Suppr超能文献

急性病毒感染性咽炎、黄疸型肝炎、非结石性胆囊炎及皮疹的复杂病程

A Complicated Course of Acute Viral Induced Pharyngitis, Icteric Hepatitis, Acalculous Cholecystitis, and Skin Rash.

作者信息

Sheybani Fereshte, Naderi HamidReza, Erfani Seddigheh Sadat, Gharib Masoumeh

机构信息

Department of Infectious Diseases, Faculty of Medicine, Mashhad University of Medical Sciences, Mashhad, Iran.

Department of Pathology, Faculty of Medicine, Mashhad University of Medical Sciences, Mashhad, Iran.

出版信息

Case Rep Med. 2016;2016:6796094. doi: 10.1155/2016/6796094. Epub 2016 Oct 26.

Abstract

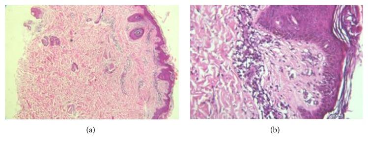
This case reveals the complexities and challenges in the diagnosis of acute Epstein-Barr virus (EBV) infection, indicating the potential relationship between EBV infection and severe icteric hepatitis, acalculous cholecystitis, and lymphocytic vasculitis. We suggest including EBV infectious mononucleosis in the list of differential diagnoses when any of these clinical syndromes (or a combination thereof) occurs without apparent cause, especially in the presence of lymphocytosis. To our knowledge, this is the first report to suggest the possible role of EBV in the pathogenesis of cutaneous lymphocytic vasculitis. Also it is possible that EBV infection triggered the flare-up of the underlying rheumatologic disease. Therefore, it could be assumed that a part of the clinical syndrome (e.g., dermatologic manifestations) might be related to the flare-up of the underlying rheumatologic disease.

摘要

该病例揭示了急性爱泼斯坦-巴尔病毒(EBV)感染诊断中的复杂性和挑战,表明EBV感染与严重黄疸型肝炎、无结石性胆囊炎和淋巴细胞性血管炎之间可能存在关联。我们建议,当出现任何这些无明显病因的临床综合征(或其组合)时,尤其是存在淋巴细胞增多的情况下,在鉴别诊断清单中纳入EBV感染性单核细胞增多症。据我们所知,这是首份提示EBV在皮肤淋巴细胞性血管炎发病机制中可能作用的报告。此外,EBV感染也有可能引发了潜在风湿性疾病的发作。因此,可以假定部分临床综合征(如皮肤表现)可能与潜在风湿性疾病的发作有关。

https://cdn.ncbi.nlm.nih.gov/pmc/blobs/11cf/5101376/a378b45aa1ff/CRIM2016-6796094.001.jpg

文献AI研究员

20分钟写一篇综述,助力文献阅读效率提升50倍。

立即体验

用中文搜PubMed

大模型驱动的PubMed中文搜索引擎

马上搜索

文档翻译

学术文献翻译模型,支持多种主流文档格式。

立即体验