• 文献检索
  • 文档翻译
  • 深度研究
  • 学术资讯
  • Suppr Zotero 插件Zotero 插件
  • 邀请有礼
  • 套餐&价格
  • 历史记录
应用&插件
Suppr Zotero 插件Zotero 插件浏览器插件Mac 客户端Windows 客户端微信小程序
定价
高级版会员购买积分包购买API积分包
服务
文献检索文档翻译深度研究API 文档MCP 服务
关于我们
关于 Suppr公司介绍联系我们用户协议隐私条款
关注我们

Suppr 超能文献

核心技术专利:CN118964589B侵权必究
粤ICP备2023148730 号-1Suppr @ 2026

文献检索

告别复杂PubMed语法,用中文像聊天一样搜索,搜遍4000万医学文献。AI智能推荐,让科研检索更轻松。

立即免费搜索

文件翻译

保留排版,准确专业,支持PDF/Word/PPT等文件格式,支持 12+语言互译。

免费翻译文档

深度研究

AI帮你快速写综述,25分钟生成高质量综述,智能提取关键信息,辅助科研写作。

立即免费体验

自噬失调促成肛管癌发生。

Dysregulation of Autophagy Contributes to Anal Carcinogenesis.

作者信息

Carchman Evie H, Matkowskyj Kristina A, Meske Louise, Lambert Paul F

机构信息

Department of Surgery, University of Wisconsin, Madison, WI, United States of America.

Department of Pathology and Laboratory, University of Wisconsin, Madison, WI, United States of America.

出版信息

PLoS One. 2016 Oct 5;11(10):e0164273. doi: 10.1371/journal.pone.0164273. eCollection 2016.

DOI:10.1371/journal.pone.0164273
PMID:27706233
原文链接:https://pmc.ncbi.nlm.nih.gov/articles/PMC5051741/
Abstract

INTRODUCTION

Autophagy is an intracellular catabolic process that removes and recycles unnecessary/dysfunctional cellular components, contributing to cellular health and survival. Autophagy is a highly regulated cellular process that responds to several intracellular signals, many of which are deregulated by human papillomavirus (HPV) infection through the expression of HPV-encoded oncoproteins. This adaptive inhibitory response helps prevent viral clearance. A strong correlation remains between HPV infection and the development of squamous cell carcinoma (SCC) of the anus, particularly in HIV positive and other immunosuppressed patients. We hypothesize that autophagy is inhibited by HPV-encoded oncoproteins thereby promoting anal carcinogenesis (Fig 1).

MATERIALS AND METHODS

HPV16 transgenic mice (K14E6/E7) and non-transgenic mice (FVB/N), both of which do not spontaneously develop anal tumors, were treated topically with the chemical carcinogen, 7,12-Dimethylbenz[a]anthracene (DMBA), to induce anal cancer. The anuses at different time points of treatment (5, 10, 15 and 20 weeks) were analyzed using immunofluorescence (IF) for two key autophagy marker proteins (LC3β and p62) in addition to histological grading. The anuses from the K14E6/E7 mice were also analyzed for visual evidence of autophagic activity by electron microscopy (EM). To see if there was a correlation to humans, archival anal specimens were assessed histologically for grade of dysplasia and then analyzed for LC3β and p62 protein content. To more directly examine the effect of autophagic inhibition on anal carcinogenesis, nontransgenic mice that do not develop anal cancer with DMBA treatment were treated with a known pharmacologic inhibitor of autophagy, chloroquine, and examined for tumor development and analyzed by IF for autophagic proteins.

