Suppr超能文献

新型超声内镜引导下穿刺活检针(SharkCore)的初步经验:一项大型北美多中心研究的结果

Initial experience with a novel EUS-guided core biopsy needle (SharkCore): results of a large North American multicenter study.

作者信息

DiMaio Christopher J, Kolb Jennifer M, Benias Petros C, Shah Hiral, Shah Shashin, Haluszka Oleh, Maranki Jennifer, Sharzehi Kaveh, Lam Eric, Gordon Stuart R, Hyder Sarah M, Kaimakliotis Pavlos Z, Allaparthi Satya B, Gress Frank G, Sethi Amrita, Shah Ashish R, Nieto Jose, Kaul Vivek, Kothari Shivangi, Kothari Truptesh H, Ho Sammy, Izzy Manhal J, Sharma Neil R, Watson Rabindra R, Muthusamy V Raman, Pleskow Douglas K, Berzin Tyler M, Sawhney Mandeep, Aljahdi Emad, Ryou Marvin, Wong Clarence K, Gupta Parantap, Yang Dennis, Gonzalez Susana, Adler Douglas G

机构信息

Dr. Henry D. Janowitz Division of Gastroenterology, Icahn School of Medicine at Mount Sinai, Mount Sinai Medical Center, New York, New York, United States.

Mount Sinai Beth Israel Medical Center, New York, New York, United States.

出版信息

Endosc Int Open. 2016 Sep;4(9):E974-9. doi: 10.1055/s-0042-112581. Epub 2016 Aug 30.

Abstract

BACKGROUND AND AIMS

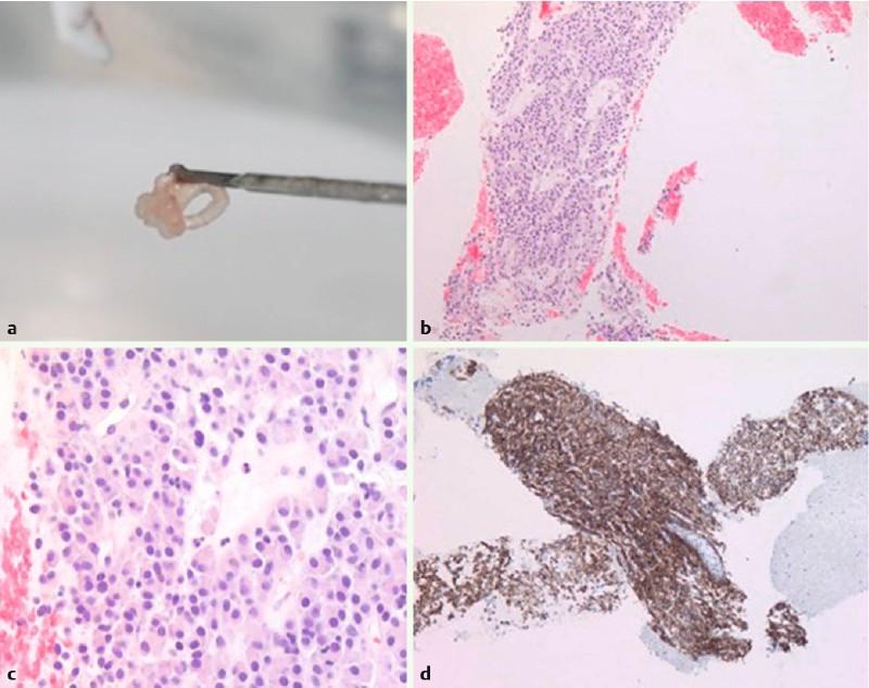
The ability to safely and effectively obtain sufficient tissue for pathologic evaluation by using endoscopic ultrasound (EUS) guidance remains a challenge. Novel designs in EUS needles may provide for improved ability to obtain such core biopsies. The aim of this study was to evaluate the diagnostic yield of core biopsy specimens obtained using a novel EUS needle specifically designed to obtain core biopsies.

PATIENTS AND METHODS

Multicenter retrospective review of all EUS-guided fine-needle biopsies obtained using a novel biopsy needle (SharkCore FNB needle, Medtronic, Dublin, Ireland). Data regarding patient demographics, lesion type/location, technical parameters, and diagnostic yield was obtained.

RESULTS

A total of 250 lesions were biopsied in 226 patients (Median age 66 years; 113 (50 %) male). Median size of all lesions (mm): 26 (2 - 150). Overall, a cytologic diagnosis was rendered in 81 % specimens with a median number of 3 passes. When rapid onsite cytologic evaluation (ROSE) was used, cytologic diagnostic yield was 126/149 (85 %) with a median number of 3 passes; without ROSE, cytologic diagnostic yield was 31/45 (69 %, P = 0.03) with a median number of 3 passes. Overall, a pathologic diagnosis was rendered in 130/147 (88 %) specimens with a median number of 2 passes. Pathologic diagnostic yield for specific lesion types: pancreas 70/81 (86 %), subepithelial lesion 13/15 (87 %), lymph node 26/28 (93 %). Ten patients (10/226, 4 %) experienced adverse events: 4 acute pancreatitis, 5 pain, 1 fever/cholangitis.

CONCLUSIONS

Initial experience with a novel EUS core biopsy needle demonstrates excellent pathologic diagnostic yield with a minimum number of passes.

摘要

背景与目的

通过内镜超声(EUS)引导安全有效地获取足够组织用于病理评估的能力仍然是一项挑战。EUS针的新设计可能会提高获取此类核心活检标本的能力。本研究的目的是评估使用专门设计用于获取核心活检的新型EUS针获得的核心活检标本的诊断率。

患者与方法

对使用新型活检针(SharkCore FNB针,美敦力公司,爱尔兰都柏林)获得的所有EUS引导下细针活检进行多中心回顾性研究。获取有关患者人口统计学、病变类型/位置、技术参数和诊断率的数据。

结果

226例患者共对250个病变进行了活检(中位年龄66岁;113例(50%)为男性)。所有病变的中位大小(mm):26(2 - 150)。总体而言,81%的标本做出了细胞学诊断,中位穿刺次数为3次。当使用快速现场细胞学评估(ROSE)时,细胞学诊断率为126/149(85%),中位穿刺次数为3次;未使用ROSE时,细胞学诊断率为31/45(69%,P = 0.03),中位穿刺次数为3次。总体而言,130/147(88%)的标本做出了病理诊断,中位穿刺次数为2次。特定病变类型的病理诊断率:胰腺70/81(86%),上皮下病变13/15(87%),淋巴结26/28(93%)。10例患者(10/226,4%)发生不良事件:4例急性胰腺炎,5例疼痛,1例发热/胆管炎。

结论

新型EUS核心活检针的初步经验表明,穿刺次数最少时病理诊断率极佳。

https://cdn.ncbi.nlm.nih.gov/pmc/blobs/2e56/5025313/5cc909c54ab4/10-1055-s-0042-112581-i472ei1.jpg

文献AI研究员

20分钟写一篇综述,助力文献阅读效率提升50倍。

立即体验

用中文搜PubMed

大模型驱动的PubMed中文搜索引擎

马上搜索

文档翻译

学术文献翻译模型,支持多种主流文档格式。

立即体验