Suppr超能文献

伴有肾上腺受累、酷似结核病的慢性副球孢子菌病——来自奥地利的一例病例报告

Chronic Paracoccidioidomycosis with adrenal involvement mimicking tuberculosis - A case report from Austria.

作者信息

Wagner Gernot, Moertl Deddo, Eckhardt Axel, Sagel Ulrich, Wrba Friedrich, Dam Karl, Willinger Birgit

机构信息

Clinical Department of Internal Medicine II, University Hospital St. Poelten, Karl Landsteiner University of Health Sciences, Propst-Fuehrer-Strasse 4, 3100 St. Poelten, Austria; Department for Evidence-based Medicine and Clinical Epidemiology, Danube University Krems, Dr.-Karl-Dorrek-Strasse 30, 3500 Krems, Austria.

Clinical Department of Internal Medicine III, University Hospital St. Poelten, Karl Landsteiner University of Health Sciences, Propst-Fuehrer-Strasse 4, 3100 St. Poelten, Austria.

出版信息

Med Mycol Case Rep. 2016 Dec 2;14:12-16. doi: 10.1016/j.mmcr.2016.12.002. eCollection 2016 Dec.

Abstract

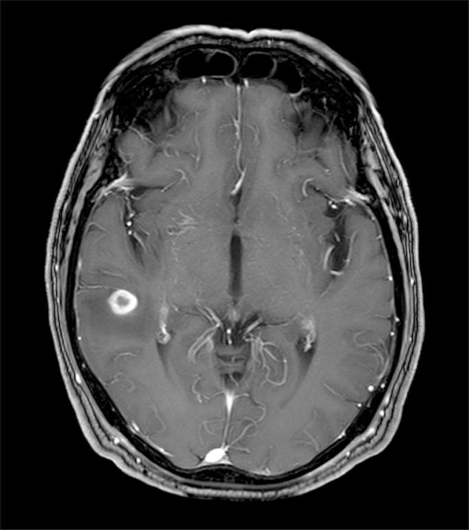
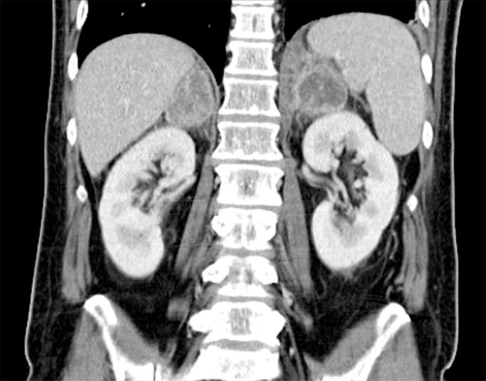
Paracoccidioidomycosis is a systemic fungal infection caused by and endemic in certain areas of Central and South America. We report a case of a 62-year-old-man with a complex history of tuberculosis and imaging findings of a cerebral lesion and bilateral adrenal enlargement. Biopsy of adrenal gland revealed . This case highlights the importance of travel history for diagnosis of paracoccidioidomycosis in non-endemic areas and emphasizes the clinical and histopathological similarities with tuberculosis.

摘要

副球孢子菌病是一种由[未提及具体病因]引起的系统性真菌感染,在中美洲和南美洲的某些地区流行。我们报告一例62岁男性病例,该患者有复杂的结核病病史,脑部病变及双侧肾上腺增大的影像学表现。肾上腺活检显示[未提及活检结果]。该病例强调了旅行史在非流行地区诊断副球孢子菌病中的重要性,并强调了其与结核病在临床和组织病理学上的相似性。

https://cdn.ncbi.nlm.nih.gov/pmc/blobs/01da/5154971/b0dfcc50b1fe/gr1.jpg

文献AI研究员

20分钟写一篇综述,助力文献阅读效率提升50倍。

立即体验

用中文搜PubMed

大模型驱动的PubMed中文搜索引擎

马上搜索

文档翻译

学术文献翻译模型,支持多种主流文档格式。

立即体验