• 文献检索
  • 文档翻译
  • 深度研究
  • 学术资讯
  • Suppr Zotero 插件Zotero 插件
  • 邀请有礼
  • 套餐&价格
  • 历史记录
应用&插件
Suppr Zotero 插件Zotero 插件浏览器插件Mac 客户端Windows 客户端微信小程序
定价
高级版会员购买积分包购买API积分包
服务
文献检索文档翻译深度研究API 文档MCP 服务
关于我们
关于 Suppr公司介绍联系我们用户协议隐私条款
关注我们

Suppr 超能文献

核心技术专利:CN118964589B侵权必究
粤ICP备2023148730 号-1Suppr @ 2026

文献检索

告别复杂PubMed语法,用中文像聊天一样搜索,搜遍4000万医学文献。AI智能推荐,让科研检索更轻松。

立即免费搜索

文件翻译

保留排版,准确专业,支持PDF/Word/PPT等文件格式,支持 12+语言互译。

免费翻译文档

深度研究

AI帮你快速写综述,25分钟生成高质量综述,智能提取关键信息,辅助科研写作。

立即免费体验

癌胚蛋白IMP3是唾液腺黏液表皮样癌早期复发和预后不良的一个指标。

The oncofetal protein IMP3 is an indicator of early recurrence and poor outcome in mucoepidermoid carcinoma of salivary glands.

作者信息

Elshafey Mohamed R, Ahmed Rehab A, Mourad Mohamed I, Gaballah Essam T

机构信息

Oral Pathology Department, Faculty of Dentistry, Mansoura University, Mansoura 35516, Egypt.

Pathology Department, Faculty of Medicine, Mansoura University, Mansoura 35516, Egypt.

出版信息

Cancer Biol Med. 2016 Jun;13(2):286-95. doi: 10.20892/j.issn.2095-3941.2016.0037.

DOI:10.20892/j.issn.2095-3941.2016.0037
PMID:27458536
原文链接:https://pmc.ncbi.nlm.nih.gov/articles/PMC4944550/
Abstract

OBJECTIVE

Mucoepidermoid carcinoma (MEC) is the most common primary malignancy of the salivary glands. Insulin-like growth factor-II mRNA-binding protein-3 (IMP3) is an important prognostic factor in some cancers and a tool that differentiates between benign and malignant pancreatic lesions. This study aimed to identify a relationship between the expression of IMP3 and the outcome of salivary gland MEC, as well as to differentiate MEC from pleomorphic adenoma (PA).

METHODS

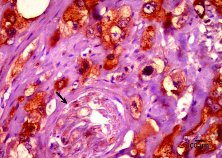
Tissue specimens from 70 cases of salivary gland MEC, 40 cases of PA, and 10 cases with normal salivary gland were examined immunohistochemically for IMP3. The association among the expression of IMP3, clinicopathological characteristics and patient's survival was assessed.

RESULTS

IMP3 was present in 51.4% of MEC but absent in PA and normal salivary gland tissues. IMP3 expression was associated with age > 60 years, submandibular gland tumors, tumor size > 4 cm, high-grade tumors, lymph node metastasis, involvement of surgical margins, perineural invasion, distant metastasis, advanced TNM stage, tumor relapse, and death ( P<0.05). Increased expression of IMP3, tumors of the submandibular gland, and lymph node metastasis were independent prognostic factors of -free survival (DFS). In addition, IMP3 was a strong predictor of overall survival (OS) together with distant metastasis and intermediate and high-grade tumors.

CONCLUSIONS

IMP3 expression is highly important in evaluating the outcome of MEC. IMP3 can be used to differentiate MEC from PA of salivary glands.

摘要

目的

黏液表皮样癌(MEC)是唾液腺最常见的原发性恶性肿瘤。胰岛素样生长因子-II mRNA结合蛋白-3(IMP3)是某些癌症的重要预后因素,也是鉴别胰腺良恶性病变的一种工具。本研究旨在确定IMP3表达与唾液腺MEC预后之间的关系,并将MEC与多形性腺瘤(PA)区分开来。

方法

采用免疫组织化学方法检测70例唾液腺MEC、40例PA和10例正常唾液腺组织标本中的IMP3。评估IMP3表达、临床病理特征与患者生存之间的相关性。

结果

IMP3在51.4%的MEC中存在,但在PA和正常唾液腺组织中不存在。IMP3表达与年龄>60岁、下颌下腺肿瘤、肿瘤大小>4 cm、高级别肿瘤、淋巴结转移、手术切缘受累、神经周围浸润、远处转移、TNM分期晚期、肿瘤复发和死亡相关(P<0.05)。IMP3表达增加、下颌下腺肿瘤和淋巴结转移是无病生存期(DFS)的独立预后因素。此外,IMP3与远处转移以及中高级别肿瘤一起是总生存期(OS)的有力预测指标。

