Suppr超能文献

二尖瓣环干酪样钙化导致脑栓塞的风险:综述文章

Risk of Cerebral Embolization with Caseous Calcification of the Mitral Annulus: Review Article.

作者信息

Dietl Charles A, Hawthorn Christopher M, Raizada Veena

机构信息

Department of Surgery, Division of Cardiothoracic Surgery, University of New Mexico Health Sciences Center, Albuquerque, New Mexico, USA.

School of Medicine Division of Cardiology, University of New Mexico Health Sciences Center, Albuquerque, New Mexico, USA.

出版信息

Open Cardiovasc Med J. 2016 Nov 15;10:221-232. doi: 10.2174/1874192401610010221. eCollection 2016.

Abstract

BACKGROUND

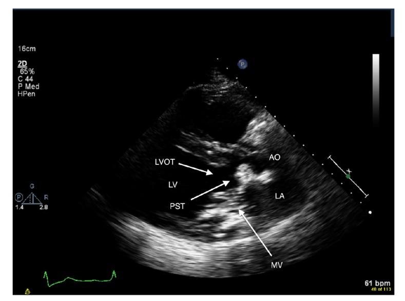
Caseous calcification of the mitral annulus (CCMA) is believed to have a benign prognosis. Several authors have recommended conservative management in asymptomatic patients. However, the prevalence of cerebrovascular events (CVE) in patients with CCMA has never been evaluated before. The aims of this study are to investigate whether patients with CCMA are at increased risk of cerebral embolization, and to determine whether elective surgical resection of CCMA should be considered to prevent a cardioembolic stroke.

METHODS

A comprehensive literature search was obtained from MEDLINE PubMed.gov, ScienceDirect.com, and Google Scholar using the following search queries: caseous calcification of the mitral annulus, intracardiac pseudotumor, mitral annular calcification, and cardioembolic stroke.

RESULTS

From our initial search that yielded 1,502 articles, we identified a total of 130 patients with CCMA reported in 86 publications. Literature review revealed that the prevalence of CVE associated with CCMA is 19.2% (25 of 130) which is significantly higher than the prevalence of CVE reported with mitral annular calcification (MAC), 11.8% (214 of 1818) (range 4.8% to 24.1%) ( = 0.01796) (odds ratio = 1.78; 0.95 confidence interval = 1.1278 - 2.8239). Only four of 25 (16.0%) patients with CCMA who suffered a CVE had history of atrial fibrillation (AF).

CONCLUSION

Based on our review, it would be reasonable to consider elective surgical resection of CCMA in asymptomatic patients who are good surgical candidates, because patients with CCMA may be at increased risk of embolic strokes, which are unrelated to AF.

摘要

背景

二尖瓣环干酪样钙化(CCMA)被认为预后良好。几位作者建议对无症状患者采取保守治疗。然而,此前从未评估过CCMA患者发生脑血管事件(CVE)的患病率。本研究的目的是调查CCMA患者发生脑栓塞的风险是否增加,并确定是否应考虑选择性手术切除CCMA以预防心源性栓塞性中风。

方法

使用以下搜索词从MEDLINE(PubMed.gov)、ScienceDirect.com和谷歌学术进行全面的文献检索:二尖瓣环干酪样钙化、心内假肿瘤、二尖瓣环钙化和心源性栓塞性中风。

结果

在我们最初检索出的1502篇文章中,我们在86篇出版物中总共确定了130例CCMA患者。文献综述显示,与CCMA相关的CVE患病率为19.2%(130例中的25例),显著高于二尖瓣环钙化(MAC)报告的CVE患病率11.8%(1818例中的214例)(范围4.8%至24.1%)(P = 0.01796)(比值比 = 1.78;95%置信区间 = 1.1278 - 2.8239)。在25例发生CVE的CCMA患者中,只有4例(16.0%)有房颤(AF)病史。

结论

根据我们的综述,对于适合手术的无症状CCMA患者,考虑选择性手术切除是合理的,因为CCMA患者发生栓塞性中风的风险可能增加,且与AF无关。

https://cdn.ncbi.nlm.nih.gov/pmc/blobs/f6e1/5120388/0ffe711ee7cf/TOCMJ-10-221_F1.jpg

文献AI研究员

20分钟写一篇综述,助力文献阅读效率提升50倍。

立即体验

用中文搜PubMed

大模型驱动的PubMed中文搜索引擎

马上搜索

文档翻译

学术文献翻译模型,支持多种主流文档格式。

立即体验