Suppr超能文献

侵袭性肺腺癌实性亚型的微小RNA表达谱揭示一组4种微小RNA与中国患者的不良预后相关。

MicroRNA Expression Profile on Solid Subtype of Invasive Lung Adenocarcinoma Reveals a Panel of Four miRNAs to Be Associated with Poor Prognosis in Chinese Patients.

作者信息

Zhang Yong-Qiang, Wang Wei-Ya, Xue Jian-Xin, Xu Yan, Fan Ping, Caughey Bennett Adam, Tan Wei-Wei, Cao Gui-Qun, Jiang Li-Li, Lu You, Zhang Kang, Hu Xun

机构信息

1. Biorepository, State Key Laboratory of Biotherapy and Cancer Center, West China Hospital, Sichuan University, Chengdu, 610041, China.

2. Department of Pathology, West China Hospital, Sichuan University, Chengdu, 610041, China.

出版信息

J Cancer. 2016 Jul 18;7(12):1610-1620. doi: 10.7150/jca.14923. eCollection 2016.

Abstract

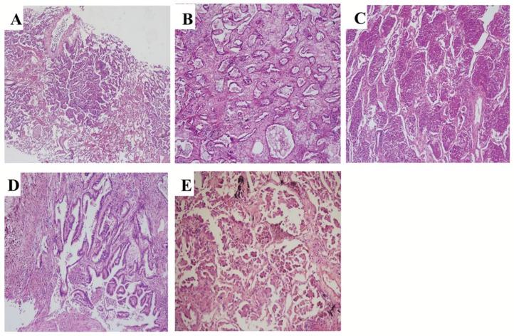
According to the reclassification of lung adenocarcinoma (LAC) proposed in 2011, solid predominant lung adenocarcinoma (SPA) has been associated with poor outcomes for LAC patients. However, the prognostic value of the presence of solid subtype remains unclear. Besides, there is little data about the roles of microRNA (miRNA) in solid subtype of LAC. In this study, 243 LAC patients were classified into solid subtype positive and negative groups (S+ LAC, n=134 and S- LAC, n=109) according to whether the solid subtype was more than 5% of the tumor component or not. We analyzed the relationship between solid subtype and patients' outcome by univariate and multivariate analyses. Solid subtype was proved to be significantly associated with the 5-year overall survival and played as an independent prognostic factor for stage I-III invasive LAC patients. Then miRNA microarray was used to identify differentially expressed miRNAs in solid subtype, resulting in 31 differential miRNAs. Quantitative reverse transcription-PCR (QRT-PCR) was used to validate 4 key miRNAs (miR-133b, miR-155-5p, miR-124-3p, miR-145-5p). Further, CCK-8 and transwell assays were performed to validate the impact of one dysregulated miRNA (miR-133b) on LAC cell function. Interestingly, while miR-133b could significantly inhibit the proliferation of A549 and SPC-A1, it showed no effect on the migration or invasion of LAC cell lines. These results suggest that solid subtype can exert independent prognostic impact on LAC patients, and 4 important dysregulated miRNAs in solid subtype of LAC may be involved in the malignancy of S+LAC, thus may further have clinical perspective for S+ LAC in the future.

摘要

根据2011年提出的肺腺癌(LAC)重新分类,实性为主型肺腺癌(SPA)与LAC患者的不良预后相关。然而,实性亚型存在的预后价值仍不清楚。此外,关于微小RNA(miRNA)在LAC实性亚型中的作用的数据很少。在本研究中,243例LAC患者根据实性亚型是否占肿瘤成分的5%以上分为实性亚型阳性和阴性组(S+LAC,n = 134;S-LAC,n = 109)。我们通过单因素和多因素分析分析了实性亚型与患者预后之间的关系。结果证明实性亚型与5年总生存率显著相关,并且是I-III期浸润性LAC患者的独立预后因素。然后使用miRNA微阵列鉴定实性亚型中差异表达的miRNA,结果得到31个差异miRNA。定量逆转录PCR(QRT-PCR)用于验证4个关键miRNA(miR-133b、miR-155-5p、miR-124-3p、miR-145-5p)。此外,进行CCK-8和Transwell试验以验证一种失调的miRNA(miR-133b)对LAC细胞功能的影响。有趣的是,虽然miR-133b可以显著抑制A549和SPC-A1的增殖,但它对LAC细胞系的迁移或侵袭没有影响。这些结果表明,实性亚型可对LAC患者产生独立的预后影响,LAC实性亚型中4个重要的失调miRNA可能参与S+LAC的恶性过程,因此未来可能对S+LAC具有进一步的临床意义。

https://cdn.ncbi.nlm.nih.gov/pmc/blobs/712a/5039382/59492f0f03fb/jcav07p1610g001.jpg

文献AI研究员

20分钟写一篇综述,助力文献阅读效率提升50倍。

立即体验

用中文搜PubMed

大模型驱动的PubMed中文搜索引擎

马上搜索

文档翻译

学术文献翻译模型,支持多种主流文档格式。

立即体验