36/pone.0159079.g002.jpg
https://cdn.ncbi.nlm.nih.gov/pmc/blobs/4173/4954659/ede835a535a4/pone.0159079.g003.jpg
https://cdn.ncbi.nlm.nih.gov/pmc/blobs/4173/4954659/d0fd7dd430ec/pone.0159079.g004.jpg
https://cdn.ncbi.nlm.nih.gov/pmc/blobs/4173/4954659/71c50748815f/pone.0159079.g005.jpg
https://cdn.ncbi.nlm.nih.gov/pmc/blobs/4173/4954659/874f6e5aa834/pone.0159079.g006.jpg
https://cdn.ncbi.nlm.nih.gov/pmc/blobs/4173/4954659/baa6e0ca64a9/pone.0159079.g007.jpg
https://cdn.ncbi.nlm.nih.gov/pmc/blobs/4173/4954659/926324562304/pone.0159079.g008.jpg
https://cdn.ncbi.nlm.nih.gov/pmc/blobs/4173/4954659/04cc180684c8/pone.0159079.g009.jpg
https://cdn.ncbi.nlm.nih.gov/pmc/blobs/4173/4954659/94a1cb9dca21/pone.0159079.g010.jpg
https://cdn.ncbi.nlm.nih.gov/pmc/blobs/4173/4954659/f184dff19fcc/pone.0159079.g011.jpg

相似文献

1
Selumetinib, an Oral Anti-Neoplastic Drug, May Attenuate Cardiac Hypertrophy via Targeting the ERK Pathway.司美替尼,一种口服抗肿瘤药物,可能通过靶向ERK通路减轻心脏肥大。
PLoS One. 2016 Jul 20;11(7):e0159079. doi: 10.1371/journal.pone.0159079. eCollection 2016.
2
Allicin attenuates pathological cardiac hypertrophy by inhibiting autophagy via activation of PI3K/Akt/mTOR and MAPK/ERK/mTOR signaling pathways.大蒜素通过激活 PI3K/Akt/mTOR 和 MAPK/ERK/mTOR 信号通路抑制自噬来减轻病理性心肌肥厚。
Phytomedicine. 2019 May;58:152765. doi: 10.1016/j.phymed.2018.11.025. Epub 2018 Nov 19.
3
The MEK1/2 inhibitor, selumetinib (AZD6244; ARRY-142886), enhances anti-tumour efficacy when combined with conventional chemotherapeutic agents in human tumour xenograft models.MEK1/2 抑制剂 selumetinib(AZD6244; ARRY-142886)与常规化疗药物联合使用时,可增强人肿瘤异种移植模型中的抗肿瘤疗效。
Br J Cancer. 2012 Feb 28;106(5):858-66. doi: 10.1038/bjc.2012.8. Epub 2012 Feb 16.
4
Fibroblast growth factor receptor 3-mediated reactivation of ERK signaling promotes head and neck squamous cancer cell insensitivity to MEK inhibition.成纤维细胞生长因子受体 3 介导的 ERK 信号再激活促进头颈部鳞状癌细胞对 MEK 抑制的不敏感性。
Cancer Sci. 2018 Dec;109(12):3816-3825. doi: 10.1111/cas.13839. Epub 2018 Nov 16.
5
Maslinic acid protects against pressure overload-induced cardiac hypertrophy in mice.马粟酸可预防小鼠因压力超负荷导致的心肌肥厚。
J Pharmacol Sci. 2018 Oct;138(2):116-122. doi: 10.1016/j.jphs.2018.08.014. Epub 2018 Oct 14.
6
Protective effects of endogenous adrenomedullin on cardiac hypertrophy, fibrosis, and renal damage.内源性肾上腺髓质素对心脏肥大、纤维化及肾损伤的保护作用。
Circulation. 2004 Apr 13;109(14):1789-94. doi: 10.1161/01.CIR.0000118466.47982.CC. Epub 2004 Feb 16.
7
Omentin functions to attenuate cardiac hypertrophic response.网膜素具有减轻心肌肥厚反应的功能。
J Mol Cell Cardiol. 2015 Feb;79:195-202. doi: 10.1016/j.yjmcc.2014.11.019. Epub 2014 Dec 3.
8
Selumetinib Attenuates Skeletal Muscle Wasting in Murine Cachexia Model through ERK Inhibition and AKT Activation.司美替尼通过抑制ERK和激活AKT减轻小鼠恶病质模型中的骨骼肌消瘦。
Mol Cancer Ther. 2017 Feb;16(2):334-343. doi: 10.1158/1535-7163.MCT-16-0324. Epub 2016 Sep 6.
9
Smilax glabra Roxb. flavonoids protect against pathological cardiac hypertrophy by inhibiting the Raf/MEK/ERK pathway: In vivo and in vitro studies.菝葜黄酮通过抑制 Raf/MEK/ERK 通路防治病理性心肌肥厚的作用:体内和体外研究。
J Ethnopharmacol. 2022 Jun 28;292:115213. doi: 10.1016/j.jep.2022.115213. Epub 2022 Mar 21.
10
Sodium tanshinone IIA sulfonate depresses angiotensin II-induced cardiomyocyte hypertrophy through MEK/ERK pathway.丹参酮IIA磺酸钠通过MEK/ERK信号通路抑制血管紧张素II诱导的心肌细胞肥大。
Exp Mol Med. 2007 Feb 28;39(1):65-73. doi: 10.1038/emm.2007.8.