RESULTS

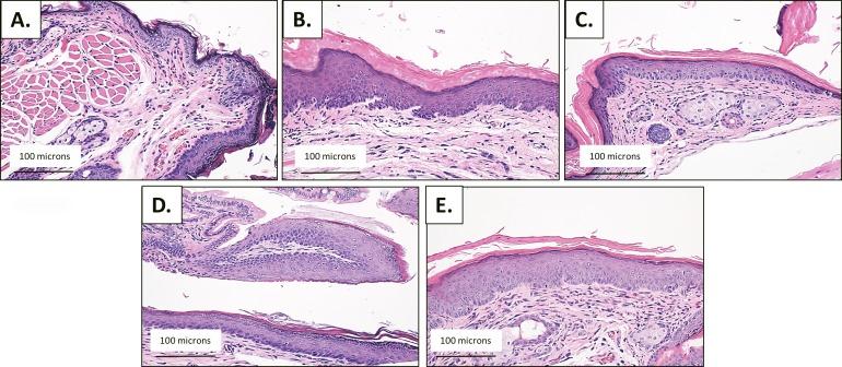
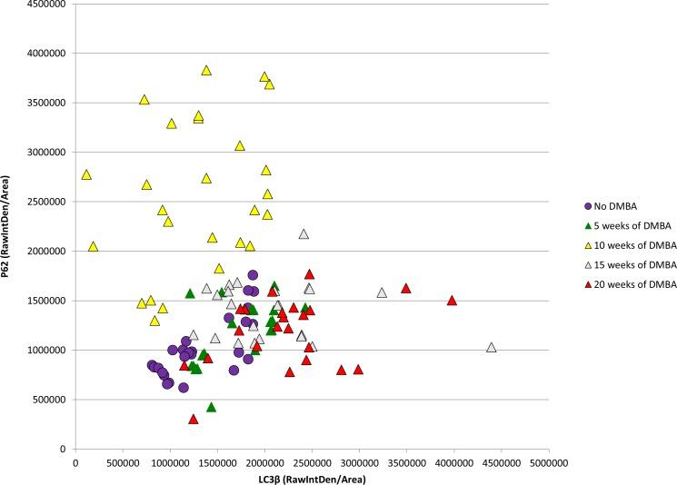
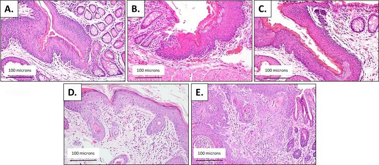
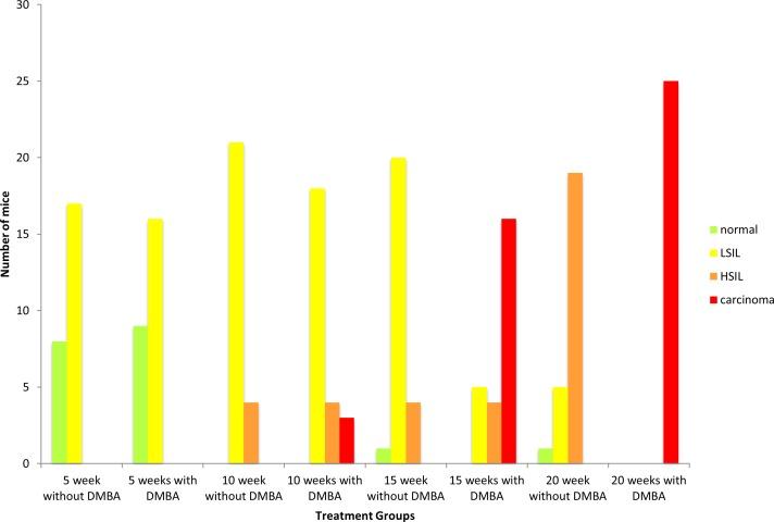
Histologically, we observed the progression of normal anoderm to invasive SCC with DMBA treatment in K14E6/E7 mice but not in nontransgenic, syngeneic FVB/N background control mice. With the development of low-grade dysplasia in the K14E6/E7 mice, there was an increase in both punctate LC3β and p62 expression while EM revealed increased autophagosomes without evidence of autophagolysosomes. These observations are consistent with autophagy being inhibited at a later stage in the autophagic process. In contrast, in high-grade dysplasia and SCC in the DMBA-treated K14E6/E7 mice, there were decreased levels of p62 with a continued increase in punctate LC3β expression by IF, while autophagolysosomes were seen on EM, consistent with the process of autophagy proceeded to completion. Similar findings, including histological grade dependent changes in LC3β and p62 expression, were noted with human samples upon analysis of IF. Finally, with pharmacologic inhibition of autophagy in DMBA-treated, nontrangenic FVB/N mice, there was a significant increase in anal cancer development similar to that observed in DMBA- treated K14E6/E7 mice.

CONCLUSION

Autophagic dysregulation is noted early on in HPV-associated anal carcinogenesis (low-grade dysplasia), with normalization of the autophagic process arising in late stages of HPV-associated anal carcinogenesis (high-grade dysplasia and invasive carcinoma).

