Suppr超能文献

肥大性和结节性葡萄酒色斑病变中PKCα和PI3K激酶的激活

Activation of PKCα and PI3K Kinases in Hypertrophic and Nodular Port Wine Stain Lesions.

作者信息

Yin Rong, Gao Lin, Tan Wenbin, Guo Wei, Zhao Tao, Nelson Jhon Stuart, Wang Gang

机构信息

*Department of Dermatology, Xijing Hospital, Fourth Military Medical University, Xi'an, China; †Departments of Dermatology, The Second Clinical Medical College, Shanxi Medical University, Taiyuan, China; ‡Department of Surgery, Beckman Laser Institute and Medical Clinic, University of California, Irvine, CA; and §Department of Biomedical Engineering, University of California, Irvine, CA.

出版信息

Am J Dermatopathol. 2017 Oct;39(10):747-752. doi: 10.1097/DAD.0000000000000785.

Abstract

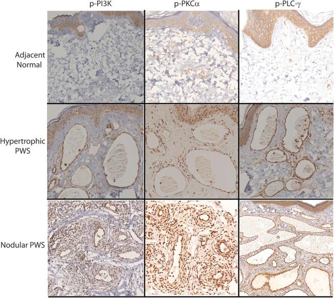
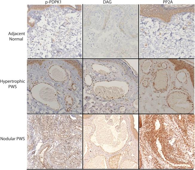
Port wine stain (PWS) is a congenital, progressive vascular malformation. Many patients with PWS develop hypertrophy and discrete nodularity during their adult life, but the mechanism(s) remain incompletely understood. In this study, we attempted to investigate activation status of PKCα, PI3K, PDPK1 and PLC-γ and protein levels of PP2A and DAG to explore their potential roles in the formation of hypertrophic and nodular PWS lesions. We found phosphorylated levels of PKCα, PI3K, PDPK1, and PLC-γ and protein levels of PP2A and DAG showed moderate increases in the endothelial cells of hypertrophic PWS as compared to the adjacent normal skin. These increases extended throughout the entire stroma of blood vessels in PWS nodules. Many proliferating cells, such as fibroblasts, also showed strong activation of PKCα, PI3K, PDPK1 and PLC-γ and upregulations of PP2A and DAG in nodular PWS lesions. Our data showed that there is aberrant activation of PKCα, PI3K, PDPK1 and PLC-γ and upregulation of PP2A and DAG mainly in endothelial cells in hypertrophic PWS areas, but presenting in the entire vasculatures and surrounding fibroblasts in PWS nodules. Our data suggest that both PKCα and PI3K signaling pathways contribute to the development of hypertrophy and nodularity in adult PWS.

摘要

葡萄酒色斑(PWS)是一种先天性、进行性血管畸形。许多PWS患者在成年期会出现肥厚和离散结节,但其中的机制仍未完全明确。在本研究中,我们试图研究蛋白激酶Cα(PKCα)、磷脂酰肌醇-3激酶(PI3K)、3-磷酸肌醇依赖性蛋白激酶-1(PDPK1)和磷脂酶C-γ(PLC-γ)的激活状态以及蛋白磷酸酶2A(PP2A)和二酰甘油(DAG)的蛋白水平,以探讨它们在肥厚性和结节性PWS病变形成中的潜在作用。我们发现,与相邻正常皮肤相比,肥厚性PWS内皮细胞中PKCα、PI3K、PDPK1和PLC-γ的磷酸化水平以及PP2A和DAG的蛋白水平有适度升高。这些升高在PWS结节的整个血管基质中均有体现。许多增殖细胞,如成纤维细胞,在结节性PWS病变中也显示出PKCα、PI3K、PDPK1和PLC-γ的强烈激活以及PP2A和DAG的上调。我们的数据表明,PKCα和PI3K信号通路主要在肥厚性PWS区域的内皮细胞中异常激活,且PP2A和DAG上调,但在PWS结节的整个脉管系统和周围成纤维细胞中也有出现。我们的数据提示,PKCα和PI3K信号通路均参与了成人PWS中肥厚和结节的形成。

https://cdn.ncbi.nlm.nih.gov/pmc/blobs/7f3e/5603970/7164dc0a73ad/ajd-39-747-g003.jpg

