• 文献检索
  • 文档翻译
  • 深度研究
  • 学术资讯
  • Suppr Zotero 插件Zotero 插件
  • 邀请有礼
  • 套餐&价格
  • 历史记录
应用&插件
Suppr Zotero 插件Zotero 插件浏览器插件Mac 客户端Windows 客户端微信小程序
定价
高级版会员购买积分包购买API积分包
服务
文献检索文档翻译深度研究API 文档MCP 服务
关于我们
关于 Suppr公司介绍联系我们用户协议隐私条款
关注我们

Suppr 超能文献

核心技术专利:CN118964589B侵权必究
粤ICP备2023148730 号-1Suppr @ 2026

文献检索

告别复杂PubMed语法,用中文像聊天一样搜索,搜遍4000万医学文献。AI智能推荐,让科研检索更轻松。

立即免费搜索

文件翻译

保留排版,准确专业,支持PDF/Word/PPT等文件格式,支持 12+语言互译。

免费翻译文档

深度研究

AI帮你快速写综述,25分钟生成高质量综述,智能提取关键信息,辅助科研写作。

立即免费体验

一名年轻吸烟者的肺朗格汉斯细胞组织细胞增多症与尿崩症

Pulmonary Langerhans Cell Histiocytosis and Diabetes Insipidus in a Young Smoker.

作者信息

Earlam K, Souza C A, Glikstein R, Gomes M M, Pakhalé S

机构信息

Division of Respirology, The Ottawa Hospital, University of Ottawa, Ottawa, ON, Canada K1H 8L6.

Department of Medical Imaging, The Ottawa Hospital, University of Ottawa, Ottawa, ON, Canada K1H 8L6.

出版信息

Can Respir J. 2016;2016:3740902. doi: 10.1155/2016/3740902. Epub 2016 Apr 11.

DOI:10.1155/2016/3740902
PMID:27445532
原文链接:https://pmc.ncbi.nlm.nih.gov/articles/PMC4904552/
Abstract

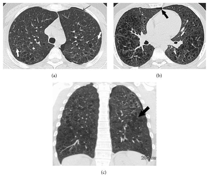
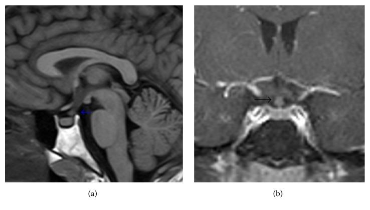
Langerhans cell histiocytosis is characterized by the abnormal nodular proliferation of histiocytes in various organ systems. Pulmonary involvement seen in young adults is nearly always seen in the context of past or current cigarette smoking. Although it tends to be a single-system disease, extrapulmonary manifestations involving the skin, bone, and hypothalamic-pituitary-axis are possible. High resolution CT (HRCT) of the thorax findings includes centrilobular nodules and cysts that are bizarre in shape, variable in size, and thin-walled. Often the diagnosis can be made based on the appropriate clinical presentation and typical imaging findings. Treatment includes smoking cessation and the potential use of glucocorticoids or cytotoxic agents depending on the severity of disease and multisystem involvement.

摘要

朗格汉斯细胞组织细胞增多症的特征是组织细胞在各个器官系统中出现异常的结节状增殖。在年轻成年人中出现的肺部受累几乎总是在过去或当前吸烟的背景下出现。尽管它往往是一种单系统疾病,但累及皮肤、骨骼和下丘脑 - 垂体轴的肺外表现也是可能的。胸部高分辨率CT(HRCT)表现包括小叶中心结节和囊肿,其形状怪异、大小不一且壁薄。通常根据适当的临床表现和典型的影像学表现即可做出诊断。治疗包括戒烟,以及根据疾病严重程度和多系统受累情况可能使用糖皮质激素或细胞毒性药物。

https://cdn.ncbi.nlm.nih.gov/pmc/blobs/aa9d/4904552/6a863c8d5e8c/CRJ2016-3740902.003.jpg
https://cdn.ncbi.nlm.nih.gov/pmc/blobs/aa9d/4904552/70d1acdab26e/CRJ2016-3740902.001.jpg
https://cdn.ncbi.nlm.nih.gov/pmc/blobs/aa9d/4904552/daaf223e10e7/CRJ2016-3740902.002.jpg
https://cdn.ncbi.nlm.nih.gov/pmc/blobs/aa9d/4904552/6a863c8d5e8c/CRJ2016-3740902.003.jpg
https://cdn.ncbi.nlm.nih.gov/pmc/blobs/aa9d/4904552/70d1acdab26e/CRJ2016-3740902.001.jpg
https://cdn.ncbi.nlm.nih.gov/pmc/blobs/aa9d/4904552/daaf223e10e7/CRJ2016-3740902.002.jpg
https://cdn.ncbi.nlm.nih.gov/pmc/blobs/aa9d/4904552/6a863c8d5e8c/CRJ2016-3740902.003.jpg

