• 文献检索
  • 文档翻译
  • 深度研究
  • 学术资讯
  • Suppr Zotero 插件Zotero 插件
  • 邀请有礼
  • 套餐&价格
  • 历史记录
应用&插件
Suppr Zotero 插件Zotero 插件浏览器插件Mac 客户端Windows 客户端微信小程序
定价
高级版会员购买积分包购买API积分包
服务
文献检索文档翻译深度研究API 文档MCP 服务
关于我们
关于 Suppr公司介绍联系我们用户协议隐私条款
关注我们

Suppr 超能文献

核心技术专利:CN118964589B侵权必究
粤ICP备2023148730 号-1Suppr @ 2026

文献检索

告别复杂PubMed语法,用中文像聊天一样搜索,搜遍4000万医学文献。AI智能推荐,让科研检索更轻松。

立即免费搜索

文件翻译

保留排版,准确专业,支持PDF/Word/PPT等文件格式,支持 12+语言互译。

免费翻译文档

深度研究

AI帮你快速写综述,25分钟生成高质量综述,智能提取关键信息,辅助科研写作。

立即免费体验

小鼠脾脏自体移植中的边缘区:对非胸腺依赖性2型抗原反应的功能和组织学观察

Marginal zone of the murine spleen in autotransplants: functional and histological observations in the response against a thymus-independent type 2 antigen.

作者信息

Claassen E, Ott A, Boersma W J, Deen C, Schellekens M M, Dijkstra C D, Kors N, Van Rooijen N

机构信息

Department of Histology, Medical Faculty, Free University, Amsterdam, The Netherlands.

出版信息

Clin Exp Immunol. 1989 Sep;77(3):445-51.

PMID:2805412
原文链接:https://pmc.ncbi.nlm.nih.gov/articles/PMC1542058/
Abstract

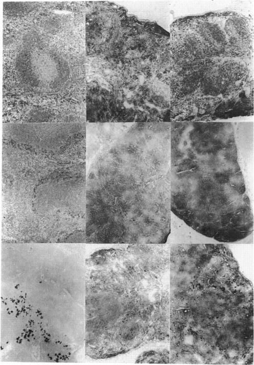
Splenic tissue from mice was autotransplanted; after initial necrosis, a rapid restoration of implants into a structure histologically indistinguishable from splenic tissue was observed. The development of the marginal zone in these autotransplants, as determined with monoclonal antibodies against different splenic cell types and routine histological stains, was compared with the local and systemic response against a thymus-independent (TI) type 2 antigen. Full restoration of time course and peak of anti-trinitrophenyl (TNP) serum titres against TNP-Ficoll was observed at 4 weeks after autotransplantation. Anti-TNP antibody-forming cells were observed in subnormal and normal numbers in 2- and 4-week old autotransplants, respectively. The appearance of normal numbers of antibody-forming cells, and the restoration of antibody titres at week 4 correlated with the return of newly formed B cells in a normal marginal zone. An unexpected observation was that marginal zone macrophages did not return until 10 weeks after transplantation, thereby making the necessity for these cells in the normal TI-2 response unlikely. We conclude that normal anti-TI-2 responses (onset and peak titres) can be restored by autotransplantation of splenic tissue. B cells and marginal zone organization are responsible for this response, for which marginal zone macrophages seem expendable. The partial protection against overwhelming post-splenectomy infections, given by autotransplants, can thus be explained by restorative capabilities of these implants on antigen presentation and antibody formation against TI-2 antigens, and not by an increase (compared with splenectomized individuals) of phagocytosis by marginal zone macrophages.

摘要

将小鼠的脾脏组织进行自体移植;在最初的坏死之后,观察到植入物迅速恢复为在组织学上与脾脏组织无法区分的结构。利用针对不同脾脏细胞类型的单克隆抗体和常规组织学染色确定这些自体移植中边缘区的发育,并将其与针对非胸腺依赖性(TI)2型抗原的局部和全身反应进行比较。在自体移植后4周观察到针对TNP-Ficoll的抗三硝基苯(TNP)血清滴度的时间进程和峰值完全恢复。在2周龄和4周龄的自体移植中,分别观察到数量低于正常和正常数量的抗TNP抗体形成细胞。在第4周时,抗体形成细胞数量恢复正常以及抗体滴度恢复,这与正常边缘区中新形成的B细胞的回归相关。一个意外的观察结果是,边缘区巨噬细胞直到移植后10周才恢复,因此这些细胞在正常TI-2反应中的必要性似乎不大。我们得出结论,脾脏组织的自体移植可以恢复正常的抗TI-2反应(起始和峰值滴度)。B细胞和边缘区组织负责这种反应,而边缘区巨噬细胞似乎是多余的。因此,自体移植对脾切除术后严重感染的部分保护作用,可以通过这些植入物在抗原呈递和针对TI-2抗原的抗体形成方面的恢复能力来解释,而不是通过(与脾切除个体相比)边缘区巨噬细胞吞噬作用的增加来解释。