引用本文的文献

1
Selumetinib promotes coronary collateral circulation by inducing M2-like macrophage polarization following myocardial infarction.司美替尼通过在心肌梗死后诱导M2样巨噬细胞极化来促进冠状动脉侧支循环。
Acta Pharmacol Sin. 2025 Mar 7. doi: 10.1038/s41401-025-01508-8.
2
Secreted Cytokines From Inflammatory Macrophages Modulate Sex Differences in Valvular Interstitial Cells on Hydrogel Biomaterials.炎症巨噬细胞分泌的细胞因子调节水凝胶生物材料上瓣膜间质细胞的性别差异。
J Biomed Mater Res A. 2025 Mar;113(3):e37885. doi: 10.1002/jbm.a.37885.
3
Spectrophotometric and computational characterization of charge transfer complex of selumetinib with 2,3-dichloro-5,6-dicyano-1,4-benzoquinone and its utilization in developing an innovative green and high throughput microwell assay for analysis of bulk form and pharmaceutical formulation.

本文引用的文献

1
Effect of selumetinib vs chemotherapy on progression-free survival in uveal melanoma: a randomized clinical trial.塞美替尼与化疗对葡萄膜黑色素瘤无进展生存期的影响:一项随机临床试验。
JAMA. 2014 Jun 18;311(23):2397-405. doi: 10.1001/jama.2014.6096.
2
Phase II study of the oral MEK inhibitor selumetinib in advanced acute myelogenous leukemia: a University of Chicago phase II consortium trial.口服 MEK 抑制剂 selumetinib 治疗晚期急性髓系白血病的 II 期研究:芝加哥大学 II 期联盟试验。
Clin Cancer Res. 2014 Jan 15;20(2):490-8. doi: 10.1158/1078-0432.CCR-13-1311. Epub 2013 Oct 31.
3
Inhibition of extracellular signal-regulated kinase 1/2 signaling has beneficial effects on skeletal muscle in a mouse model of Emery-Dreifuss muscular dystrophy caused by lamin A/C gene mutation.
司美替尼与2,3-二氯-5,6-二氰基-1,4-苯醌电荷转移络合物的分光光度法和计算表征及其在开发用于分析原料药和药物制剂的创新绿色高通量微孔测定法中的应用。
BMC Chem. 2025 Jan 29;19(1):27. doi: 10.1186/s13065-024-01353-6.
4
Oncogenic KRAS Mutations Confer a Unique Mechanotransduction Response to Peristalsis in Colorectal Cancer Cells.致癌性KRAS突变赋予结肠癌细胞对蠕动的独特机械转导反应。
Mol Cancer Res. 2025 Feb 6;23(2):128-142. doi: 10.1158/1541-7786.MCR-24-0624.
5
SRF SUMOylation modulates smooth muscle phenotypic switch and vascular remodeling.SRF SUMOylation 调节平滑肌表型转换和血管重构。
Nat Commun. 2024 Aug 13;15(1):6919. doi: 10.1038/s41467-024-51350-5.
6
MEK inhibitors: a promising targeted therapy for cardiovascular disease.丝裂原活化蛋白激酶激酶(MEK)抑制剂:一种有前景的心血管疾病靶向治疗方法。
Front Cardiovasc Med. 2024 Jul 1;11:1404253. doi: 10.3389/fcvm.2024.1404253. eCollection 2024.
7
MEK-inhibitors decrease Nfix in muscular dystrophy but induce unexpected calcifications, partially rescued with Cyanidin diet.MEK抑制剂可降低肌营养不良症中的Nfix水平,但会引发意外的钙化,而花青素饮食可部分缓解这种情况。
