• 文献检索
  • 文档翻译
  • 深度研究
  • 学术资讯
  • Suppr Zotero 插件Zotero 插件
  • 邀请有礼
  • 套餐&价格
  • 历史记录
应用&插件
Suppr Zotero 插件Zotero 插件浏览器插件Mac 客户端Windows 客户端微信小程序
定价
高级版会员购买积分包购买API积分包
服务
文献检索文档翻译深度研究API 文档MCP 服务
关于我们
关于 Suppr公司介绍联系我们用户协议隐私条款
关注我们

Suppr 超能文献

核心技术专利:CN118964589B侵权必究
粤ICP备2023148730 号-1Suppr @ 2026

文献检索

告别复杂PubMed语法,用中文像聊天一样搜索,搜遍4000万医学文献。AI智能推荐,让科研检索更轻松。

立即免费搜索

文件翻译

保留排版,准确专业,支持PDF/Word/PPT等文件格式,支持 12+语言互译。

免费翻译文档

深度研究

AI帮你快速写综述,25分钟生成高质量综述,智能提取关键信息,辅助科研写作。

立即免费体验

在一种新的骨坏死模型中使用放射性示踪剂对骨植入物活力进行功能研究。

Functional investigation of bone implant viability using radiotracers in a new model of osteonecrosis.

作者信息

Schiper Luis, Faintuch Bluma Linkowski, Badaró Roberto José da Silva, Oliveira Erica Aparecida de, Chavez Victor E Arana, Chinen Elisangela, Faintuch Joel

机构信息

Universidade Federal da Bahia, Faculdade de Medicina, Departamento de Ortopedia, Bahia/BA, Brazil.

Instituto de Energia e Pesquisa Nuclear, Centro de Radiofarmácia, São Paulo/SP, Brazil.

出版信息

Clinics (Sao Paulo). 2016 Oct 1;71(10):617-625. doi: 10.6061/clinics/2016(10)11.

DOI:10.6061/clinics/2016(10)11
PMID:27759852
原文链接:https://pmc.ncbi.nlm.nih.gov/articles/PMC5059423/
Abstract

OBJECTIVES

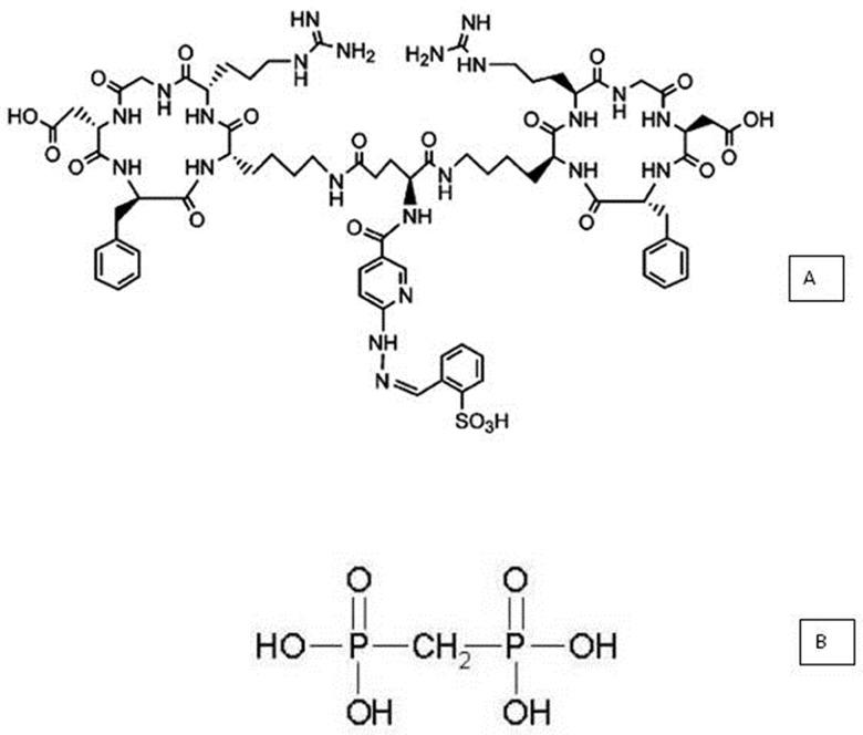
: Conventional imaging methods are excellent for the morphological characterization of the consequences of osteonecrosis; however, only specialized techniques have been considered useful for obtaining functional information. To explore the affinity of radiotracers for severely devascularized bone, a new mouse model of isolated femur implanted in a subcutaneous abdominal pocket was devised. To maintain animal mobility and longevity, the femur was harvested from syngeneic donors. Two technetium-99m-labeled tracers targeting angiogenesis and bone matrix were selected.