相似文献

1
Activation of PKCα and PI3K Kinases in Hypertrophic and Nodular Port Wine Stain Lesions.
Am J Dermatopathol. 2017 Oct;39(10):747-752. doi: 10.1097/DAD.0000000000000785.
2
Sustained activation of c-Jun N-terminal and extracellular signal-regulated kinases in port-wine stain blood vessels.
J Am Acad Dermatol. 2014 Nov;71(5):964-8. doi: 10.1016/j.jaad.2014.07.025. Epub 2014 Aug 16.
4
Port-wine stain nodules in the adult: report of 20 cases treated by CO2 laser vaporization.
Dermatol Surg. 2001 Aug;27(8):699-702. doi: 10.1046/j.1524-4725.2001.00219.x.
7
Prognosis and response to laser treatment of early-onset hypertrophic port-wine stains (PWS).
J Am Acad Dermatol. 2016 Jul;75(1):64-8. doi: 10.1016/j.jaad.2016.02.1167. Epub 2016 Mar 19.
8
Hypertrophy in port-wine stains: prevalence and patient characteristics in a large patient cohort.
J Am Acad Dermatol. 2012 Dec;67(6):1214-9. doi: 10.1016/j.jaad.2012.05.027. Epub 2012 Jun 28.
9
Enhanced Activation of mTOR Signaling Pathway Was Found in the Hypertrophic and Nodular Lesions of Port Wine Stains.
Clin Cosmet Investig Dermatol. 2022 Apr 13;15:643-651. doi: 10.2147/CCID.S358612. eCollection 2022.

引用本文的文献

1
Biomarker development in Sturge-Weber syndrome.
J Neurodev Disord. 2025 Aug 25;17(1):50. doi: 10.1186/s11689-025-09640-6.
3
KRIT1 in vascular biology and beyond.
Biosci Rep. 2024 Jul 31;44(7). doi: 10.1042/BSR20231675.
4
Congenital Vascular and Lymphatic Diseases.
Circ Res. 2024 Jun 21;135(1):159-173. doi: 10.1161/CIRCRESAHA.124.323181. Epub 2024 Jun 20.
9
GNAQ mutations drive port wine birthmark-associated Sturge-Weber syndrome: A review of pathobiology, therapies, and current models.
Front Hum Neurosci. 2022 Nov 3;16:1006027. doi: 10.3389/fnhum.2022.1006027. eCollection 2022.
10
Pathogenesis of Port-Wine Stains: Directions for Future Therapies.
Int J Mol Sci. 2022 Oct 12;23(20):12139. doi: 10.3390/ijms232012139.

本文引用的文献

1
Pathological alterations involve the entire skin physiological milieu in infantile and early-childhood port-wine stain.
Br J Dermatol. 2017 Jul;177(1):293-296. doi: 10.1111/bjd.15068. Epub 2017 Jun 1.
2
The somatic GNAQ mutation (R183Q) is primarily located within the blood vessels of port wine stains.
J Am Acad Dermatol. 2016 Feb;74(2):380-3. doi: 10.1016/j.jaad.2015.09.063.
3
Somatic Activating PIK3CA Mutations Cause Venous Malformation.
Am J Hum Genet. 2015 Dec 3;97(6):914-21. doi: 10.1016/j.ajhg.2015.11.011.
5
Endothelial Cells from Capillary Malformations Are Enriched for Somatic GNAQ Mutations.
Plast Reconstr Surg. 2016 Jan;137(1):77e-82e. doi: 10.1097/PRS.0000000000001868.
6
Lymphatic and other vascular malformative/overgrowth disorders are caused by somatic mutations in PIK3CA.
J Pediatr. 2015 Apr;166(4):1048-54.e1-5. doi: 10.1016/j.jpeds.2014.12.069. Epub 2015 Feb 11.
8
Topical axitinib suppresses angiogenesis pathways induced by pulsed dye laser.
Br J Dermatol. 2015 Mar;172(3):669-76. doi: 10.1111/bjd.13439. Epub 2014 Dec 11.
9
Topical rapamycin systematically suppresses the early stages of pulsed dye laser-induced angiogenesis pathways.
Lasers Surg Med. 2014 Nov;46(9):679-88. doi: 10.1002/lsm.22296. Epub 2014 Sep 30.
10
Novel genetic mutations in a sporadic port-wine stain.
JAMA Dermatol. 2014 Dec;150(12):1336-40. doi: 10.1001/jamadermatol.2014.1244.

文献AI研究员

20分钟写一篇综述,助力文献阅读效率提升50倍。

立即体验

用中文搜PubMed

大模型驱动的PubMed中文搜索引擎

马上搜索

文档翻译

学术文献翻译模型,支持多种主流文档格式。

立即体验