Suppr超能文献

HIV-1 包膜蛋白与细胞膜上的 HLA-C 自由链结合,调节病毒感染力。

HIV-1 Env associates with HLA-C free-chains at the cell membrane modulating viral infectivity.

机构信息

Department of Neurosciences, Biomedicine and Movement Sciences, University of Verona, Strada le Grazie 8, 37134, Verona, Italy.

IRCCS Ospedale San Raffaele, Via Olgettina 60, 20132, Milan, Italy.

出版信息

Sci Rep. 2017 Jan 4;7:40037. doi: 10.1038/srep40037.

Abstract

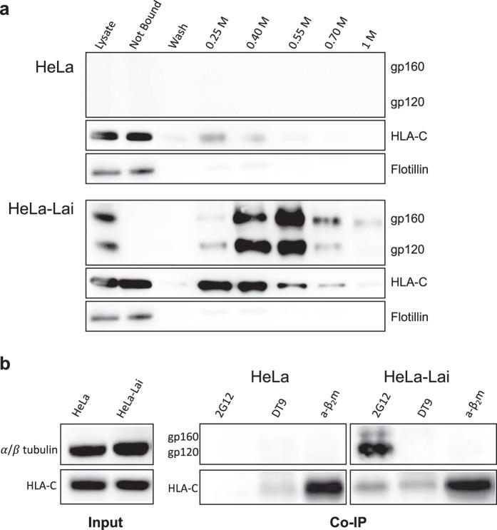
HLA-C has been demonstrated to associate with HIV-1 envelope glycoprotein (Env). Virions lacking HLA-C have reduced infectivity and increased susceptibility to neutralizing antibodies. Like all others MHC-I molecules, HLA-C requires β-microglobulin (βm) for appropriate folding and expression on the cell membrane but this association is weaker, thus generating HLA-C free-chains on the cell surface. In this study, we deepen the understanding of HLA-C and Env association by showing that HIV-1 specifically increases the amount of HLA-C free chains, not bound to βm, on the membrane of infected cells. The association between Env and HLA-C takes place at the cell membrane requiring βm to occur. We report that the enhanced infectivity conferred to HIV-1 by HLA-C specifically involves HLA-C free chain molecules that have been correctly assembled with βm. HIV-1 Env-pseudotyped viruses produced in the absence of βm are less infectious than those produced in the presence of βm. We hypothesize that the conformation and surface expression of HLA-C molecules could be a discriminant for the association with Env. Binding stability to βm may confer to HLA-C the ability to preferentially act either as a conventional immune-competent molecule or as an accessory molecule involved in HIV-1 infectivity.

摘要

HLA-C 已被证明与 HIV-1 包膜糖蛋白(Env)相关。缺乏 HLA-C 的病毒感染力降低,对中和抗体的敏感性增加。像所有其他 MHC-I 分子一样,HLA-C 需要β-微球蛋白(βm)才能正确折叠并在细胞膜上表达,但这种结合较弱,因此会在细胞膜表面产生 HLA-C 游离链。在这项研究中,我们通过显示 HIV-1 特异性增加感染细胞表面未结合βm 的 HLA-C 游离链的数量,加深了对 HLA-C 和 Env 关联的理解。Env 和 HLA-C 之间的关联发生在细胞膜上,需要βm 才能发生。我们报告称,HLA-C 赋予 HIV-1 的增强感染性特别涉及已与βm 正确组装的 HLA-C 游离链分子。在缺乏βm 的情况下产生的 HIV-1 假型病毒比在存在βm 的情况下产生的病毒感染性更低。我们假设 HLA-C 分子的构象和表面表达可能是与 Env 相关的一个决定因素。与βm 的结合稳定性可能赋予 HLA-C 作为传统免疫功能分子或作为参与 HIV-1 感染性的辅助分子的能力。

https://cdn.ncbi.nlm.nih.gov/pmc/blobs/6089/5209703/76e578439530/srep40037-f1.jpg

文献检索

告别复杂PubMed语法,用中文像聊天一样搜索,搜遍4000万医学文献。AI智能推荐,让科研检索更轻松。

立即免费搜索

文件翻译

保留排版,准确专业,支持PDF/Word/PPT等文件格式,支持 12+语言互译。

免费翻译文档

深度研究

AI帮你快速写综述,25分钟生成高质量综述,智能提取关键信息,辅助科研写作。

立即免费体验