结论

IMP3表达在评估MEC预后方面非常重要。IMP3可用于区分唾液腺MEC与PA。

https://cdn.ncbi.nlm.nih.gov/pmc/blobs/9582/4944550/835c84cc5096/CBM-13-2-286-4.jpg
https://cdn.ncbi.nlm.nih.gov/pmc/blobs/9582/4944550/0eb335e1a3ad/CBM-13-2-286-1.jpg
https://cdn.ncbi.nlm.nih.gov/pmc/blobs/9582/4944550/32b2eb1750d2/CBM-13-2-286-2.jpg
https://cdn.ncbi.nlm.nih.gov/pmc/blobs/9582/4944550/086dc224bf0b/CBM-13-2-286-3.jpg
https://cdn.ncbi.nlm.nih.gov/pmc/blobs/9582/4944550/835c84cc5096/CBM-13-2-286-4.jpg
https://cdn.ncbi.nlm.nih.gov/pmc/blobs/9582/4944550/0eb335e1a3ad/CBM-13-2-286-1.jpg
https://cdn.ncbi.nlm.nih.gov/pmc/blobs/9582/4944550/32b2eb1750d2/CBM-13-2-286-2.jpg
https://cdn.ncbi.nlm.nih.gov/pmc/blobs/9582/4944550/086dc224bf0b/CBM-13-2-286-3.jpg
https://cdn.ncbi.nlm.nih.gov/pmc/blobs/9582/4944550/835c84cc5096/CBM-13-2-286-4.jpg

相似文献

1
The oncofetal protein IMP3 is an indicator of early recurrence and poor outcome in mucoepidermoid carcinoma of salivary glands.癌胚蛋白IMP3是唾液腺黏液表皮样癌早期复发和预后不良的一个指标。
Cancer Biol Med. 2016 Jun;13(2):286-95. doi: 10.20892/j.issn.2095-3941.2016.0037.
2
Insulin-like Growth Factor II Messenger RNA-binding Protein 3 in Salivary Gland Tumors.唾液腺肿瘤中的胰岛素样生长因子II信使核糖核酸结合蛋白3
Appl Immunohistochem Mol Morphol. 2016 Jul;24(6):422-6. doi: 10.1097/PAI.0000000000000205.
3
Prognostic factors in primary salivary gland mucoepidermoid carcinoma: an analysis of 376 cases in an Eastern Chinese population.原发性涎腺黏液表皮样癌的预后因素:一项对中国东部人群376例病例的分析。
Int J Oral Maxillofac Surg. 2014 Jun;43(6):667-73. doi: 10.1016/j.ijom.2014.01.008. Epub 2014 Feb 23.
4
Diagnostic Utility of Immunohistochemical Expressions of IMP3 Versus DOG1 and p63 in Salivary Gland Tumors.免疫组织化学表达 IMP3 与 DOG1 和 p63 在唾液腺肿瘤中的诊断效用。
Turk Patoloji Derg. 2020;36(3):227-236. doi: 10.5146/tjpath.2020.01496.
5
Increased expression of MUC-1 has close relation with patient survivor in high-grade salivary gland mucoepidermoid carcinoma.MUC-1表达增加与高级别涎腺黏液表皮样癌患者的生存期密切相关。
J Oral Pathol Med. 2014 Sep;43(8):579-84. doi: 10.1111/jop.12170. Epub 2014 Feb 14.
6
Increased expression of MUC1 predicts poor survival in salivary gland mucoepidermoid carcinoma.MUC1表达增加预示着涎腺黏液表皮样癌患者的预后不良。
J Craniomaxillofac Surg. 2014 Dec;42(8):1891-6. doi: 10.1016/j.jcms.2014.07.008. Epub 2014 Aug 6.
7
Overall and cause-specific survival for mucoepidermoid carcinoma of the major salivary glands: Analysis of 2210 patients.大唾液腺黏液表皮样癌的总体生存率和病因特异性生存率:2210例患者的分析
World J Clin Oncol. 2020 Dec 24;11(12):1029-1044. doi: 10.5306/wjco.v11.i12.1029.
8
Prognostic factors in mucoepidermoid carcinoma of the salivary glands.涎腺黏液表皮样癌的预后因素。
Cancer. 2012 Aug 15;118(16):3928-36. doi: 10.1002/cncr.26697. Epub 2011 Dec 16.
9
[Histopathological grading and clinical features of patients with mucoepidermoid carcinoma of the salivary glands].[唾液腺黏液表皮样癌患者的组织病理学分级及临床特征]
Nihon Jibiinkoka Gakkai Kaiho. 2003 Mar;106(3):192-8. doi: 10.3950/jibiinkoka.106.192.
10
SALTT study: A retrospective analysis of 111 SAlivary gland tumors of Lung and Tracheobronchial Tree.SALTT 研究:111 例肺和气管支气管树涎腺肿瘤的回顾性分析。
Ann Diagn Pathol. 2024 Jun;70:152283. doi: 10.1016/j.anndiagpath.2024.152283. Epub 2024 Feb 24.

