Suppr超能文献

一例肺炎患者肺部计算机断层扫描出现树芽征的罕见病因——首例临床病例报告及印度文献综述

an unusual cause of tree-in-bud pattern in a case of pneumonia on lung computed tomographic scan-first clinical case report and review of the literature from India.

作者信息

Dawar R, Nagarjuna D, Gupta R, Ghonge N P, Sardana R

机构信息

Department of Microbiology, India.

Ambedkar Centre for Biomedical Research (ACBR), University of Delhi, Delhi, India.

出版信息

New Microbes New Infect. 2016 Sep 10;14:69-72. doi: 10.1016/j.nmni.2016.09.005. eCollection 2016 Nov.

Abstract

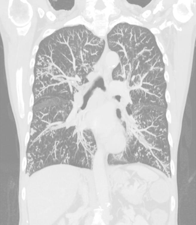
A 62-year-old man with asthma sought care for intermittent fever, cough with expectoration, breathlessness and orthopnoea with grunting. Computed tomography revealed clusters of centrilobular nodules on both sides with a tree-in-bud appearance and mild diffuse bronchial wall thickening. Sputum sample grew pure colonies of which was confirmed by MALDI-TOF and 16SrRNA gene sequencing. A. ureae may be an additional bacteriologic causative agent of the tree-in-bud pattern on computed tomographic scan.

摘要

一名62岁的哮喘男性因间歇性发热、咳痰咳嗽、呼吸急促和端坐呼吸伴呼噜声前来就诊。计算机断层扫描显示双侧有小叶中心结节簇,呈树芽征,伴有轻度弥漫性支气管壁增厚。痰标本培养出纯菌落,经基质辅助激光解吸电离飞行时间质谱(MALDI-TOF)和16SrRNA基因测序证实。脲原体可能是计算机断层扫描上树芽征模式的另一种细菌病原体。

https://cdn.ncbi.nlm.nih.gov/pmc/blobs/217b/5061073/9f0866c01c56/gr1.jpg

相似文献

2
4
6
Early-stage diffuse panbronchiolitis in a young patient confirmed by video-assisted lung biopsy: A case report.
J Gen Fam Med. 2017 May 8;18(6):411-413. doi: 10.1002/jgf2.80. eCollection 2017 Dec.
8
[Actinobacillus ureae meningitis. Apropos of a case].
Pathol Biol (Paris). 1989 Dec;37(10):1099-101.
9
Chronic eosinophilic pneumonia with endobronchial involvement.
J Bronchology Interv Pulmonol. 2011 Jul;18(3):285-7. doi: 10.1097/LBR.0b013e318222a05d.
10
Severe Actinobacillus ureae meningitis in an immunocompromised patient: report of one case and review of the literature.
Scand J Infect Dis. 2007;39(11-12):1076-9. doi: 10.1080/00365540701558755. Epub 2007 Aug 6.

本文引用的文献

1
Acute conjunctivitis caused by Actinobacillus ureae.
Pediatr Int. 2007 Jun;49(3):412-3. doi: 10.1111/j.1442-200X.2007.02365.x.
2
Tree-in-bud pattern at thin-section CT of the lungs: radiologic-pathologic overview.
Radiographics. 2005 May-Jun;25(3):789-801. doi: 10.1148/rg.253045115.
3
Two new strains of Pasteurella haemolytica var. ureae isolated from the respiratory tract.
Acta Pathol Microbiol Scand. 1961;53:117-20. doi: 10.1111/j.1699-0463.1961.tb00391.x.
4
Pasteurella haemolytica var. ureae from human sputum.
J Clin Pathol. 1962 May;15(3):247-8. doi: 10.1136/jcp.15.3.247.
5
A new variety of Pasteurella haemolytica from the human respiratory tract.
Acta Pathol Microbiol Scand. 1960;50:443. doi: 10.1111/j.1699-0463.1960.tb01213.x.
6
Clinical significance and taxonomy of Actinobacillus hominis.
J Clin Microbiol. 2001 Mar;39(3):930-5. doi: 10.1128/JCM.39.3.930-935.2001.
7
Bone marrow infection caused by Actinobacillus ureae in a rheumatoid arthritis patient.
J Infect. 1997 Nov;35(3):298-9. doi: 10.1016/s0163-4453(97)93308-9.
8
Actinobacillus ureae meningitis: case report and review of the literature.
J Emerg Med. 1995 Sep-Oct;13(5):623-7. doi: 10.1016/0736-4679(95)00066-j.
9
Actinobacillus (Pasteurella) ureae meningitis in a HIV-positive patient.
Diagn Microbiol Infect Dis. 1994 Oct;20(2):105-7. doi: 10.1016/0732-8893(94)90100-7.
10
Pasteurella ureae septicaemia. A case report.
S Afr Med J. 1981 Jan 10;59(2):53-4.

文献AI研究员

20分钟写一篇综述,助力文献阅读效率提升50倍。

立即体验

用中文搜PubMed

大模型驱动的PubMed中文搜索引擎

马上搜索

文档翻译

学术文献翻译模型,支持多种主流文档格式。

立即体验