Suppr超能文献

颈椎和胸椎双脊柱后凸畸形的侏儒,与齿状突发育不全无关:手术治疗

Dwarf with dual spinal kyphotic deformity at the cervical and dorsal spine unassociated with odontoid hypoplasia: Surgical management.

作者信息

Satyarthee Guru Dutta, Mankotia Dipanker Singh

机构信息

Department of Neurosurgery, All Institute of Medical Sciences, New Delhi, India.

出版信息

J Pediatr Neurosci. 2016 Jul-Sep;11(3):237-240. doi: 10.4103/1817-1745.193370.

Abstract

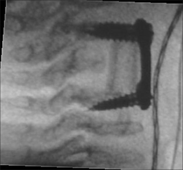
Morquio's syndrome is associated with systemic skeletal hypoplasia leading to generalized skeletal deformation. The hypoplasia of odontoid process is frequent association, which is responsible for atlantoaxial dislocation causing compressive myelopathy. However, development of sub-axial cervical kyphotic deformity unassociated with odontoid hypoplasia is extremely rare, and coexistence of dorsal kyphotic deformity is not reported in the western literature till date and represents first case. Current case is 16-year-old boy, who presented with severe kyphotic deformity of cervical spine with spastic quadriparesis. Interestingly, he also had additional asymptomatic kyphotic deformity of dorsal spine; however, odontoid proves hypoplasia was not observed. He was only symptomatic for cervical compression, accordingly surgery was planned. The patient was planned for correction of cervical kyphotic deformity under general anesthesia, underwent fourth cervical corpectomy with resection of posterior longitudinal ligament and fusion with autologous bone graft derived from right fibula, which was refashioned approximating to the width of the corpectomy size after harvesting and fixed between C3 and C5 vertebral bodies and further secured with anterior cervical plating. He tolerated surgical procedure well with improvement in power with significant reduction in spasticity. Postoperative X-ray, cervical spine revealed complete correction of kyphotic deformity cervical spine. At follow-up 6 months following surgery, he is doing well. Successful surgical correction of symptomatic cervical kyphotic deformity can be achieved utilizing anterior cervical corpectomy, autologous fibular bone graft, and anterior cervical plating.

摘要

黏多糖贮积症Ⅳ型与全身性骨骼发育不全相关,可导致全身骨骼变形。齿状突发育不全是常见的伴发情况,可导致寰枢椎脱位,引起压迫性脊髓病。然而,颈椎下颈椎后凸畸形的发生与齿状突发育不全无关,极为罕见,西方文献至今未报道过伴有胸椎后凸畸形的病例,本病例为首例。本例患者为一名16岁男孩,表现为颈椎严重后凸畸形伴痉挛性四肢瘫。有趣的是,他还伴有胸椎无症状性后凸畸形;然而,未观察到齿状突发育不全。他仅表现为颈椎受压症状,因此计划进行手术。患者计划在全身麻醉下矫正颈椎后凸畸形,接受了第四颈椎椎体次全切除术,切除后纵韧带,并采用取自右腓骨的自体骨移植进行融合,腓骨在获取后重新塑形,使其宽度接近椎体次全切除的尺寸,固定于C3和C5椎体之间,并进一步用颈椎前路钢板固定。他对手术耐受良好,肌力有所改善,痉挛明显减轻。术后颈椎X线显示颈椎后凸畸形完全矫正。术后6个月随访时,他恢复良好。利用颈椎前路椎体次全切除术、自体腓骨移植和颈椎前路钢板固定,可成功地对有症状的颈椎后凸畸形进行手术矫正。

https://cdn.ncbi.nlm.nih.gov/pmc/blobs/bf0f/5108130/25d7d5699abe/JPN-11-237-g001.jpg

相似文献

4
[Kyphotic deformities of the cervical spin].
Acta Chir Orthop Traumatol Cech. 2011;78(3):215-24.
5
Ventral Herniation of the Cervical Cord After Single-Level Corpectomy.
World Neurosurg. 2020 Apr;136:12-16. doi: 10.1016/j.wneu.2019.12.165. Epub 2020 Jan 7.
7
Surgical treatment of congenital kyphosis.
Spine (Phila Pa 1976). 2001 Oct 15;26(20):2251-7. doi: 10.1097/00007632-200110150-00017.
8
Anterior correction of cervical kyphotic deformity: effects on myelopathy, neck pain, and sagittal alignment.
J Neurosurg. 2004 Jan;100(1 Suppl Spine):13-9. doi: 10.3171/spi.2004.100.1.0013.
9
Surgical management of severe cervical kyphosis with myelopathy in osteogenesis imperfecta: a case report.
Spine (Phila Pa 1976). 2005 Apr 1;30(7):E191-4. doi: 10.1097/01.brs.0000157471.44284.a2.
10
Results of surgical treatment for degenerative cervical myelopathy: anterior cervical corpectomy and stabilization.
Spine (Phila Pa 1976). 2004 Nov 15;29(22):2493-500. doi: 10.1097/01.brs.0000145412.93407.c3.

本文引用的文献

3
Anaesthetic considerations of adults with Morquio's syndrome - a case report.
BMC Anesthesiol. 2010 Feb 26;10:2. doi: 10.1186/1471-2253-10-2.
4
Incidence of the mucopolysaccharidoses in Northern Ireland.
Hum Genet. 1997 Dec;101(3):355-8. doi: 10.1007/s004390050641.
5
Cervical kyphotic myelopathy in a child with Morquio syndrome.
Childs Nerv Syst. 1996 Feb;12(2):114-6. doi: 10.1007/BF00819510.
8
Short stature in Indian children: the extent of the problem.
Indian J Pediatr. 1991 Sep-Oct;58 Suppl 1:57-8. doi: 10.1007/BF02750984.

文献AI研究员

20分钟写一篇综述,助力文献阅读效率提升50倍。

立即体验

用中文搜PubMed

大模型驱动的PubMed中文搜索引擎

马上搜索

文档翻译

学术文献翻译模型,支持多种主流文档格式。

立即体验