Suppr超能文献

通过热疗和DNA-PKcs抑制靶向DNA双链断裂修复以增强放射治疗效果。

Targeting DNA double strand break repair with hyperthermia and DNA-PKcs inhibition to enhance the effect of radiation treatment.

作者信息

van Oorschot Bregje, Granata Giovanna, Di Franco Simone, Ten Cate Rosemarie, Rodermond Hans M, Todaro Matilde, Medema Jan Paul, Franken Nicolaas A P

机构信息

Laboratory for Experimental Oncology and Radiobiology (LEXOR), Center for Experimental Molecular Medicine, Department of Radiation Oncology, Academic Medical Center, Cancer Genomics Center, Amsterdam, The Netherlands.

Department of Surgical, Oncological and Stomatological Sciences (DICHIRONS), Cellular and Molecular Pathophysiology Laboratory, University of Palermo, Palermo, Italy.

出版信息

Oncotarget. 2016 Oct 4;7(40):65504-65513. doi: 10.18632/oncotarget.11798.

Abstract

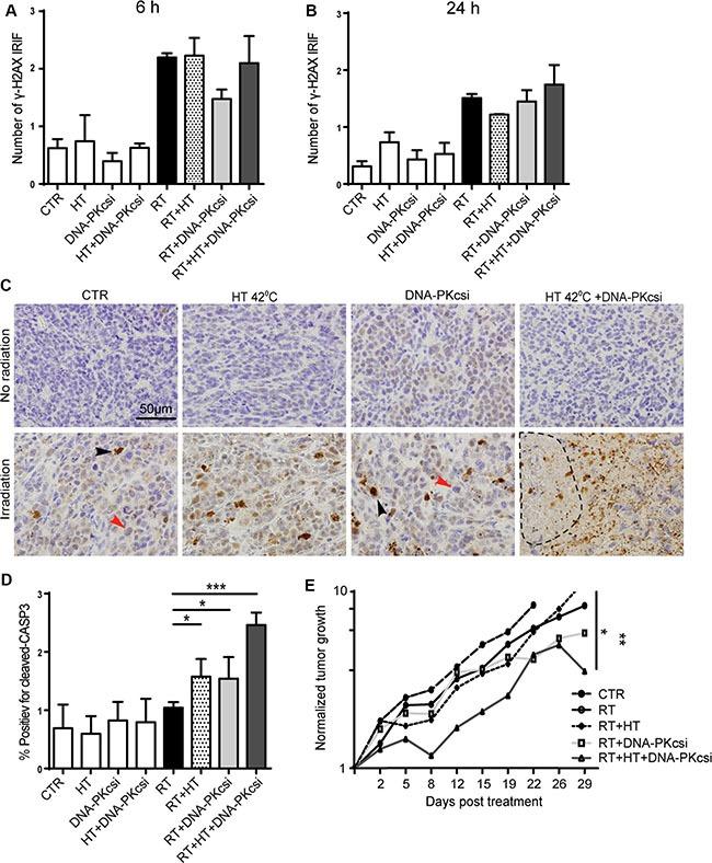
Radiotherapy is based on the induction of lethal DNA damage, primarily DNA double-strand breaks (DSB). Efficient DSB repair via Non-Homologous End Joining or Homologous Recombination can therefore undermine the efficacy of radiotherapy. By suppressing DNA-DSB repair with hyperthermia (HT) and DNA-PKcs inhibitor NU7441 (DNA-PKcsi), we aim to enhance the effect of radiation.The sensitizing effect of HT for 1 hour at 42°C and DNA-PKcsi [1 μM] to radiation treatment was investigated in cervical and breast cancer cells, primary breast cancer sphere cells (BCSCs) enriched for cancer stem cells, and in an in vivo human tumor model. A significant radio-enhancement effect was observed for all cell types when DNA-PKcsi and HT were applied separately, and when both were combined, HT and DNA-PKcsi enhanced radio-sensitivity to an even greater extent. Strikingly, combined treatment resulted in significantly lower survival rates, 2 to 2.5 fold increase in apoptosis, more residual DNA-DSB 6 h post treatment and a G2-phase arrest. In addition, tumor growth analysis in vivo showed significant reduction in tumor growth and elevated caspase-3 activity when radiation was combined with HT and DNA-PKcsi compared to radiation alone. Importantly, no toxic side effects of HT or DNA-PKcsi were found.In conclusion, inhibiting DNA-DSB repair using HT and DNA-PKcsi before radiotherapy leads to enhanced cytotoxicity in cancer cells. This effect was even noticed in the more radio-resistant BCSCs, which are clearly sensitized by combined treatment. Therefore, the addition of HT and DNA-PKcsi to conventional radiotherapy is promising and might contribute to more efficient tumor control and patient outcome.

摘要

放射治疗基于诱导致死性DNA损伤,主要是DNA双链断裂(DSB)。因此,通过非同源末端连接或同源重组进行的高效DSB修复会削弱放射治疗的效果。我们旨在通过热疗(HT)和DNA-PKcs抑制剂NU7441(DNA-PKcsi)抑制DNA-DSB修复,以增强放射效果。我们研究了42°C下1小时的热疗和DNA-PKcsi[1μM]对宫颈癌细胞、乳腺癌细胞、富集癌症干细胞的原发性乳腺癌球细胞(BCSCs)以及体内人肿瘤模型放射治疗的增敏作用。当单独应用DNA-PKcsi和热疗时,以及两者联合应用时,所有细胞类型均观察到显著的放射增强作用,热疗和DNA-PKcsi联合应用时进一步增强了放射敏感性。引人注目的是,联合治疗导致生存率显著降低,细胞凋亡增加2至2.5倍,治疗后6小时残留的DNA-DSB更多,并且出现G2期阻滞。此外,体内肿瘤生长分析显示,与单独放疗相比,放疗联合热疗和DNA-PKcsi时肿瘤生长显著减少,caspase-3活性升高。重要的是,未发现热疗或DNA-PKcsi的毒副作用。总之,放疗前使用热疗和DNA-PKcsi抑制DNA-DSB修复可增强癌细胞的细胞毒性。在更具放射抗性的BCSCs中也观察到了这种效果,联合治疗明显使其致敏。因此,在传统放疗中加入热疗和DNA-PKcsi具有前景,可能有助于更有效地控制肿瘤和改善患者预后。

https://cdn.ncbi.nlm.nih.gov/pmc/blobs/a50b/5323171/ac7548451799/oncotarget-07-65504-g001.jpg

文献检索

告别复杂PubMed语法,用中文像聊天一样搜索,搜遍4000万医学文献。AI智能推荐,让科研检索更轻松。

立即免费搜索

文件翻译

保留排版,准确专业,支持PDF/Word/PPT等文件格式,支持 12+语言互译。

免费翻译文档

深度研究

AI帮你快速写综述,25分钟生成高质量综述,智能提取关键信息,辅助科研写作。

立即免费体验