引用本文的文献

1
A Promising Diagnostic Role of Immunohistochemical Expression of Insulin-Like Growth Factor II mRNA Binding Protein 3 (IMP3) in Pancreatic Lesions Using Endoscopic Ultrasound-Guided Fine Needle Aspiration (EUS-FNA) Cytology.免疫组化检测胰岛素样生长因子 II mRNA 结合蛋白 3(IMP3)在超声内镜引导下细针穿刺(EUS-FNA)细胞学检查胰腺病变中的诊断作用。
J Gastrointest Cancer. 2023 Mar;54(1):96-103. doi: 10.1007/s12029-021-00770-3. Epub 2022 Jan 14.
2
Diagnostic Utility of Immunohistochemical Expressions of IMP3 Versus DOG1 and p63 in Salivary Gland Tumors.免疫组织化学表达 IMP3 与 DOG1 和 p63 在唾液腺肿瘤中的诊断效用。
Turk Patoloji Derg. 2020;36(3):227-236. doi: 10.5146/tjpath.2020.01496.
3

本文引用的文献

1
Increased expression of MUC1 predicts poor survival in salivary gland mucoepidermoid carcinoma.MUC1表达增加预示着涎腺黏液表皮样癌患者的预后不良。
J Craniomaxillofac Surg. 2014 Dec;42(8):1891-6. doi: 10.1016/j.jcms.2014.07.008. Epub 2014 Aug 6.
2
Role of IGF2BP3 in trophoblast cell invasion and migration.IGF2BP3 在滋养层细胞侵袭和迁移中的作用。
Cell Death Dis. 2014 Jan 23;5(1):e1025. doi: 10.1038/cddis.2013.545.
3
Prognostic factors in mucoepidermoid carcinoma of the salivary glands.涎腺黏液表皮样癌的预后因素。
IMP3 overexpression occurs in various important cancer types and is linked to aggressive tumor features: A tissue microarray study on 8,877 human cancers and normal tissues.
IMP3 过表达发生在各种重要的癌症类型中,并与侵袭性肿瘤特征相关:在 8877 个人类癌症和正常组织的组织微阵列研究中。
Oncol Rep. 2018 Jan;39(1):3-12. doi: 10.3892/or.2017.6072. Epub 2017 Nov 2.
Cancer. 2012 Aug 15;118(16):3928-36. doi: 10.1002/cncr.26697. Epub 2011 Dec 16.
4
Insulin-like growth factor II mRNA-binding protein 3: a novel prognostic biomarker for oral squamous cell carcinoma.胰岛素样生长因子 II mRNA 结合蛋白 3:口腔鳞状细胞癌的一种新的预后生物标志物。
Head Neck. 2011 Mar;33(3):368-74. doi: 10.1002/hed.21457.
5
Mucoepidermoid carcinoma of the parotid gland: factors affecting outcome.腮腺黏液表皮样癌:影响预后的因素。
Head Neck. 2011 Apr;33(4):497-503. doi: 10.1002/hed.21477.
6
Prognostic significance of insulin-like growth factor II mRNA-binding protein 3 expression in gastric adenocarcinoma.胰岛素样生长因子II mRNA结合蛋白3在胃腺癌中的表达及其预后意义
Br J Surg. 2009 Jan;96(1):66-73. doi: 10.1002/bjs.6438.
7
Mucoepidermoid carcinoma of the head and neck: clinical analysis of 43 patients.头颈部黏液表皮样癌:43例患者的临床分析
Jpn J Clin Oncol. 2008 Jun;38(6):414-8. doi: 10.1093/jjco/hyn045.
8
IMP3 predicts aggressive superficial urothelial carcinoma of the bladder.IMP3可预测侵袭性膀胱浅表性尿路上皮癌。
Clin Cancer Res. 2008 Mar 15;14(6):1701-6. doi: 10.1158/1078-0432.CCR-07-2039.
9
External validation of IMP3 expression as an independent prognostic marker for metastatic progression and death for patients with clear cell renal cell carcinoma.IMP3表达作为透明细胞肾细胞癌患者转移进展和死亡的独立预后标志物的外部验证。
Cancer. 2008 Apr 1;112(7):1471-9. doi: 10.1002/cncr.23296.
10
The oncofetal protein IMP3: a novel biomarker for endometrial serous carcinoma.癌胚蛋白IMP3:子宫内膜浆液性癌的一种新型生物标志物。
Am J Surg Pathol. 2008 Feb;32(2):304-15. doi: 10.1097/PAS.0b013e3181483ff8.