摘要

引言

自噬是一种细胞内分解代谢过程,可清除和回收不必要的/功能失调的细胞成分,有助于细胞健康和存活。自噬是一个高度受调控的细胞过程,对多种细胞内信号作出反应,其中许多信号在人乳头瘤病毒(HPV)感染时,通过HPV编码的癌蛋白表达而失调。这种适应性抑制反应有助于阻止病毒清除。HPV感染与肛门鳞状细胞癌(SCC)的发生之间仍存在很强的相关性,特别是在HIV阳性和其他免疫抑制患者中。我们假设HPV编码的癌蛋白会抑制自噬,从而促进肛门癌发生(图1)。

材料与方法

HPV16转基因小鼠(K14E6/E7)和非转基因小鼠(FVB/N),两者均不会自发发生肛门肿瘤,局部用化学致癌物7,12-二甲基苯并[a]蒽(DMBA)处理以诱导肛门癌。在处理的不同时间点(5、10、15和20周),除了组织学分级外,还使用免疫荧光(IF)分析肛门中两种关键的自噬标记蛋白(LC3β和p62)。还通过电子显微镜(EM)分析K14E6/E7小鼠的肛门,以观察自噬活性的视觉证据。为了观察是否与人类存在相关性,对存档的肛门标本进行组织学评估以确定发育异常的程度,然后分析LC3β和p62蛋白含量。为了更直接地研究自噬抑制对肛门癌发生的影响,对用DMBA处理不会发生肛门癌的非转基因小鼠用已知的自噬药理学抑制剂氯喹进行处理,并检查肿瘤发生情况并通过IF分析自噬蛋白。

结果

组织学上,我们观察到在K14E6/E7小鼠中,经DMBA处理后,正常肛管上皮进展为浸润性SCC,但在同基因FVB/N背景的非转基因对照小鼠中未观察到。随着K14E6/E7小鼠低度发育异常的发展,点状LC3β和p62表达均增加,而EM显示自噬体增加,但没有自噬溶酶体的证据。这些观察结果与自噬在自噬过程后期被抑制一致。相比之下,在经DMBA处理的K14E6/E7小鼠的高度发育异常和SCC中,IF显示p62水平降低,点状LC3β表达持续增加,而EM上可见自噬溶酶体,这与自噬过程持续到完成一致。在分析IF时,人类样本也有类似发现,包括LC3β和p62表达的组织学分级依赖性变化。最后,在用DMBA处理的非转基因FVB/N小鼠中,自噬受到药理学抑制后,肛门癌发生显著增加,类似于在经DMBA处理的K14E6/E7小鼠中观察到的情况。