METHODS

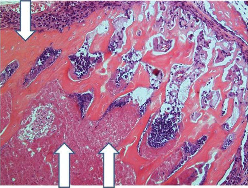
: Medronic acid and a homodimer peptide conjugated with RGDfK were radiolabeled with technetium-99m, and biodistribution was evaluated in Swiss mice. The grafted and control femurs were evaluated after 15, 30 and 60 days, including computed tomography (CT) and histological analysis.

RESULTS

: Radiolabeling achieved high (>95%) radiochemical purity. The biodistribution confirmed good blood clearance 1 hour after administration. For 99mTc-hydrazinonicotinic acid (HYNIC)-E-[c(RGDfK)2, remarkable renal excretion was observed compared to 99mTc-methylene diphosphonate (MDP), but the latter, as expected, revealed higher bone uptake. The results obtained in the control femur were equal at all time points. In the implanted femur, 99mTc-HYNIC-E-[c(RGDfK)2 uptake was highest after 15 days, consistent with early angiogenesis. Regarding 99mTc-MDP in the implant, similar uptake was documented at all time points, consistent with sustained bone viability; however, the uptake was lower than that detected in the control femur, as confirmed by histology.

CONCLUSIONS

: 1) Graft viability was successfully diagnosed using radiotracers in severely ischemic bone at all time points. 2) Analogously, indirect information about angiogenesis could be gathered using 999mTc-HYNIC-E-[c(RGDfK)2. 3) These techniques appear promising and warrant further studies to determine their potential clinical applications.

摘要

目的

传统成像方法在骨坏死后果的形态学特征描述方面表现出色;然而,只有专门技术才被认为对获取功能信息有用。为了探究放射性示踪剂对严重缺血骨的亲和力,设计了一种将分离的股骨植入腹部皮下袋的新型小鼠模型。为了维持动物的活动能力和寿命,股骨取自同基因供体。选择了两种靶向血管生成和骨基质的锝-99m标记示踪剂。

方法

用锝-99m对亚甲基二膦酸和与RGDfK偶联的同二聚体肽进行放射性标记,并在瑞士小鼠中评估其生物分布。在15、30和60天后对移植的股骨和对照股骨进行评估,包括计算机断层扫描(CT)和组织学分析。

结果

放射性标记实现了高(>95%)放射化学纯度。生物分布证实给药1小时后血液清除良好。与锝-99m亚甲基二膦酸盐(MDP)相比,对于锝-99m-肼基烟酸(HYNIC)-E-[c(RGDfK)2],观察到显著的肾脏排泄,但正如预期的那样,后者显示出更高的骨摄取。在所有时间点,对照股骨获得的结果均相同。在植入的股骨中,锝-99m-HYNIC-E-[c(RGDfK)2]摄取在15天后最高,这与早期血管生成一致。关于植入物中的锝-99m-MDP,在所有时间点记录到相似的摄取,这与持续的骨活力一致;然而,如组织学所证实的,其摄取低于对照股骨中检测到的摄取。

