Suppr超能文献

醛缩酶B(ALDOB)的下调与胃癌患者的不良预后相关。

Downregulation of ALDOB is associated with poor prognosis of patients with gastric cancer.

作者信息

He Jun, Jin Yi, Chen Yuan, Yao Hai-Bo, Xia Ying-Jie, Ma Ying-Yu, Wang Wei, Shao Qin-Shu

机构信息

Department of Gastroenterology and Pancreatic Surgery.

Department of Pathology.

出版信息

Onco Targets Ther. 2016 Oct 7;9:6099-6109. doi: 10.2147/OTT.S110203. eCollection 2016.

Abstract

OBJECTIVES

To examine the expression of ALDOB in gastric cancer (GC) tissue and to reveal its potential clinicopathological and prognostic significance.

MATERIALS AND METHODS

We screened for genes that were differentially expressed between GC and nontumor tissues using a microarray, specifically the Affymetrix U133 Plus 2.0 Array platform. We then verified the transcriptional and translational levels of ALDOB by performing quantitative real-time polymerase chain reaction (qRT-PCR) and immunohistochemistry (IHC). In addition, a merged data set based on the Gene Expression Omnibus was generated and a survival analysis performed.

RESULTS

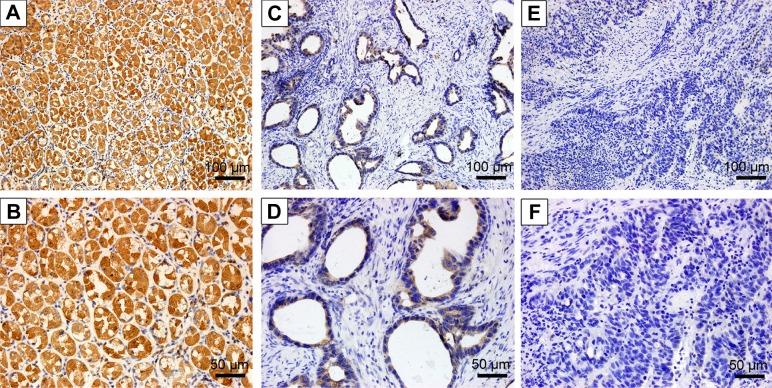
The microarray analysis revealed that was downregulated (more than sevenfold) in GC compared with nontumor tissue. Both qRT-PCR and IHC validated the decrease of ALDOB in GC tissue. Moreover, we found that the expression of ALDOB was significantly related to tumor-invasion depth, lymph-node metastasis, distant metastasis, and TNM stage. The survival analysis, based on the IHC and merged data set, indicated that the overall survival was better in patients with high ALDOB expression. The Cox regression analysis showed that ALDOB expression was an independent prognostic factor for GC.

CONCLUSION

The expression of ALDOB in GC tissue was significantly related to the clinicopathological features and prognosis of the disease, thus suggesting that ALDOB could act as a novel molecular marker for GC.

摘要

目的

检测醛缩酶B(ALDOB)在胃癌(GC)组织中的表达,并揭示其潜在的临床病理及预后意义。

材料与方法

我们使用微阵列,特别是Affymetrix U133 Plus 2.0阵列平台,筛选了GC组织与非肿瘤组织之间差异表达的基因。然后,我们通过定量实时聚合酶链反应(qRT-PCR)和免疫组织化学(IHC)验证了ALDOB的转录和翻译水平。此外,基于基因表达综合数据库生成了一个合并数据集,并进行了生存分析。

结果

微阵列分析显示,与非肿瘤组织相比,GC中ALDOB下调(超过7倍)。qRT-PCR和IHC均证实GC组织中ALDOB减少。此外,我们发现ALDOB的表达与肿瘤浸润深度、淋巴结转移、远处转移和TNM分期显著相关。基于IHC和合并数据集的生存分析表明,ALDOB高表达患者的总生存期更好。Cox回归分析表明,ALDOB表达是GC的独立预后因素。

结论

GC组织中ALDOB的表达与该疾病的临床病理特征和预后显著相关,因此表明ALDOB可作为GC的一种新型分子标志物。

https://cdn.ncbi.nlm.nih.gov/pmc/blobs/9b84/5065259/09bf74d8fa0e/ott-9-6099Fig1.jpg

文献AI研究员

20分钟写一篇综述,助力文献阅读效率提升50倍。

立即体验

用中文搜PubMed

大模型驱动的PubMed中文搜索引擎

马上搜索

文档翻译

学术文献翻译模型,支持多种主流文档格式。

立即体验