结论

在HPV相关的肛门癌发生早期(低度发育异常)就注意到自噬失调,而在HPV相关的肛门癌发生后期(高度发育异常和浸润性癌)自噬过程恢复正常。

https://cdn.ncbi.nlm.nih.gov/pmc/blobs/28a6/5051741/e6f2aadb0d5d/pone.0164273.g015.jpg
https://cdn.ncbi.nlm.nih.gov/pmc/blobs/28a6/5051741/5918989bec09/pone.0164273.g001.jpg
https://cdn.ncbi.nlm.nih.gov/pmc/blobs/28a6/5051741/e48bbb320f4e/pone.0164273.g002.jpg
https://cdn.ncbi.nlm.nih.gov/pmc/blobs/28a6/5051741/086bcb1821a3/pone.0164273.g003.jpg
https://cdn.ncbi.nlm.nih.gov/pmc/blobs/28a6/5051741/af82c3aa6ebb/pone.0164273.g004.jpg
https://cdn.ncbi.nlm.nih.gov/pmc/blobs/28a6/5051741/f2f3690a070c/pone.0164273.g005.jpg
https://cdn.ncbi.nlm.nih.gov/pmc/blobs/28a6/5051741/d915c40641ef/pone.0164273.g006.jpg
https://cdn.ncbi.nlm.nih.gov/pmc/blobs/28a6/5051741/a05021f03dfb/pone.0164273.g007.jpg
https://cdn.ncbi.nlm.nih.gov/pmc/blobs/28a6/5051741/a137f371b614/pone.0164273.g008.jpg
https://cdn.ncbi.nlm.nih.gov/pmc/blobs/28a6/5051741/bb91e7e93392/pone.0164273.g009.jpg
https://cdn.ncbi.nlm.nih.gov/pmc/blobs/28a6/5051741/1aa5044fb670/pone.0164273.g010.jpg
https://cdn.ncbi.nlm.nih.gov/pmc/blobs/28a6/5051741/06351934d646/pone.0164273.g011.jpg
https://cdn.ncbi.nlm.nih.gov/pmc/blobs/28a6/5051741/cef2951a2901/pone.0164273.g012.jpg
https://cdn.ncbi.nlm.nih.gov/pmc/blobs/28a6/5051741/83fc9658c431/pone.0164273.g013.jpg
https://cdn.ncbi.nlm.nih.gov/pmc/blobs/28a6/5051741/fdc6bbeeef44/pone.0164273.g014.jpg
https://cdn.ncbi.nlm.nih.gov/pmc/blobs/28a6/5051741/e6f2aadb0d5d/pone.0164273.g015.jpg
https://cdn.ncbi.nlm.nih.gov/pmc/blobs/28a6/5051741/5918989bec09/pone.0164273.g001.jpg
https://cdn.ncbi.nlm.nih.gov/pmc/blobs/28a6/5051741/e48bbb320f4e/pone.0164273.g002.jpg
https://cdn.ncbi.nlm.nih.gov/pmc/blobs/28a6/5051741/086bcb1821a3/pone.0164273.g003.jpg
https://cdn.ncbi.nlm.nih.gov/pmc/blobs/28a6/5051741/af82c3aa6ebb/pone.0164273.g004.jpg
https://cdn.ncbi.nlm.nih.gov/pmc/blobs/28a6/5051741/f2f3690a070c/pone.0164273.g005.jpg
https://cdn.ncbi.nlm.nih.gov/pmc/blobs/28a6/5051741/d915c40641ef/pone.0164273.g006.jpg
https://cdn.ncbi.nlm.nih.gov/pmc/blobs/28a6/5051741/a05021f03dfb/pone.0164273.g007.jpg
https://cdn.ncbi.nlm.nih.gov/pmc/blobs/28a6/5051741/a137f371b614/pone.0164273.g008.jpg
https://cdn.ncbi.nlm.nih.gov/pmc/blobs/28a6/5051741/bb91e7e93392/pone.0164273.g009.jpg
https://cdn.ncbi.nlm.nih.gov/pmc/blobs/28a6/5051741/1aa5044fb670/pone.0164273.g010.jpg
https://cdn.ncbi.nlm.nih.gov/pmc/blobs/28a6/5051741/06351934d646/pone.0164273.g011.jpg
https://cdn.ncbi.nlm.nih.gov/pmc/blobs/28a6/5051741/cef2951a2901/pone.0164273.g012.jpg
https://cdn.ncbi.nlm.nih.gov/pmc/blobs/28a6/5051741/83fc9658c431/pone.0164273.g013.jpg
https://cdn.ncbi.nlm.nih.gov/pmc/blobs/28a6/5051741/fdc6bbeeef44/pone.0164273.g014.jpg
https://cdn.ncbi.nlm.nih.gov/pmc/blobs/28a6/5051741/e6f2aadb0d5d/pone.0164273.g015.jpg