结论

1)使用放射性示踪剂在所有时间点成功诊断了严重缺血骨中的移植活力。2)类似地,使用锝-99m-HYNIC-E-[c(RGDfK)2]可以收集有关血管生成的间接信息。3)这些技术似乎很有前景,值得进一步研究以确定其潜在的临床应用。

https://cdn.ncbi.nlm.nih.gov/pmc/blobs/39fb/5059423/185b9d69295b/cln-71-10-617-g012.jpg
https://cdn.ncbi.nlm.nih.gov/pmc/blobs/39fb/5059423/57ca73267e2b/cln-71-10-617-g001.jpg
https://cdn.ncbi.nlm.nih.gov/pmc/blobs/39fb/5059423/3e57c0934a7d/cln-71-10-617-g002.jpg
https://cdn.ncbi.nlm.nih.gov/pmc/blobs/39fb/5059423/19cf64325183/cln-71-10-617-g003.jpg
https://cdn.ncbi.nlm.nih.gov/pmc/blobs/39fb/5059423/7481641d10fd/cln-71-10-617-g004.jpg
https://cdn.ncbi.nlm.nih.gov/pmc/blobs/39fb/5059423/a380ef847a47/cln-71-10-617-g005.jpg
https://cdn.ncbi.nlm.nih.gov/pmc/blobs/39fb/5059423/289a9a378633/cln-71-10-617-g006.jpg
https://cdn.ncbi.nlm.nih.gov/pmc/blobs/39fb/5059423/1178e3c4afbc/cln-71-10-617-g007.jpg
https://cdn.ncbi.nlm.nih.gov/pmc/blobs/39fb/5059423/96519b6223b2/cln-71-10-617-g008.jpg
https://cdn.ncbi.nlm.nih.gov/pmc/blobs/39fb/5059423/5a3486a65f17/cln-71-10-617-g009.jpg
https://cdn.ncbi.nlm.nih.gov/pmc/blobs/39fb/5059423/c68deaa322b1/cln-71-10-617-g010.jpg
https://cdn.ncbi.nlm.nih.gov/pmc/blobs/39fb/5059423/37cfbb63b22f/cln-71-10-617-g011.jpg
https://cdn.ncbi.nlm.nih.gov/pmc/blobs/39fb/5059423/185b9d69295b/cln-71-10-617-g012.jpg
https://cdn.ncbi.nlm.nih.gov/pmc/blobs/39fb/5059423/57ca73267e2b/cln-71-10-617-g001.jpg
https://cdn.ncbi.nlm.nih.gov/pmc/blobs/39fb/5059423/3e57c0934a7d/cln-71-10-617-g002.jpg
https://cdn.ncbi.nlm.nih.gov/pmc/blobs/39fb/5059423/19cf64325183/cln-71-10-617-g003.jpg
https://cdn.ncbi.nlm.nih.gov/pmc/blobs/39fb/5059423/7481641d10fd/cln-71-10-617-g004.jpg
https://cdn.ncbi.nlm.nih.gov/pmc/blobs/39fb/5059423/a380ef847a47/cln-71-10-617-g005.jpg
https://cdn.ncbi.nlm.nih.gov/pmc/blobs/39fb/5059423/289a9a378633/cln-71-10-617-g006.jpg
https://cdn.ncbi.nlm.nih.gov/pmc/blobs/39fb/5059423/1178e3c4afbc/cln-71-10-617-g007.jpg
https://cdn.ncbi.nlm.nih.gov/pmc/blobs/39fb/5059423/96519b6223b2/cln-71-10-617-g008.jpg
https://cdn.ncbi.nlm.nih.gov/pmc/blobs/39fb/5059423/5a3486a65f17/cln-71-10-617-g009.jpg
https://cdn.ncbi.nlm.nih.gov/pmc/blobs/39fb/5059423/c68deaa322b1/cln-71-10-617-g010.jpg
https://cdn.ncbi.nlm.nih.gov/pmc/blobs/39fb/5059423/37cfbb63b22f/cln-71-10-617-g011.jpg
https://cdn.ncbi.nlm.nih.gov/pmc/blobs/39fb/5059423/185b9d69295b/cln-71-10-617-g012.jpg

