Eidel Oliver, Neumann Jan-Oliver, Burth Sina, Kieslich Pascal J, Jungk Christine, Sahm Felix, Kickingereder Philipp, Kiening Karl, Unterberg Andreas, Wick Wolfgang, Schlemmer Heinz-Peter, Bendszus Martin, Radbruch Alexander
Department of Neuroradiology, University of Heidelberg Medical Center, Heidelberg, Germany.
Department of Neurosurgery, Division Stereotactic Neurosurgery, University of Heidelberg Medical Center, Heidelberg, Germany.
PLoS One. 2016 Jul 28;11(7):e0160250. doi: 10.1371/journal.pone.0160250. eCollection 2016.
Several studies have analyzed a correlation between the apparent diffusion coefficient (ADC) derived from diffusion-weighted MRI and the tumor cellularity of corresponding histopathological specimens in brain tumors with inconclusive findings. Here, we compared a large dataset of ADC and cellularity values of stereotactic biopsies of glioblastoma patients using a new postprocessing approach including trajectory analysis and automatic nuclei counting.
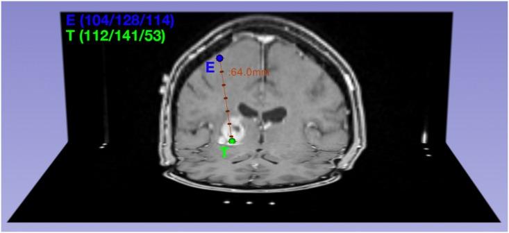
Thirty-seven patients with newly diagnosed glioblastomas were enrolled in this study. ADC maps were acquired preoperatively at 3T and coregistered to the intraoperative MRI that contained the coordinates of the biopsy trajectory. 561 biopsy specimens were obtained; corresponding cellularity was calculated by semi-automatic nuclei counting and correlated to the respective preoperative ADC values along the stereotactic biopsy trajectory which included areas of T1-contrast-enhancement and necrosis.
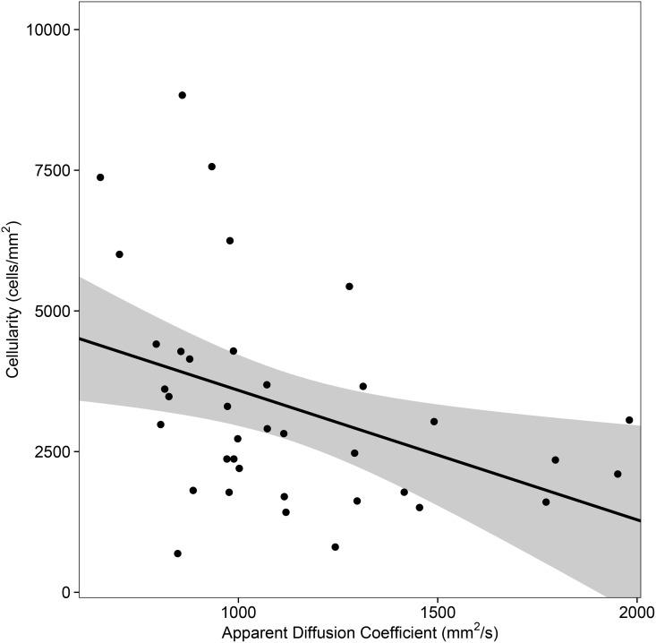
There was a weak to moderate inverse correlation between ADC and cellularity in glioblastomas that varied depending on the approach towards statistical analysis: for mean values per patient, Spearman's ρ = -0.48 (p = 0.002), for all trajectory values in one joint analysis Spearman's ρ = -0.32 (p < 0.001). The inverse correlation was additionally verified by a linear mixed model.
Our data confirms a previously reported inverse correlation between ADC and tumor cellularity. However, the correlation in the current article is weaker than the pooled correlation of comparable previous studies. Hence, besides cell density, other factors, such as necrosis and edema might influence ADC values in glioblastomas.
多项研究分析了扩散加权磁共振成像(MRI)得出的表观扩散系数(ADC)与脑肿瘤相应组织病理学标本的肿瘤细胞密度之间的相关性,但结果尚无定论。在此,我们使用一种包括轨迹分析和自动细胞核计数的新后处理方法,比较了胶质母细胞瘤患者立体定向活检的大量ADC和细胞密度值数据集。
本研究纳入了37例新诊断的胶质母细胞瘤患者。术前在3T条件下获取ADC图,并将其与包含活检轨迹坐标的术中MRI进行配准。共获取561份活检标本;通过半自动细胞核计数计算相应的细胞密度,并将其与沿立体定向活检轨迹的术前ADC值相关联,该轨迹包括T1加权增强和坏死区域。
胶质母细胞瘤中ADC与细胞密度之间存在弱至中度的负相关,具体取决于统计分析方法:每位患者的平均值,Spearman相关系数ρ = -0.48(p = 0.002);在一项联合分析中所有轨迹值的Spearman相关系数ρ = -0.32(p < 0.001)。线性混合模型进一步验证了这种负相关。
我们的数据证实了先前报道的ADC与肿瘤细胞密度之间的负相关。然而,本文中的相关性比之前类似研究的汇总相关性要弱。因此,除了细胞密度外,其他因素,如坏死和水肿,可能会影响胶质母细胞瘤中的ADC值。