相似文献

1
Dysregulation of Autophagy Contributes to Anal Carcinogenesis.自噬失调促成肛管癌发生。
PLoS One. 2016 Oct 5;11(10):e0164273. doi: 10.1371/journal.pone.0164273. eCollection 2016.
2
The role of pharmacologic modulation of autophagy on anal cancer development in an HPV mouse model of carcinogenesis.自噬的药理学调节在人乳头瘤病毒致癌小鼠模型中对肛管癌发生发展的作用。
Virology. 2017 Jul;507:82-88. doi: 10.1016/j.virol.2017.04.007. Epub 2017 Apr 18.
3
Dominant role of HPV16 E7 in anal carcinogenesis.HPV16 E7 在肛门癌发生中的主导作用。
Virology. 2011 Dec 20;421(2):114-8. doi: 10.1016/j.virol.2011.09.018. Epub 2011 Oct 13.
4
A mouse model for human anal cancer.人肛门癌的小鼠模型。
Cancer Prev Res (Phila). 2010 Dec;3(12):1534-41. doi: 10.1158/1940-6207.CAPR-10-0086. Epub 2010 Oct 6.
5
Topical application of a dual PI3K/mTOR inhibitor prevents anal carcinogenesis in a human papillomavirus mouse model of anal cancer.局部应用双重 PI3K/mTOR 抑制剂可预防人乳头瘤病毒小鼠肛门癌模型中的肛门癌发生。
Eur J Cancer Prev. 2019 Nov;28(6):483-491. doi: 10.1097/CEJ.0000000000000505.
6
PI3K/mTOR inhibition prevents anal cancer in mice with established low-grade anal dysplasia.PI3K/mTOR 抑制可预防已建立的低级别肛门发育不良小鼠的肛门癌。
Exp Mol Pathol. 2022 Apr;125:104752. doi: 10.1016/j.yexmp.2022.104752. Epub 2022 Feb 18.
7
mTOR inhibition prevents rapid-onset of carcinogen-induced malignancies in a novel inducible HPV-16 E6/E7 mouse model.在一种新型的可诱导性人乳头瘤病毒16型E6/E7小鼠模型中,雷帕霉素靶蛋白(mTOR)抑制可预防致癌物诱导的恶性肿瘤的快速发生。
Carcinogenesis. 2016 Oct;37(10):1014-25. doi: 10.1093/carcin/bgw086. Epub 2016 Aug 18.
8
Topical Protease Inhibitor Decreases Anal Carcinogenesis in a Transgenic Mouse Model of HPV Anal Disease.局部蛋白酶抑制剂降低 HPV 肛门疾病转基因小鼠模型中的肛门癌发生。
Viruses. 2023 Apr 20;15(4):1013. doi: 10.3390/v15041013.
9
HPV16 induces penile intraepithelial neoplasia and squamous cell carcinoma in transgenic mice: first mouse model for HPV-related penile cancer.HPV16 诱发转基因小鼠的阴茎上皮内瘤变和鳞状细胞癌:首个 HPV 相关阴茎癌的小鼠模型。
J Pathol. 2020 Aug;251(4):411-419. doi: 10.1002/path.5475.
10
Efficacy of Topically Administered Dihydroartemisinin in Treating Papillomavirus-Induced Anogenital Dysplasia in Preclinical Mouse Models.二氢青蒿素局部给药治疗临床前小鼠模型中人乳头瘤病毒诱导的肛门生殖器发育不良的疗效。
Viruses. 2022 Jul 26;14(8):1632. doi: 10.3390/v14081632.

引用本文的文献

1
Topical Protease Inhibitor Increases Tumor-Free and Overall Survival in CD4-Depleted Mouse Model of Anal Cancer.局部蛋白酶抑制剂可提高 CD4 耗竭的肛门癌小鼠模型的无肿瘤和总生存。
Viruses. 2024 Sep 5;16(9):1421. doi: 10.3390/v16091421.
2
Topical Protease Inhibitor Decreases Anal Carcinogenesis in a Transgenic Mouse Model of HPV Anal Disease.局部蛋白酶抑制剂降低 HPV 肛门疾病转基因小鼠模型中的肛门癌发生。
Viruses. 2023 Apr 20;15(4):1013. doi: 10.3390/v15041013.
3
Systemic Delivery of a Dual PI3K/mTOR Inhibitor More Effective than Topical Delivery in Preventing Anal Carcinogenesis in an HPV Transgenic Mouse Model.