相似文献

1
Functional investigation of bone implant viability using radiotracers in a new model of osteonecrosis.在一种新的骨坏死模型中使用放射性示踪剂对骨植入物活力进行功能研究。
Clinics (Sao Paulo). 2016 Oct 1;71(10):617-625. doi: 10.6061/clinics/2016(10)11.
2
Kit preparation and biokinetics in women of 99mTc-EDDA/HYNIC-E-[c(RGDfK)]2 for breast cancer imaging.用于乳腺癌成像的99mTc-EDDA/HYNIC-E-[c(RGDfK)]2在女性中的试剂盒制备及生物动力学研究
Nucl Med Commun. 2014 Apr;35(4):423-32. doi: 10.1097/MNM.0000000000000065.
3
Development of a novel 99mTc-chelate-conjugated bisphosphonate with high affinity for bone as a bone scintigraphic agent.开发一种对骨具有高亲和力的新型99mTc螯合物共轭双膦酸盐作为骨闪烁显像剂。
J Nucl Med. 2006 Dec;47(12):2042-7.
4
Evaluation of a (99m)Tc-labeled cyclic RGD tetramer for noninvasive imaging integrin alpha(v)beta3-positive breast cancer.用于无创成像整合素α(v)β3阳性乳腺癌的(99m)Tc标记环状RGD四聚体的评估
Bioconjug Chem. 2007 Mar-Apr;18(2):438-46. doi: 10.1021/bc0603081. Epub 2007 Mar 7.
5
Multimeric system of 99mTc-labeled gold nanoparticles conjugated to c[RGDfK(C)] for molecular imaging of tumor α(v)β(3) expression.99mTc 标记的金纳米粒子与 c[RGDfK(C)] 连接的多聚体系统用于肿瘤 α(v)β(3) 表达的分子成像。
Bioconjug Chem. 2011 May 18;22(5):913-22. doi: 10.1021/bc100551s. Epub 2011 May 3.
6
Evaluation of 99mTc-labeled cyclic RGD dimers: impact of cyclic RGD peptides and 99mTc chelates on biological properties.99mTc 标记的环状 RGD 二聚体的评价:环状 RGD 肽和 99mTc 螯合物对生物学性质的影响。
Bioconjug Chem. 2012 Mar 21;23(3):586-95. doi: 10.1021/bc200631g. Epub 2012 Mar 6.
7
Effect of coligands on biodistribution characteristics of ternary ligand 99mTc complexes of a HYNIC-conjugated cyclic RGDfK dimer.共配体对HYNIC共轭环RGDfK二聚体的三元配体99mTc配合物生物分布特性的影响
Bioconjug Chem. 2005 Nov-Dec;16(6):1580-8. doi: 10.1021/bc0501653.
8
[99mTc]cFLFLF for Early Diagnosis and Therapeutic Evaluation in a Rat Model of Acute Osteomyelitis.用于急性骨髓炎大鼠模型早期诊断与治疗评估的[99mTc]cFLFLF
Mol Imaging Biol. 2015 Jun;17(3):337-44. doi: 10.1007/s11307-014-0787-3.
9
Radiolabeling and biological evaluation of the GX1 and RGD-GX1 peptide sequence for angiogenesis targeting.用于血管生成靶向的GX1和RGD-GX1肽序列的放射性标记及生物学评价
Nucl Med Biol. 2015 Feb;42(2):123-30. doi: 10.1016/j.nucmedbio.2014.09.004. Epub 2014 Sep 28.
10
Evaluation of GX1 and RGD-GX1 peptides as new radiotracers for angiogenesis evaluation in experimental glioma models.评估GX1和RGD-GX1肽作为新型放射性示踪剂在实验性胶质瘤模型中用于血管生成评估的情况。
Amino Acids. 2016 Mar;48(3):821-831. doi: 10.1007/s00726-015-2130-y. Epub 2015 Nov 23.

