Suppr超能文献

内皮向间充质转化促成了三氧化二砷诱导的心脏纤维化。

Endothelial to mesenchymal transition contributes to arsenic-trioxide-induced cardiac fibrosis.

作者信息

Zhang Yong, Wu Xianxian, Li Yang, Zhang Haiying, Li Zhange, Zhang Ying, Zhang Longyin, Ju Jiaming, Liu Xin, Chen Xiaohui, Glybochko Peter V, Nikolenko Vladimir, Kopylov Philipp, Xu Chaoqian, Yang Baofeng

机构信息

Department of Pharmacology (the State-Province Key Laboratories of Biomedicine-Pharmaceutics of China, Key Laboratory of Cardiovascular Research, Ministry of Education), College of Pharmacy, Harbin Medical University, Harbin, 150081, China.

Institute of Metabolic Disease, Heilongjiang Academy of Medical Science, Harbin, 150086, China.

出版信息

Sci Rep. 2016 Sep 27;6:33787. doi: 10.1038/srep33787.

Abstract

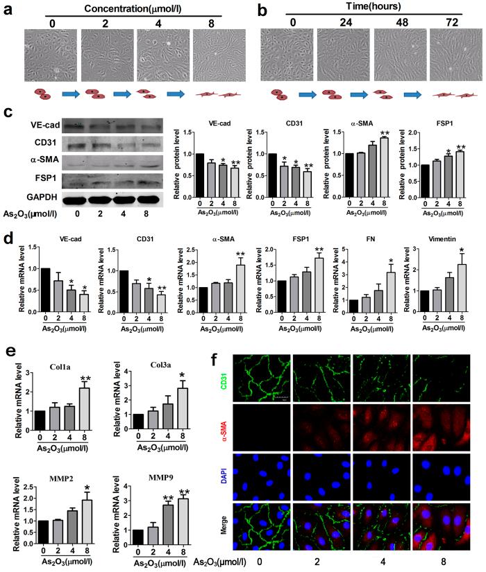
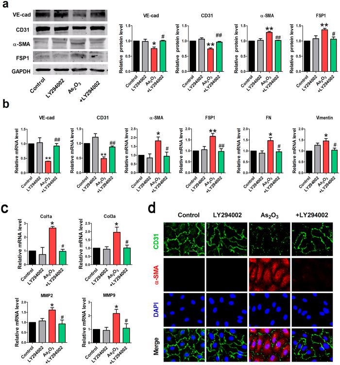
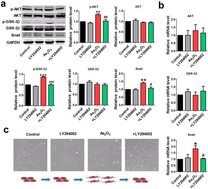
Emerging evidence has suggested the critical role of endothelial to mesenchymal transition (EndMT) in fibrotic diseases. The present study was designed to examine whether EndMT is involved in arsenic trioxide (AsO)-induced cardiac fibrosis and to explore the underlying mechanisms. Cardiac dysfunction was observed in rats after exposure to AsO for 15 days using echocardiography, and the deposition of collagen was detected by Masson's trichrome staining and electron microscope. EndMT was indicated by the loss of endothelial cell markers (VE-cadherin and CD31) and the acquisition of mesenchymal cell markers (α-SMA and FSP1) determined by RT-PCR at the mRNA level and Western blot and immunofluorescence analysis at the protein level. In the in-vitro experiments, endothelial cells acquired a spindle-shaped morphology accompanying downregulation of the endothelial cell markers and upregulation of the mesenchymal cell markers when exposed to AsO. AsO activated the AKT/GSK-3β/Snail signaling pathway, and blocking this pathway with PI3K inhibitor (LY294002) abolished EndMT in AsO-treated endothelial cells. Our results highlight that AsO is an EndMT-promoting factor during cardiac fibrosis, suggesting that targeting EndMT is beneficial for preventing AsO-induced cardiac toxicity.

摘要

新出现的证据表明内皮向间充质转化(EndMT)在纤维化疾病中起关键作用。本研究旨在探讨EndMT是否参与三氧化二砷(AsO)诱导的心脏纤维化,并探索其潜在机制。使用超声心动图观察大鼠暴露于AsO 15天后的心脏功能障碍,并用Masson三色染色和电子显微镜检测胶原沉积。通过RT-PCR在mRNA水平以及蛋白质印迹和免疫荧光分析在蛋白质水平检测内皮细胞标志物(VE-钙黏蛋白和CD31)的丧失以及间充质细胞标志物(α-SMA和FSP1)的获得来表明EndMT。在体外实验中,当暴露于AsO时,内皮细胞呈现纺锤形形态,同时内皮细胞标志物下调,间充质细胞标志物上调。AsO激活了AKT/GSK-3β/Snail信号通路,用PI3K抑制剂(LY294002)阻断该通路可消除AsO处理的内皮细胞中的EndMT。我们的结果表明,AsO是心脏纤维化过程中的一种促进EndMT的因子,这表明靶向EndMT有助于预防AsO诱导的心脏毒性。

https://cdn.ncbi.nlm.nih.gov/pmc/blobs/2dc5/5037371/cace153dd881/srep33787-f1.jpg

文献AI研究员

20分钟写一篇综述,助力文献阅读效率提升50倍。

立即体验

用中文搜PubMed

大模型驱动的PubMed中文搜索引擎

马上搜索

文档翻译

学术文献翻译模型,支持多种主流文档格式。

立即体验