https://cdn.ncbi.nlm.nih.gov/pmc/blobs/7058/1542058/48b7dab56baa/clinexpimmunol00084-0151-a.jpg
https://cdn.ncbi.nlm.nih.gov/pmc/blobs/7058/1542058/48b7dab56baa/clinexpimmunol00084-0151-a.jpg
https://cdn.ncbi.nlm.nih.gov/pmc/blobs/7058/1542058/48b7dab56baa/clinexpimmunol00084-0151-a.jpg

相似文献

1
Marginal zone of the murine spleen in autotransplants: functional and histological observations in the response against a thymus-independent type 2 antigen.小鼠脾脏自体移植中的边缘区:对非胸腺依赖性2型抗原反应的功能和组织学观察
Clin Exp Immunol. 1989 Sep;77(3):445-51.
2
Influence of carriers on the development and localization of anti-2,4,6-trinitrophenyl (TNP) antibody-forming cells in the murine spleen. II. Suppressed antibody response to TNP-Ficoll after elimination of marginal zone cells.载体对小鼠脾脏中抗2,4,6-三硝基苯基(TNP)抗体形成细胞发育和定位的影响。II. 消除边缘区细胞后对TNP-菲可(Ficoll)抗体反应的抑制
Eur J Immunol. 1986 May;16(5):492-7. doi: 10.1002/eji.1830160505.
3
Size-dependent B lymphocyte subpopulations: relationship of cell volume to surface phenotype, cell cycle, proliferative response, and requirements for antibody production to TNP-Ficoll and TNP-BA.大小依赖性B淋巴细胞亚群:细胞体积与表面表型、细胞周期、增殖反应以及针对TNP-菲可和TNP-BA产生抗体的需求之间的关系。
J Immunol. 1984 Nov;133(5):2333-42.
4
Differential responses of B cells from the spleen and lymph node to TNP-Ficoll.脾脏和淋巴结来源的B细胞对三硝基苯-聚蔗糖的不同反应。
J Immunol. 1988 May 1;140(9):2925-30.
5
Primary in situ immune response in popliteal lymph nodes and spleen of mice after subcutaneous immunization with thymus-dependent or thymus-independent (type 1 and 2) antigens.用胸腺依赖性或胸腺非依赖性(1型和2型)抗原皮下免疫小鼠后,其腘窝淋巴结和脾脏中的原发性原位免疫反应。
Anat Rec. 1989 Feb;223(2):152-7. doi: 10.1002/ar.1092230206.
6
Immunoregulation in the rat: requirements for in vitro B cell responses to classical TI-1 and TI-2 antigens.大鼠中的免疫调节:体外B细胞对经典TI-1和TI-2抗原反应的要求。
J Immunol. 1983 Sep;131(3):1131-7.
7
Complement-mediated follicular localization of T-independent type-2 antigens: the role of marginal zone macrophages revisited.补体介导的2型非依赖T细胞抗原的滤泡定位:边缘区巨噬细胞作用的再探讨
Eur J Immunol. 1992 Mar;22(3):719-26. doi: 10.1002/eji.1830220315.
8
Splenic dependence of the antibody response to thymus-independent (TI-2) antigens.抗体对非胸腺依赖性(TI-2)抗原反应的脾脏依赖性。
Eur J Immunol. 1985 May;15(5):508-12. doi: 10.1002/eji.1830150516.
9
Ability of chicken B cells from different compartments to respond to TNP-Ficoll.来自不同区室的鸡B细胞对三硝基苯-聚蔗糖的反应能力。
J Immunol. 1985 May;134(5):2879-83.
10
Influence of carriers on the development and localization of anti-trinitrophenyl antibody-forming cells in the murine spleen.载体对小鼠脾脏中抗三硝基苯基抗体形成细胞发育和定位的影响。
Eur J Immunol. 1986 Mar;16(3):271-6. doi: 10.1002/eji.1830160311.

