Xia Ding, Lou Weiwei, Fung Kar-Ming, Wolley Cole L, Suhail Mahmoud M, Lin Hsueh-Kung
1 Tongji Hospital, Tongji Medical College, Huazhong University of Science and Technology, Wuhan, People's Republic of China.
2 University of Oklahoma Health Sciences Center, Oklahoma City, OK, USA.
Integr Cancer Ther. 2017 Dec;16(4):605-611. doi: 10.1177/1534735416664174. Epub 2016 Aug 16.
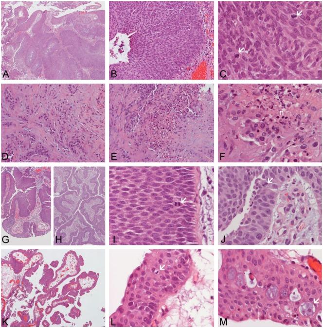
A 52-year-old Hispanic male presented with hematuria and was later diagnosed with a large invasive high-grade urothelial cell carcinoma (UCC) of the urinary bladder, but with ambiguous pT1/pT2 staging regarding musclaris propria invasion by UCC. The conventional treatment including radical cystoprostatectomy followed by neoadjuvant chemotherapy with or without radiation therapy was presented. The patient decided to delay the standard therapy until a later stage, but elected to go through transurethral resection of bladder tumor (TURBT) without Bacillus Calmette-Guérin instillation. Following TURBT, the patient started oral Boswellia sacra gum resin (aka frankincense or Ru Xiang in Chinese) hydrodistillates (BSGRH) administration at 3 mL daily with lifestyle changes, and continued this regimen in the last 25 months. Within the first year after diagnosis, the patient experienced 2 recurrences. Recurrent tumors were removed by TURBT alone and both tumors were far smaller than the original one. After the second recurrence, the patient has no detectible cancer in the bladder based on cystoscopy for 14 months and has an intact genitourinary system. His liver and kidney functions are considered to be normal based on blood chemistry tests. This index case suggests that BSGRH may have cancer chemopreventive effects on UCC. The use of Boswellia-derived products in the management of cancer has been well document in other published studies, and boswellic acids have been suggested to be the major component. However, BSGRH contains very little boswellic acids. Demonstration of cancer chemoprevention using BSGRH is one step forward in isolating the key components other than boswellic acids in frankincense. The critical question as to whether these components can simultaneously activate multiple pathways in cancer cells to execute cancer suppression/cytotoxicity or prevention effects remains to be addressed. More studies including identification of key molecules, pharmacokinetics of major compounds, as well as long-term benefits and possible adverse effects will be needed to meet the guidelines of the US Food and Drug Administration for botanical drug development.
一名52岁的西班牙裔男性因血尿就诊,后来被诊断为膀胱大型浸润性高级别尿路上皮癌(UCC),但关于UCC侵犯固有肌层的pT1/pT2分期不明确。介绍了包括根治性膀胱前列腺切除术,随后进行新辅助化疗(有或无放射治疗)的传统治疗方法。患者决定推迟标准治疗至后期,但选择接受经尿道膀胱肿瘤切除术(TURBT),不进行卡介苗灌注。TURBT术后,患者开始每日口服3毫升乳香树胶树脂(又称乳香或中文的乳香)蒸馏液(BSGRH),并改变生活方式,在过去25个月一直维持该方案。诊断后的第一年,患者经历了2次复发。复发性肿瘤仅通过TURBT切除,且两个肿瘤均远小于原发肿瘤。第二次复发后,根据膀胱镜检查,患者膀胱在14个月内未检测到癌症,泌尿生殖系统完整。根据血液化学检查,其肝肾功能被认为正常。该病例表明,BSGRH可能对UCC具有癌症化学预防作用。在其他已发表的研究中,乳香衍生产品在癌症管理中的应用已有充分记录,且有人认为乳香酸是主要成分。然而,BSGRH中乳香酸含量极少。使用BSGRH证明癌症化学预防是分离乳香中除乳香酸之外关键成分的进一步举措。这些成分是否能同时激活癌细胞中的多种途径以发挥癌症抑制/细胞毒性或预防作用这一关键问题仍有待解决。需要更多研究,包括关键分子的鉴定、主要化合物的药代动力学以及长期益处和可能的不良反应,以符合美国食品药品监督管理局关于植物药开发的指导原则。