Suppr超能文献

褪黑素通过MAPK-JNK/P38信号通路改善高脂饮食诱导的肥胖小鼠的非酒精性脂肪性肝病。

Melatonin improves non-alcoholic fatty liver disease via MAPK-JNK/P38 signaling in high-fat-diet-induced obese mice.

作者信息

Sun Hang, Wang Xingchun, Chen Jiaqi, Song Kexiu, Gusdon Aaron M, Li Liang, Bu Le, Qu Shen

机构信息

Department of Endocrinology and Metabolism, Shanghai Tenth People's Hospital, School of Medicine, Tongji University, Shanghai, 200072, China.

Nanjing Medical University, Nanjing, Jiangsu, 210029, China.

出版信息

Lipids Health Dis. 2016 Nov 23;15(1):202. doi: 10.1186/s12944-016-0370-9.

Abstract

BACKGROUND

Melatonin can regulate lipid metabolism, increase insulin sensitivity, regulate glucose metabolism and reduce body weight. This study is aimed to determine the effects and mechanism of action of melatonin on non-alcoholic fatty liver disease (NAFLD) in high-fat-diet (HFD) induced obese mice.

METHODS

NAFLD was induced by HFD in C57BL/6 mice. A total of 24 mice were randomly assigned to 4 groups. Groups A and B were fed with HFD for 36 weeks while groups C and D were fed with a regular diet (RD). During the last 12 weeks, Groups A and C were treated with 10 mg/kg melatonin while Groups B and D were treated with water in the same volume by intragastric administration. Body and liver weight, blood glucose, serum transaminases and lipid levels, and markers of hepatic inflammation were measured. Histological analyses were also performed on liver tissue.

RESULTS

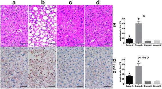
After 12 weeks of treatment with melatonin, body weights (Group A: before 53.11 ± 0.72 vs after 12w treatment 39.48 ± 0.74) and liver weights (A 1.93 ± 0.09 g vs B 2.92 ± 0.19 g vs C 1.48 ± 0.09 g vs D 1.49 ± 0.10 g), fasting plasma glucose, alanine transaminase (A 24.33 ± 11.90 IU/L vs B 60.80 ± 10.18 IU/L vs C 13.01 ± 3.49 IU/L vs D 16.62 ± 2.00 IU/L), and low-density cholesterol (A 0.24 ± 0.06 mmol/L vs B 1.57 ± 0.10 mmol/L vs C 0.28 ± 0.06 mmol/L vs D 0.29 ± 0.03 mmol/L) were significantly decreased in HFD mice. HFD fed mice treated with melatonin showed significantly less liver steatosis. Treatment of HFD fed mice with melatonin led to a significant decrease in the expression of TNF-α, IL-1β, and IL-6 measured using quantitative real-time polymerase chain reaction (qRT-PCR). HFD fed mice demonstrated increased phosphorylation of P38 and JNK1/2, which was reduced by melatonin treatment.

CONCLUSIONS

The study concluded that melatonin could improve NAFLD by decreasing body weight and reduce inflammation in HFD induced obese mice by modulating the MAPK-JNK/P38 signaling pathway.

摘要

背景

褪黑素可调节脂质代谢、提高胰岛素敏感性、调节糖代谢并减轻体重。本研究旨在确定褪黑素对高脂饮食(HFD)诱导的肥胖小鼠非酒精性脂肪性肝病(NAFLD)的影响及作用机制。

方法

用HFD诱导C57BL/6小鼠发生NAFLD。将24只小鼠随机分为4组。A组和B组喂食HFD 36周,而C组和D组喂食常规饮食(RD)。在最后12周,A组和C组通过灌胃给予10mg/kg褪黑素,而B组和D组给予相同体积的水。测量体重和肝脏重量、血糖、血清转氨酶和脂质水平以及肝脏炎症标志物。还对肝组织进行了组织学分析。

结果

用褪黑素治疗12周后,HFD小鼠的体重(A组:治疗前53.11±0.72 vs治疗12周后39.48±0.74)和肝脏重量(A组1.93±0.09g vs B组2.92±0.19g vs C组1.48±0.09g vs D组1.49±0.10g)、空腹血糖、丙氨酸转氨酶(A组24.33±11.90IU/L vs B组60.80±10.18IU/L vs C组13.01±3.49IU/L vs D组16.62±2.00IU/L)以及低密度胆固醇(A组0.24±0.06mmol/L vs B组1.57±0.10mmol/L vs C组0.28±0.06mmol/L vs D组0.29±0.03mmol/L)均显著降低。用褪黑素治疗的HFD喂养小鼠肝脏脂肪变性明显减轻。用褪黑素治疗HFD喂养小鼠导致用定量实时聚合酶链反应(qRT-PCR)测量的TNF-α、IL-1β和IL-6表达显著降低。HFD喂养小鼠的P38和JNK1/2磷酸化增加,而褪黑素治疗可使其降低。

结论

该研究得出结论认为,褪黑素可通过减轻体重改善NAFLD,并通过调节MAPK-JNK/P38信号通路减轻HFD诱导的肥胖小鼠的炎症。

https://cdn.ncbi.nlm.nih.gov/pmc/blobs/5522/5120511/a3a4c9f4b7e0/12944_2016_370_Fig1_HTML.jpg

文献AI研究员

20分钟写一篇综述,助力文献阅读效率提升50倍。

立即体验

用中文搜PubMed

大模型驱动的PubMed中文搜索引擎

马上搜索

文档翻译

学术文献翻译模型,支持多种主流文档格式。

立即体验