相似文献

1
Pulmonary Langerhans Cell Histiocytosis and Diabetes Insipidus in a Young Smoker.一名年轻吸烟者的肺朗格汉斯细胞组织细胞增多症与尿崩症
Can Respir J. 2016;2016:3740902. doi: 10.1155/2016/3740902. Epub 2016 Apr 11.
2
From the archives of the AFIP: pulmonary Langerhans cell histiocytosis.源自武装部队病理研究所档案:肺朗格汉斯细胞组织细胞增多症。
Radiographics. 2004 May-Jun;24(3):821-41. doi: 10.1148/rg.243045005.
3
Incipient stage of pulmonary Langerhans-cell histiocytosis complicated with pulmonary tuberculosis was examined by high-resolution computed tomography.采用高分辨率计算机断层扫描对肺朗格汉斯细胞组织细胞增多症合并肺结核的早期阶段进行检查。
Respir Med. 2005 Sep;99(9):1188-90. doi: 10.1016/j.rmed.2005.02.017. Epub 2005 Mar 17.
4
Anterior pituitary function and computed tomography/magnetic resonance imaging in patients with Langerhans cell histiocytosis and diabetes insipidus.
Med Pediatr Oncol. 1993;21(9):649-54. doi: 10.1002/mpo.2950210908.
5
Langerhans cell histiocytosis associated with recurrent pneumothorax: a case report.朗格汉斯细胞组织细胞增多症伴复发性气胸:一例报告
Turk J Pediatr. 1996 Jan-Mar;38(1):125-30.
6
Isolated Langerhans cell histiocytosis of the infundibulum presenting with fulminant diabetes insipidus.以暴发性尿崩症为表现的漏斗部孤立性朗格汉斯细胞组织细胞增多症。
Childs Nerv Syst. 2006 May;22(5):542-4. doi: 10.1007/s00381-005-0022-2. Epub 2006 Feb 3.
7
[Pneumothorax secondary to pulmonary histiocytosis X].[继发于肺组织细胞增多症X的气胸]
Minerva Chir. 1999 Jul-Aug;54(7-8):531-6.
8
Imaging of pulmonary histiocytosis X.肺嗜酸性肉芽肿X线表现。
Radiographics. 1992 May;12(3):515-26. doi: 10.1148/radiographics.12.3.1609142.
9
[Hypothalamic-infundibular histiocytosis: magnetic resonance findings].[下丘脑-漏斗部组织细胞增多症:磁共振成像表现]
Rev Neurol. 2004;39(2):125-9.
10
Langerhans cell histiocytosis of the lung with probably skeletal involvement.肺部朗格汉斯细胞组织细胞增多症,可能累及骨骼。
Hell J Nucl Med. 2011 Jan-Apr;14(1):65-7.

本文引用的文献

1
Introduction to The 2015 World Health Organization Classification of Tumors of the Lung, Pleura, Thymus, and Heart.《2015年世界卫生组织肺、胸膜、胸腺和心脏肿瘤分类》简介
J Thorac Oncol. 2015 Sep;10(9):1240-1242. doi: 10.1097/JTO.0000000000000663.
2
Pulmonary langerhans cell histiocytosis.肺朗格汉斯细胞组织细胞增生症。
Orphanet J Rare Dis. 2012 Mar 19;7:16. doi: 10.1186/1750-1172-7-16.
3
Imaging findings in hepatic Langerhans' cell histiocytosis.
Indian J Pediatr. 2006 Nov;73(11):1036-8. doi: 10.1007/BF02758314.
4
Pulmonary Langerhans' cell histiocytosis.肺朗格汉斯细胞组织细胞增多症
Clin Chest Med. 2004 Sep;25(3):561-71, vii. doi: 10.1016/j.ccm.2004.04.005.
5
Langerhans cell histiocytosis: diagnosis, natural history, management, and outcome.朗格汉斯细胞组织细胞增多症:诊断、自然病程、管理及预后
Cancer. 1999 May 15;85(10):2278-90. doi: 10.1002/(sici)1097-0142(19990515)85:10<2278::aid-cncr25>3.0.co;2-u.
6
Clinical aspects of Langerhans cell histiocytosis.朗格汉斯细胞组织细胞增多症的临床特征
Hematol Oncol Clin North Am. 1998 Apr;12(2):247-58. doi: 10.1016/s0889-8588(05)70508-6.
7
Contemporary classification of histiocytic disorders. The WHO Committee On Histiocytic/Reticulum Cell Proliferations. Reclassification Working Group of the Histiocyte Society.组织细胞疾病的当代分类。世界卫生组织组织细胞/网状细胞增殖委员会。组织细胞协会重新分类工作组。
Med Pediatr Oncol. 1997 Sep;29(3):157-66. doi: 10.1002/(sici)1096-911x(199709)29:3<157::aid-mpo1>3.0.co;2-c.
8
Pulmonary Langerhans cell granulomatosis (histiocytosis X). A clinicopathologic study of 48 cases.肺朗格汉斯细胞组织细胞增多症(组织细胞增多症X)。48例临床病理研究。
Am J Surg Pathol. 1993 Oct;17(10):971-86. doi: 10.1097/00000478-199310000-00002.
9
Chest radiological features of pulmonary histiocytosis X: a report based on 50 adult cases.肺嗜酸性肉芽肿X线胸片表现:基于50例成人病例的报告
Thorax. 1982 Feb;37(2):104-9. doi: 10.1136/thx.37.2.104.
10
Histiocytosis syndromes in children. Writing Group of the Histiocyte Society.儿童组织细胞增生症综合征。组织细胞协会写作组。
Lancet. 1987 Jan 24;1(8526):208-9.