Suppr超能文献

全膝关节置换术后骨髓病变的切除与消退及疼痛改善:一项使用3特斯拉金属伪影减少MRI序列的新型病例研究

Resection and Resolution of Bone Marrow Lesions Associated with an Improvement of Pain after Total Knee Replacement: A Novel Case Study Using a 3-Tesla Metal Artefact Reduction MRI Sequence.

作者信息

Kurien Thomas, Kerslake Robert, Haywood Brett, Pearson Richard G, Scammell Brigitte E

机构信息

Arthritis Research UK Pain Centre, Nottingham University, Nottingham, UK; Academic Orthopaedics, Trauma and Sports Medicine, School of Medicine, The University of Nottingham, Queen's Medical Centre, Derby Road, Nottingham NG7 2UH, UK.

Arthritis Research UK Pain Centre, Nottingham University, Nottingham, UK; Nottingham University Hospitals NHS Trust, Queen's Medical Centre, Nottingham NG7 2UH, UK.

出版信息

Case Rep Orthop. 2016;2016:6043497. doi: 10.1155/2016/6043497. Epub 2016 Aug 25.

Abstract

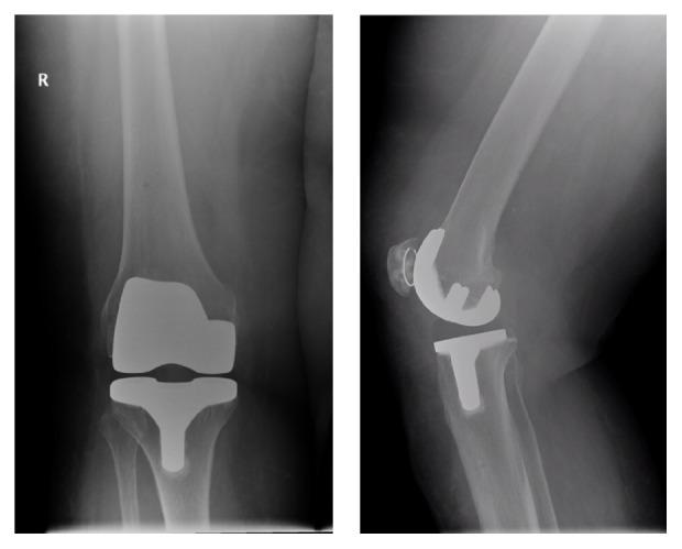
We present our case report using a novel metal artefact reduction magnetic resonance imaging (MRI) sequence to observe resolution of subchondral bone marrow lesions (BMLs), which are strongly associated with pain, in a patient after total knee replacement surgery. Large BMLs were seen preoperatively on the 3-Tesla MRI scans in a patient with severe end stage OA awaiting total knee replacement surgery. Twelve months after surgery, using a novel metal artefact reduction MRI sequence, we were able to visualize the bone-prosthesis interface and found complete resection and resolution of these BMLs. This is the first reported study in the UK to use this metal artefact reduction MRI sequence at 3-Tesla showing that resection and resolution of BMLs in this patient were associated with an improvement of pain and function after total knee replacement surgery. In this case it was associated with a clinically significant improvement of pain and function after surgery. Failure to eradicate these lesions may be a cause of persistent postoperative pain that is seen in up to 20% of patients following TKR surgery.

摘要

我们展示了一份病例报告,该报告使用了一种新型的金属伪影减少磁共振成像(MRI)序列,以观察全膝关节置换术后患者软骨下骨髓损伤(BMLs)的消退情况,这种损伤与疼痛密切相关。在一名等待全膝关节置换手术的重度终末期骨关节炎患者的3特斯拉MRI扫描中,术前可见大的BMLs。术后12个月,使用新型金属伪影减少MRI序列,我们能够观察到骨-假体界面,并发现这些BMLs已完全切除且消退。这是英国首次报道的在3特斯拉使用这种金属伪影减少MRI序列的研究,表明该患者BMLs的切除和消退与全膝关节置换术后疼痛和功能的改善相关。在本病例中,这与术后疼痛和功能的显著临床改善相关。未能根除这些损伤可能是导致TKR手术后高达20%的患者持续术后疼痛的原因。

https://cdn.ncbi.nlm.nih.gov/pmc/blobs/d538/5014972/5ebc6294efb0/CRIOR2016-6043497.001.jpg

相似文献

2
How Do MRI-Detected Subchondral Bone Marrow Lesions (BMLs) on Two Different MRI Sequences Correlate with Clinically Important Outcomes?
Calcif Tissue Int. 2018 Aug;103(2):131-143. doi: 10.1007/s00223-018-0402-8. Epub 2018 Feb 13.
3
Quantitative subchondral bone perfusion imaging in knee osteoarthritis using dynamic contrast enhanced MRI.
Semin Arthritis Rheum. 2020 Apr;50(2):177-182. doi: 10.1016/j.semarthrit.2019.07.013. Epub 2019 Aug 1.
6
Associations of osteoclastogenesis and nerve growth in subchondral bone marrow lesions with clinical symptoms in knee osteoarthritis.
J Orthop Translat. 2021 Dec 1;32:69-76. doi: 10.1016/j.jot.2021.11.002. eCollection 2022 Jan.
10
The osteoarthritis bone score (OABS): a new histological scoring system for the characterisation of bone marrow lesions in osteoarthritis.
Osteoarthritis Cartilage. 2022 May;30(5):746-755. doi: 10.1016/j.joca.2022.01.008. Epub 2022 Feb 3.

本文引用的文献

1
An illustrative review to understand and manage metal-induced artifacts in musculoskeletal MRI: a primer and updates.
Skeletal Radiol. 2016 May;45(5):677-88. doi: 10.1007/s00256-016-2338-2. Epub 2016 Feb 2.
3
Patient satisfaction after total knee replacement: new inroads.
Bone Joint J. 2014 Oct;96-B(10):1285-6. doi: 10.1302/0301-620X.96B10.34981.
4
The epidemiology and impact of pain in osteoarthritis.
Osteoarthritis Cartilage. 2013 Sep;21(9):1145-53. doi: 10.1016/j.joca.2013.03.018.

文献AI研究员

20分钟写一篇综述,助力文献阅读效率提升50倍。

立即体验

用中文搜PubMed

大模型驱动的PubMed中文搜索引擎

马上搜索

文档翻译

学术文献翻译模型,支持多种主流文档格式。

立即体验