Salehi Mehdi, Setayesh Mohammad, Mokaberinejad Roshanak
1 Department of Traditional Medicine, School of Traditional Medicine, Tehran University of Medical Sciences, Tehran, Iran.
2 Department of Traditional Medicine, School of Traditional Medicine, Shahid Beheshti University of Medical Sciences, Tehran, Iran.
J Evid Based Complementary Altern Med. 2017 Jul;22(3):374-377. doi: 10.1177/2156587216681937. Epub 2016 Dec 8.
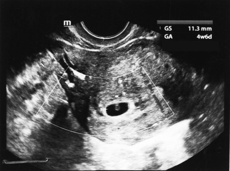
Infertility is a medical and psychosocial problem with a high prevalence. There are different treatments for this problem in Iranian traditional medicine. A 28-year-old woman presented with the complaints of 4 emergency operations of the left ovarian cyst during 4 years and infertility. Diagnostic laparoscopy showed an ovarian cyst, adhesion, and endometriosis. Hysteroscopy was unremarkable. After 2 months of letrozole administration, the ovarian cyst ruptured again. Considering the failure of conventional treatments, Iranian traditional medicine products were administered to the patient. After 3 months, the patient conceived and delivered a healthy boy through normal vaginal delivery. These compounds may help with pregnancy as a uterine tonic, vitalizer, and aphrodisiac with brain and cardiac tonic properties.
不孕症是一个患病率很高的医学和社会心理问题。伊朗传统医学对这一问题有不同的治疗方法。一名28岁女性因4年内左侧卵巢囊肿进行了4次急诊手术及不孕症前来就诊。诊断性腹腔镜检查显示有卵巢囊肿、粘连和子宫内膜异位症。宫腔镜检查未见异常。服用来曲唑2个月后,卵巢囊肿再次破裂。考虑到传统治疗方法失败,给该患者使用了伊朗传统医药产品。3个月后,患者怀孕并通过正常阴道分娩产下一名健康男婴。这些化合物作为子宫滋补剂、活力剂和具有脑和心脏滋补特性的壮阳剂可能有助于受孕。