引用本文的文献

1
Ageing adversely affects the migration and function of marginal zone B cells.衰老对边缘区B细胞的迁移和功能产生不利影响。
Immunology. 2017 Jul;151(3):349-362. doi: 10.1111/imm.12737. Epub 2017 May 4.
2
Characterization of marginal zone B cell precursors.边缘区B细胞前体的特征描述。
J Exp Med. 2005 Nov 7;202(9):1225-34. doi: 10.1084/jem.20051038. Epub 2005 Oct 31.
3
In vitro complement-dependent binding and in vivo kinetics of pneumococcal polysaccharide TI-2 antigens in the rat spleen marginal zone and follicle.肺炎球菌多糖TI-2抗原在大鼠脾脏边缘区和滤泡中的体外补体依赖性结合及体内动力学

本文引用的文献

1
B-lymphocyte responses to trinitrophenyl-conjugated Ficoll: requirement for T lymphocytes and Ia-bearing adherent cells.B淋巴细胞对三硝基苯基偶联的聚蔗糖的反应:对T淋巴细胞和Ia抗原阳性黏附细胞的需求
Proc Natl Acad Sci U S A. 1981 Aug;78(8):5113-7. doi: 10.1073/pnas.78.8.5113.
2
Regeneration of splenic tissue after autologous subcutaneous implantation: development of non-lymphoid cells in the white pulp of the rat spleen.自体皮下植入后脾组织的再生:大鼠脾脏白髓中非淋巴细胞的发育
Cell Tissue Res. 1982;222(1):69-79. doi: 10.1007/BF00218289.
3
Role of accessory cells in B cell activation. IV. Ia+ accessory cells are required for the in vitro generation of thymic independent type 2 antibody responses to polysaccharide antigens.
Infect Immun. 1996 Oct;64(10):4220-5. doi: 10.1128/iai.64.10.4220-4225.1996.
4
Effects of macrophage colony-stimulating factor on macrophages and their related cell populations in the osteopetrosis mouse defective in production of functional macrophage colony-stimulating factor protein.巨噬细胞集落刺激因子对骨硬化症小鼠中巨噬细胞及其相关细胞群体的影响,该小鼠在功能性巨噬细胞集落刺激因子蛋白的产生方面存在缺陷。
Am J Pathol. 1996 Aug;149(2):559-74.
5
Splenic autotransplantation and the immune system. Adequate testing required for evaluation of effect.脾自体移植与免疫系统。评估效果需要充分的检测。
Ann Surg. 1992 Mar;215(3):256-60. doi: 10.1097/00000658-199203000-00010.
辅助细胞在B细胞活化中的作用。IV. Ia⁺辅助细胞是体外对多糖抗原产生胸腺非依赖性2型抗体反应所必需的。
J Immunol. 1981 Oct;127(4):1345-7.
4
Langerhans' cells, veiled cells, and interdigitating cells in the mouse recognized by a monoclonal antibody.用单克隆抗体识别的小鼠中的朗格汉斯细胞、面纱细胞和指状突细胞。
J Exp Med. 1986 Apr 1;163(4):981-97. doi: 10.1084/jem.163.4.981.
5
Pneumococcal polysaccharides induce antibody formation by human B lymphocytes in vitro.肺炎球菌多糖在体外可诱导人B淋巴细胞形成抗体。
J Immunol. 1985 Jul;135(1):1-4.
6
Marginal zone macrophages identified by a monoclonal antibody: characterization of immuno- and enzyme-histochemical properties and functional capacities.通过单克隆抗体鉴定的边缘区巨噬细胞:免疫和酶组织化学特性及功能能力的表征
Immunology. 1985 May;55(1):23-30.
7
Splenic macrophages: antigen presenting cells for T1-2 antigens.
Immunol Lett. 1985;11(3-4):149-52. doi: 10.1016/0165-2478(85)90161-0.
8
Marginal metallophilic cells of the mouse spleen identified by a monoclonal antibody.用单克隆抗体鉴定的小鼠脾脏边缘亲金属细胞。
Immunology. 1986 Aug;58(4):665-9.
9
Autotransplantation of splenic tissue after splenectomy in rats offers partial protection against intravenous pneumococcal challenge.大鼠脾切除术后自体脾组织移植可对静脉注射肺炎球菌攻击提供部分保护。
Eur Surg Res. 1987;19(3):135-9. doi: 10.1159/000128692.
10
The role of the spleen in resistance to infection.脾脏在抗感染中的作用。
Annu Rev Med. 1986;37:49-59. doi: 10.1146/annurev.me.37.020186.000405.