Suppr超能文献

抗MDA - 5抗体阳性的临床无肌病性皮肌炎合并宫颈癌所致的快速进展性间质性肺疾病:采用多粘菌素B固定化纤维柱疗法直接血液灌流成功治疗。

Rapidly progressive interstitial lung disease due to anti-MDA-5 antibody-positive clinically amyopathic dermatomyositis complicated with cervical cancer: Successful treatment with direct hemoperfusion using polymyxin B-immobilized fiber column therapy.

作者信息

Ichiyasu Hidenori, Sakamoto Yasumiko, Yoshida Chieko, Sakamoto Kazuhiko, Fujita Ryosuke, Nakayama Go, Okabayashi Hiroko, Saeki Sho, Okamoto Shinichiro, Kohrogi Hirotsugu

机构信息

Department of Respiratory Medicine, Kumamoto University Hospital, Faculty of Life Sciences, Kumamoto University, 1-1-1 Honjo, Chuo-ku, Kumamoto 860-8556, Japan.

出版信息

Respir Med Case Rep. 2016 Dec 2;20:51-54. doi: 10.1016/j.rmcr.2016.11.015. eCollection 2017.

Abstract

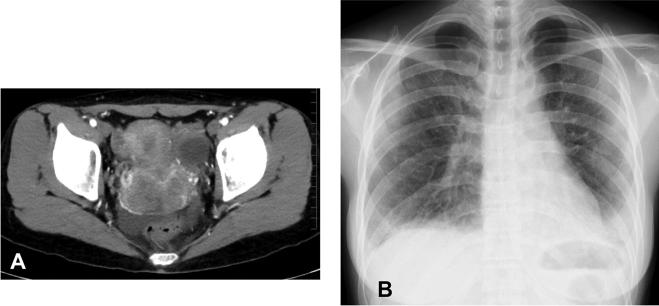
The anti-melanoma differentiation-associated gene 5 (MDA-5) antibody is a marker of clinically amyopathic dermatomyositis (CADM) and rapidly progressive interstitial lung disease (ILD) with acute respiratory failure. A 35-year-old woman with cervical cancer showed Gottron's papules, severe hypoxemia, and diffuse ground-glass opacities on chest computed tomography. She was diagnosed with rapidly progressive ILD associated with CADM. Her serum was positive for the anti-MDA-5 antibody. Combination therapy with corticosteroids, immunosuppressants, and direct hemoperfusion using polymyxin B-immobilized fiber column (PMX-DHP) improved her respiratory dysfunction. Eventually, surgery for the cancer was performed successfully. This is the first case to demonstrate the efficacy of PMX-DHP for rapidly progressive ILD with anti-MDA-5 antibody-positive CADM and a malignancy.

摘要

抗黑色素瘤分化相关基因5(MDA-5)抗体是临床无肌病性皮肌炎(CADM)和伴有急性呼吸衰竭的快速进展性间质性肺病(ILD)的标志物。一名35岁的宫颈癌女性出现Gottron丘疹、严重低氧血症,胸部计算机断层扫描显示弥漫性磨玻璃影。她被诊断为与CADM相关的快速进展性ILD。她的血清抗MDA-5抗体呈阳性。使用多粘菌素B固定纤维柱(PMX-DHP)进行直接血液灌流联合皮质类固醇和免疫抑制剂治疗改善了她的呼吸功能障碍。最终,成功进行了癌症手术。这是首例证明PMX-DHP对伴有抗MDA-5抗体阳性CADM和恶性肿瘤的快速进展性ILD有效的病例。

https://cdn.ncbi.nlm.nih.gov/pmc/blobs/7eee/5153447/637c289c02ee/gr1.jpg

文献AI研究员

20分钟写一篇综述,助力文献阅读效率提升50倍。

立即体验

用中文搜PubMed

大模型驱动的PubMed中文搜索引擎

马上搜索

文档翻译

学术文献翻译模型,支持多种主流文档格式。

立即体验