Suppr超能文献

从肥厚型心肌病到扩张型心肌病的可逆转变。

Reversible transition from a hypertrophic to a dilated cardiomyopathy.

作者信息

Spillmann Frank, Kühl Uwe, Van Linthout Sophie, Dominguez Fernando, Escher Felicitas, Schultheiss Heinz-Peter, Pieske Burkert, Tschöpe Carsten

机构信息

Department of Cardiology Charité-University Medicine of Berlin, Campus Virchow Klinikum Berlin Germany.

Berlin-Brandenburg Center for Regenerative Therapies (BCRT)Charité-University Medicine of Berlin, Campus Virchow KlinikumBerlinGermany; Deutsches Zentrum für Herz-Kreislaufforschung (DZHK)-Standort Berlin/CharitéBerlinGermany.

出版信息

ESC Heart Fail. 2016 Jun;3(2):138-142. doi: 10.1002/ehf2.12072. Epub 2015 Dec 9.

Abstract

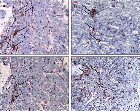
We report the case of a 17-year-old female patient with known hypertrophic cardiomyopathy and a Wolff-Parkinson-White syndrome. She came to our department for further evaluation of a new diagnosed dilated cardiomyopathy characterized by an enlargement of the left ventricle and a fall in ejection fraction. Clinically, she complained about atypical chest pain, arrhythmic episodes with presyncopal events, and dyspnea (NYHA III) during the last 6 months. Non-invasive and invasive examinations including magnetic resonance imaging, electrophysiological examinations, and angiography did not lead to a conclusive diagnosis. Therefore, endomyocardial biopsies (EMBs) were taken to investigate whether a specific myocardial disease caused the impairment of the left ventricular function. EMB analysis resulted in the diagnosis of a virus-negative, active myocarditis. Based on this diagnosis, an immunosuppressive treatment with prednisolone and azathioprine was started, which led to an improvement of cardiac function and symptoms within 3 months after initiating therapy. In conclusion, we show that external stress triggered by myocarditis can induce a reversible transition from a hypertrophic cardiomyopathy to a dilated cardiomyopathy phenotype. This case strongly underlines the need for a thorough and invasive examination of heart failure of unknown causes, including EMB investigations as recommend by the actual ESC position statement.

摘要

我们报告了一例17岁女性患者,她患有肥厚型心肌病和预激综合征。她因新诊断的扩张型心肌病前来我院进一步评估,其特征为左心室扩大和射血分数下降。临床上,她在过去6个月中出现非典型胸痛、伴有晕厥前期事件的心律失常发作以及呼吸困难(纽约心脏协会III级)。包括磁共振成像、电生理检查和血管造影在内的非侵入性和侵入性检查均未得出明确诊断。因此,进行了心内膜心肌活检(EMB),以调查是否存在特定的心肌疾病导致左心室功能受损。EMB分析诊断为病毒阴性的活动性心肌炎。基于这一诊断,开始使用泼尼松龙和硫唑嘌呤进行免疫抑制治疗,治疗开始后3个月内心脏功能和症状得到改善。总之,我们表明心肌炎引发的外部应激可诱导从肥厚型心肌病到扩张型心肌病表型的可逆转变。该病例强烈强调了对病因不明的心力衰竭进行全面和侵入性检查的必要性,包括按照欧洲心脏病学会(ESC)现行立场声明的建议进行EMB检查。

https://cdn.ncbi.nlm.nih.gov/pmc/blobs/be21/5746994/157101c2968c/EHF2-3-138-g001.jpg

相似文献

1
Reversible transition from a hypertrophic to a dilated cardiomyopathy.
ESC Heart Fail. 2016 Jun;3(2):138-142. doi: 10.1002/ehf2.12072. Epub 2015 Dec 9.
4
[Clinical picture and differential diagnosis of cardiomyopathy and myocarditis].
Med Klin (Munich). 1998 Apr 15;93(4):236-9. doi: 10.1007/BF03044799.
6
Left ventricular hypertrophy diagnosed after a stroke: a case report.
J Med Case Rep. 2018 Mar 22;12(1):76. doi: 10.1186/s13256-018-1592-4.
7
An unusual case of severe myocarditis in a genetic cardiomyopathy: a case report.
Eur Heart J Case Rep. 2020 Jun 9;4(4):1-7. doi: 10.1093/ehjcr/ytaa124. eCollection 2020 Aug.
8
Diagnosis and immunosuppressive treatment of inflammatory cardiomyopathy: a case report.
Acta Clin Belg. 2021 Oct;76(5):415-419. doi: 10.1080/17843286.2020.1747714. Epub 2020 Apr 1.

引用本文的文献

1
Dilated cardiomyopathy mutation in beta-cardiac myosin enhances actin activation of the power stroke and phosphate release.
PNAS Nexus. 2024 Jul 16;3(8):pgae279. doi: 10.1093/pnasnexus/pgae279. eCollection 2024 Aug.

本文引用的文献

3
Diagnostic performance of CMR imaging compared with EMB in patients with suspected myocarditis.
JACC Cardiovasc Imaging. 2012 May;5(5):513-24. doi: 10.1016/j.jcmg.2011.11.022.
5
Shared genetic causes of cardiac hypertrophy in children and adults.
N Engl J Med. 2008 May 1;358(18):1899-908. doi: 10.1056/NEJMoa075463. Epub 2008 Apr 9.
6
Reversibility of PRKAG2 glycogen-storage cardiomyopathy and electrophysiological manifestations.
Circulation. 2008 Jan 15;117(2):144-54. doi: 10.1161/CIRCULATIONAHA.107.726752. Epub 2007 Dec 24.
8
Myocarditis in hypertrophic cardiomyopathy patients presenting acute clinical deterioration.
Eur Heart J. 2007 Mar;28(6):733-40. doi: 10.1093/eurheartj/ehl525. Epub 2007 Feb 19.
9
Prevalence, clinical profile, and significance of left ventricular remodeling in the end-stage phase of hypertrophic cardiomyopathy.
Circulation. 2006 Jul 18;114(3):216-25. doi: 10.1161/CIRCULATIONAHA.105.583500. Epub 2006 Jul 10.

文献AI研究员

20分钟写一篇综述,助力文献阅读效率提升50倍。

立即体验

用中文搜PubMed

大模型驱动的PubMed中文搜索引擎

马上搜索

文档翻译

学术文献翻译模型,支持多种主流文档格式。

立即体验