Suppr超能文献

艰难梭菌肠毒素A对中国仓鼠卵巢细胞超微结构的影响。

Effect of Clostridium difficile enterotoxin A on ultrastructure of Chinese hamster ovary cells.

作者信息

Kushnaryov V M, Sedmak J J

机构信息

Department of Microbiology, Medical College of Wisconsin, Milwaukee 53226.

出版信息

Infect Immun. 1989 Dec;57(12):3914-21. doi: 10.1128/iai.57.12.3914-3921.1989.

Abstract

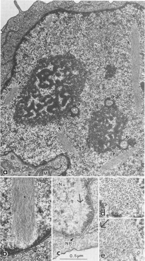
Electron microscopical immunocytochemistry and light microscopy were used to study the effect of Clostridium difficile enterotoxin A (EA) on cultured Chinese hamster ovary (CHO) cells. At 4 degrees C, immunocytochemically detected EA was randomly distributed along the plasma membrane; when cells were subsequently transferred to 37 degrees C, the EA moved into coated pits and coated vesicles within 2 min. Within 2 h of incubation at 37 degrees C with EA, the perinuclear cytoplasm of the CHO cells became highly refractile, and in 4 h, most of the cells were round; however, the majority of rounded cells excluded erythrosin B while remaining firmly attached to the culture dish plastic. When EA was removed from the cultured cells within 2 h, the cells returned to a normal morphology and formed a confluent monolayer. The nuclei of rounded cells were irregularly shaped; cytoplasmic intermediate filaments were collapsed toward the nucleus. Long bundles of parallel, 11-nm-diameter filaments appeared in the nuclei after 3 h of incubation with EA and disappeared by the fourth hour of incubation. Intoxicated cells did not undergo mitosis. Thus, EA was internalized, at least in part, by receptor-mediated endocytosis and subsequently affected the nuclei of CHO cells.

摘要

运用电子显微镜免疫细胞化学和光学显微镜技术研究艰难梭菌肠毒素A(EA)对培养的中国仓鼠卵巢(CHO)细胞的影响。在4℃时,免疫细胞化学检测到的EA沿质膜随机分布;当细胞随后转移至37℃时,EA在2分钟内移入被膜小窝和被膜小泡。在37℃用EA孵育2小时内,CHO细胞的核周细胞质变得高度折光,4小时后,大多数细胞呈圆形;然而,大多数圆形细胞排斥伊红B,同时仍牢固地附着于培养皿塑料上。若在2小时内从培养细胞中去除EA,细胞恢复正常形态并形成汇合单层。圆形细胞的细胞核形状不规则;细胞质中间丝向细胞核塌陷。与EA孵育3小时后,细胞核中出现直径11纳米的平行长束状细丝,孵育至第四小时消失。中毒细胞不进行有丝分裂。因此,EA至少部分通过受体介导的内吞作用被内化,随后影响CHO细胞的细胞核。

https://cdn.ncbi.nlm.nih.gov/pmc/blobs/e1f0/259926/9c025b4f666f/iai00072-0255-a.jpg

相似文献

1
Effect of Clostridium difficile enterotoxin A on ultrastructure of Chinese hamster ovary cells.
Infect Immun. 1989 Dec;57(12):3914-21. doi: 10.1128/iai.57.12.3914-3921.1989.
6
Relationship between levels of Clostridium difficile toxin A and toxin B and cecal lesions in gnotobiotic mice.
Infect Immun. 1989 Jul;57(7):2123-7. doi: 10.1128/iai.57.7.2123-2127.1989.
7
Interaction of Clostridium difficile toxin A with cultured cells: cytoskeletal changes and nuclear polarization.
Infect Immun. 1990 Jul;58(7):2329-36. doi: 10.1128/iai.58.7.2329-2336.1990.
8
Clostridium difficile Toxin Biology.
Annu Rev Microbiol. 2017 Sep 8;71:281-307. doi: 10.1146/annurev-micro-090816-093458. Epub 2017 Jun 28.
9
Biological mode of action of Clostridium difficile toxin A: a novel enterotoxin.
J Med Microbiol. 1987 May;23(3):211-9. doi: 10.1099/00222615-23-3-211.
10
Effects of Clostridium difficile toxin on tissue-cultured cells.
J Infect Dis. 1980 Feb;141(2):218-22. doi: 10.1093/infdis/141.2.218.

引用本文的文献

1
An Updated View on the Cellular Uptake and Mode-of-Action of Clostridioides difficile Toxins.
Adv Exp Med Biol. 2024;1435:219-247. doi: 10.1007/978-3-031-42108-2_11.
2
Recombinant Mucin-Type Fusion Proteins with a Galα1,3Gal Substitution as Clostridium difficile Toxin A Inhibitors.
Infect Immun. 2016 Sep 19;84(10):2842-52. doi: 10.1128/IAI.00341-16. Print 2016 Oct.
3
Cellular internalisation of bacterial toxins.
Cytotechnology. 1991 Feb;5(Suppl 1):63-6. doi: 10.1007/BF00736811.
4
Clostridial glucosylating toxins enter cells via clathrin-mediated endocytosis.
PLoS One. 2010 May 17;5(5):e10673. doi: 10.1371/journal.pone.0010673.
5
Interaction of Clostridium difficile toxin A with cultured cells: cytoskeletal changes and nuclear polarization.
Infect Immun. 1990 Jul;58(7):2329-36. doi: 10.1128/iai.58.7.2329-2336.1990.

本文引用的文献

1
Effects of the two toxins of Clostridium difficile in antibiotic-associated cecitis in hamsters.
Infect Immun. 1982 May;36(2):822-9. doi: 10.1128/iai.36.2.822-829.1982.
2
Biological activities of toxins A and B of Clostridium difficile.
Infect Immun. 1982 Mar;35(3):1147-50. doi: 10.1128/iai.35.3.1147-1150.1982.
3
Purification and characterization of toxins A and B of Clostridium difficile.
Infect Immun. 1982 Mar;35(3):1032-40. doi: 10.1128/iai.35.3.1032-1040.1982.
4
Molecular and cellular effects of heat-shock and related treatments of mammalian tissue-culture cells.
Cold Spring Harb Symp Quant Biol. 1982;46 Pt 2:985-96. doi: 10.1101/sqb.1982.046.01.092.
7
Ultrastructural effects of Clostridium difficile toxin B on smooth muscle cells and fibroblasts.
Exp Cell Res. 1983 Oct 15;148(2):413-22. doi: 10.1016/0014-4827(83)90163-5.
8
Differential cytotoxic effects of toxins A and B isolated from Clostridium difficile.
Infect Immun. 1984 Nov;46(2):324-31. doi: 10.1128/iai.46.2.324-331.1984.
9
Interaction of Clostridium difficile toxin A with L cells in culture.
Can J Microbiol. 1984 Jul;30(7):874-83. doi: 10.1139/m84-137.

文献AI研究员

20分钟写一篇综述,助力文献阅读效率提升50倍。

立即体验

用中文搜PubMed

大模型驱动的PubMed中文搜索引擎

马上搜索

文档翻译

学术文献翻译模型,支持多种主流文档格式。

立即体验