本文引用的文献

1
Comprehensive genomic profiling of anal squamous cell carcinoma reveals distinct genomically defined classes.肛门鳞状细胞癌的全面基因组分析揭示了具有明显基因组定义特征的不同类别。
Ann Oncol. 2016 Jul;27(7):1336-41. doi: 10.1093/annonc/mdw152. Epub 2016 Apr 6.
2
Interplay between unfolded protein response and autophagy promotes tumor drug resistance.未折叠蛋白反应与自噬之间的相互作用促进肿瘤耐药性。
Oncol Lett. 2015 Oct;10(4):1959-1969. doi: 10.3892/ol.2015.3508. Epub 2015 Jul 17.
3
Autophagy, Metabolism, and Cancer.自噬、代谢与癌症。
在人乳头瘤病毒转基因小鼠模型中,双PI3K/mTOR抑制剂的全身给药在预防肛门癌发生方面比局部给药更有效。
J Cancer Sci Clin Ther. 2022;6(2):157-173. doi: 10.26502/jcsct.5079153. Epub 2022 Apr 18.
4
Do or Die: HPV E5, E6 and E7 in Cell Death Evasion.非生即死:人乳头瘤病毒E5、E6和E7蛋白与细胞死亡逃逸
Pathogens. 2022 Sep 9;11(9):1027. doi: 10.3390/pathogens11091027.
5
Efficacy of Topically Administered Dihydroartemisinin in Treating Papillomavirus-Induced Anogenital Dysplasia in Preclinical Mouse Models.二氢青蒿素局部给药治疗临床前小鼠模型中人乳头瘤病毒诱导的肛门生殖器发育不良的疗效。
Viruses. 2022 Jul 26;14(8):1632. doi: 10.3390/v14081632.
6
PI3K/mTOR inhibition prevents anal cancer in mice with established low-grade anal dysplasia.PI3K/mTOR 抑制可预防已建立的低级别肛门发育不良小鼠的肛门癌。
Exp Mol Pathol. 2022 Apr;125:104752. doi: 10.1016/j.yexmp.2022.104752. Epub 2022 Feb 18.
7
Autophagy Modulation by Viral Infections Influences Tumor Development.病毒感染对自噬的调控影响肿瘤发展。
Front Oncol. 2021 Oct 22;11:743780. doi: 10.3389/fonc.2021.743780. eCollection 2021.
8
A Novel Model for Papillomavirus-Mediated Anal Disease and Cancer Using the Mouse Papillomavirus.利用小鼠乳头瘤病毒建立新型人乳头瘤病毒介导的肛门疾病和癌症模型
mBio. 2021 Aug 31;12(4):e0161121. doi: 10.1128/mBio.01611-21. Epub 2021 Jul 20.
9
HIV-1 Protease Inhibitors Slow HPV16-Driven Cell Proliferation through Targeted Depletion of Viral E6 and E7 Oncoproteins.HIV-1蛋白酶抑制剂通过靶向清除病毒E6和E7癌蛋白减缓HPV16驱动的细胞增殖。
Cancers (Basel). 2021 Feb 24;13(5):949. doi: 10.3390/cancers13050949.
10
Regulation of Autophagy in Cells Infected With Oncogenic Human Viruses and Its Impact on Cancer Development.致癌人类病毒感染细胞中自噬的调控及其对癌症发展的影响。
Front Cell Dev Biol. 2020 Feb 28;8:47. doi: 10.3389/fcell.2020.00047. eCollection 2020.
Clin Cancer Res. 2015 Nov 15;21(22):5037-46. doi: 10.1158/1078-0432.CCR-15-0490.
4
Autophagy knocked down by high-risk HPV infection and uterine cervical carcinogenesis.自噬被高危型人乳头瘤病毒感染和子宫颈癌发生所抑制。
Int J Clin Exp Med. 2015 Jul 15;8(7):10304-14. eCollection 2015.
5
High-sensitivity human papilloma virus genotyping reveals near universal positivity in anal squamous cell carcinoma: different implications for vaccine prevention and prognosis.高灵敏度人乳头瘤病毒基因分型显示肛管鳞状细胞癌几乎普遍呈阳性:对疫苗预防和预后的不同影响
Eur J Cancer. 2015 Apr;51(6):776-85. doi: 10.1016/j.ejca.2015.01.058. Epub 2015 Feb 19.
6
The role for autophagy in cancer.自噬在癌症中的作用。
J Clin Invest. 2015 Jan;125(1):42-6. doi: 10.1172/JCI73941. Epub 2015 Jan 2.
7
Modulation of autophagy-like processes by tumor viruses.肿瘤病毒对自噬样过程的调控。
Cells. 2012 Jun 25;1(3):204-47. doi: 10.3390/cells1030204.
8
Human papillomavirus infection is inhibited by host autophagy in primary human keratinocytes.人乳头瘤病毒感染被原代人角质形成细胞中的宿主自噬所抑制。
Virology. 2013 Mar 1;437(1):12-9. doi: 10.1016/j.virol.2012.12.004. Epub 2013 Jan 4.
9
Guidelines for the use and interpretation of assays for monitoring autophagy.自噬监测分析方法的使用和解读指南
Autophagy. 2012 Apr;8(4):445-544. doi: 10.4161/auto.19496.
10
A mouse model for human anal cancer.人肛门癌的小鼠模型。
Cancer Prev Res (Phila). 2010 Dec;3(12):1534-41. doi: 10.1158/1940-6207.CAPR-10-0086. Epub 2010 Oct 6.