引用本文的文献

1
Effects of bone cement filling in rabbit proximal femoral medullary cavity on distal femoral blood flow and metabolism.骨水泥填充兔股骨近端髓腔对股骨远端血流及代谢的影响。
J Int Med Res. 2018 Dec;46(12):5237-5244. doi: 10.1177/0300060518802717. Epub 2018 Oct 14.

本文引用的文献

1
VIABILITY OF VASCULARIZED BONE GRAFT FROM THE ILIAC CREST USING THE ILIAC BRANCH OF THE ILIOLUMBAR ARTERY: EXPERIMENTAL STUDY ON RATS.利用髂腰动脉髂支制备带血管蒂髂嵴骨移植体的可行性:大鼠实验研究
Rev Bras Ortop. 2015 Dec 6;47(3):375-80. doi: 10.1016/S2255-4971(15)30115-4. eCollection 2012 May-Jun.
2
Technetium-99m-methylene Diphosphonate Uptake in Hepatic Necrosis Secondary to Respiratory Failure.呼吸衰竭继发肝坏死中锝-99m-亚甲基二膦酸盐摄取情况
World J Nucl Med. 2013 Sep;12(3):116-9. doi: 10.4103/1450-1147.136736.
3
Bone microstructure and regional distribution of osteoblast and osteoclast activity in the osteonecrotic femoral head.
股骨头坏死中骨的微观结构和破骨细胞和成骨细胞活性的区域性分布。
PLoS One. 2014 May 6;9(5):e96361. doi: 10.1371/journal.pone.0096361. eCollection 2014.
4
Accuracy of peri-implant bone evaluation using cone beam CT, digital intra-oral radiographs and histology.使用锥形束 CT、数字化口腔内放射影像和组织学评估种植体周围骨的准确性。
Dentomaxillofac Radiol. 2014;43(6):20130088. doi: 10.1259/dmfr.20130088. Epub 2014 May 2.
5
Histopathology of subcutaneously preserved autologous bone flap after decompressive craniectomy: a prospective study.去骨瓣减压术后皮下保存自体骨瓣的组织病理学:一项前瞻性研究。
Acta Neurochir (Wien). 2014 Jul;156(7):1369-73. doi: 10.1007/s00701-014-2071-3. Epub 2014 Apr 22.
6
Coupling the activities of bone formation and resorption: a multitude of signals within the basic multicellular unit.骨形成与吸收活动的耦合:基本多细胞单位内的多种信号
Bonekey Rep. 2014 Jan 8;3:481. doi: 10.1038/bonekey.2013.215.
7
Development of RGD-based radiotracers for tumor imaging and therapy: translating from bench to bedside.基于 RGD 的放射性示踪剂用于肿瘤成像和治疗的研究进展:从实验室到临床。
Curr Mol Med. 2013 Dec;13(10):1487-505. doi: 10.2174/1566524013666131111115347.
8
Evaluation of deoxyribonucleic acid toxicity induced by the radiopharmaceutical 99mTechnetium-Methylenediphosphonic acid and by stannous chloride in Wistar rats.评估放射性药物 99m 锝-亚甲基二膦酸盐和氯化亚锡在 Wistar 大鼠中诱导的脱氧核糖核酸毒性。
Molecules. 2012 Nov 1;17(11):12974-83. doi: 10.3390/molecules171112974.
9
Definition of bone necrosis by the pathologist.病理学家对骨坏死的定义。
Clin Cases Miner Bone Metab. 2007 Jan;4(1):21-6.
10
Imaging technologies for preclinical models of bone and joint disorders.骨与关节疾病的临床前模型的影像学技术。
EJNMMI Res. 2011 Jul 29;1(1):11. doi: 10.1186/2191-219X-1-11.