iScience. 2023 Dec 10;27(1):108696. doi: 10.1016/j.isci.2023.108696. eCollection 2024 Jan 19.
8
Sibjotang Protects against Cardiac Hypertrophy In Vitro and In Vivo.西伯乔汤在体外和体内均对心肌肥大具有保护作用。
Life (Basel). 2023 Dec 7;13(12):2307. doi: 10.3390/life13122307.
9
An Increase in Mucin2 Expression Is Required for Colon Cancer Progression Mediated by L1.黏蛋白 2 表达增加是 L1 介导的结肠癌进展所必需的。
Int J Mol Sci. 2023 Aug 30;24(17):13418. doi: 10.3390/ijms241713418.
10
Virtual drug screen reveals context-dependent inhibition of cardiomyocyte hypertrophy.虚拟药物筛选揭示了心肌细胞肥大的上下文相关抑制作用。
Br J Pharmacol. 2023 Nov;180(21):2721-2735. doi: 10.1111/bph.16163. Epub 2023 Jul 5.
抑制细胞外信号调节激酶 1/2 信号通路对由核纤层蛋白 A/C 基因突变引起的 Emery-Dreifuss 肌营养不良症小鼠模型中的骨骼肌具有有益作用。
Skelet Muscle. 2013 Jul 1;3(1):17. doi: 10.1186/2044-5040-3-17.
4
Selumetinib plus dacarbazine versus placebo plus dacarbazine as first-line treatment for BRAF-mutant metastatic melanoma: a phase 2 double-blind randomised study.色瑞替尼联合达卡巴嗪对比安慰剂联合达卡巴嗪作为 BRAF 突变型转移性黑色素瘤的一线治疗:一项 2 期、双盲、随机研究。
Lancet Oncol. 2013 Jul;14(8):733-40. doi: 10.1016/S1470-2045(13)70237-7. Epub 2013 Jun 2.
5
Signal-dependent repression of DUSP5 by class I HDACs controls nuclear ERK activity and cardiomyocyte hypertrophy.I 类 HDACs 通过信号依赖性抑制 DUSP5 来控制核 ERK 活性和心肌细胞肥大。
Proc Natl Acad Sci U S A. 2013 Jun 11;110(24):9806-11. doi: 10.1073/pnas.1301509110. Epub 2013 May 29.
6
Interference with ERK(Thr188) phosphorylation impairs pathological but not physiological cardiac hypertrophy.干扰 ERK(Thr188)磷酸化可损害病理性但不损害生理性心肌肥厚。
Proc Natl Acad Sci U S A. 2013 Apr 30;110(18):7440-5. doi: 10.1073/pnas.1221999110. Epub 2013 Apr 15.
7
MEK and the inhibitors: from bench to bedside.MEK 抑制剂:从实验室到临床。
J Hematol Oncol. 2013 Apr 12;6:27. doi: 10.1186/1756-8722-6-27.
8
Phase II trial of MEK inhibitor selumetinib (AZD6244, ARRY-142886) in patients with BRAFV600E/K-mutated melanoma.MEK 抑制剂 selumetinib(AZD6244、 ARRY-142886)治疗 BRAFV600E/K 突变型黑色素瘤患者的 II 期临床试验。
Clin Cancer Res. 2013 Apr 15;19(8):2257-64. doi: 10.1158/1078-0432.CCR-12-3476. Epub 2013 Feb 26.
9
Modeling of lamin A/C mutation premature cardiac aging using patient‐specific induced pluripotent stem cells.利用患者特异性诱导多能干细胞对核纤层蛋白A/C突变导致的心脏早衰进行建模。
Aging (Albany NY). 2012 Nov;4(11):803-822. doi: 10.18632/aging.100503.
10
Selumetinib in women with recurrent low-grade serous carcinoma of the ovary or peritoneum: an open-label, single-arm, phase 2 study.西罗莫司在复发性低级别浆液性卵巢癌或腹膜癌女性中的应用:一项开放标签、单臂、2 期研究。
Lancet Oncol. 2013 Feb;14(2):134-40. doi: 10.1016/S1470-2045(12)70572-7. Epub 2012 Dec 21.