• 文献检索
  • 文档翻译
  • 深度研究
  • 学术资讯
  • Suppr Zotero 插件Zotero 插件
  • 邀请有礼
  • 套餐&价格
  • 历史记录
应用&插件
Suppr Zotero 插件Zotero 插件浏览器插件Mac 客户端Windows 客户端微信小程序
定价
高级版会员购买积分包购买API积分包
服务
文献检索文档翻译深度研究API 文档MCP 服务
关于我们
关于 Suppr公司介绍联系我们用户协议隐私条款
关注我们

Suppr 超能文献

核心技术专利:CN118964589B侵权必究
粤ICP备2023148730 号-1Suppr @ 2026

文献检索

告别复杂PubMed语法,用中文像聊天一样搜索,搜遍4000万医学文献。AI智能推荐,让科研检索更轻松。

立即免费搜索

文件翻译

保留排版,准确专业,支持PDF/Word/PPT等文件格式,支持 12+语言互译。

免费翻译文档

深度研究

AI帮你快速写综述,25分钟生成高质量综述,智能提取关键信息,辅助科研写作。

立即免费体验

引起气腹的结肠积气症。

Pneumatosis coli causing pneumoperitoneum.

作者信息

Nishimura Jennifer M, Farzaneh Ted, Pigazzi Alessio

机构信息

Department of Surgery, University of California, Irvine, Orange, CA, USA.

Department of Pathology and Laboratory Medicine, University of California, Irvine, Orange, CA, USA.

出版信息

J Surg Case Rep. 2017 Jan 17;2017(1):rjw233. doi: 10.1093/jscr/rjw233.

DOI:10.1093/jscr/rjw233
PMID:28096327
原文链接:https://pmc.ncbi.nlm.nih.gov/articles/PMC5241713/
Abstract

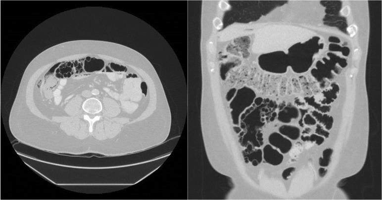
This is a case of a 54-year-old gentleman who presented to an outside hospital emergency department with lower abdominal pain. Computed tomography imaging showed a small amount of intraperitoneal free air and cystic pneumatosis coli. He was admitted, managed conservatively with intravenous antibiotics, and then discharged home after his symptoms improved. Elective laparoscopic sigmoid colectomy was subsequently performed with intraoperative findings of partial sigmoid volvulus and extensive pneumatosis coli of the sigmoid colon. Pneumoperitoneum was determined to be from ruptured intramural cysts. The etiology of pneumatosis coli was likely from chronic sigmoid volvulus.

摘要

这是一名54岁男性患者的病例,他因下腹部疼痛前往外院急诊科就诊。计算机断层扫描成像显示腹腔内有少量游离气体和结肠囊样积气。他入院后接受了静脉抗生素保守治疗,症状改善后出院。随后进行了择期腹腔镜乙状结肠切除术,术中发现部分乙状结肠扭转和乙状结肠广泛积气。确定气腹是由壁内囊肿破裂所致。结肠积气的病因可能是慢性乙状结肠扭转。

https://cdn.ncbi.nlm.nih.gov/pmc/blobs/f480/5241713/169fc9a37364/rjw233f06.jpg
https://cdn.ncbi.nlm.nih.gov/pmc/blobs/f480/5241713/502a0e13cd3f/rjw233f01.jpg
https://cdn.ncbi.nlm.nih.gov/pmc/blobs/f480/5241713/cda0be2197ff/rjw233f02.jpg
https://cdn.ncbi.nlm.nih.gov/pmc/blobs/f480/5241713/54d8a923ddd0/rjw233f03.jpg
https://cdn.ncbi.nlm.nih.gov/pmc/blobs/f480/5241713/5b13331c7a4c/rjw233f04.jpg
https://cdn.ncbi.nlm.nih.gov/pmc/blobs/f480/5241713/17aa0671a01f/rjw233f05.jpg
https://cdn.ncbi.nlm.nih.gov/pmc/blobs/f480/5241713/169fc9a37364/rjw233f06.jpg
https://cdn.ncbi.nlm.nih.gov/pmc/blobs/f480/5241713/502a0e13cd3f/rjw233f01.jpg
https://cdn.ncbi.nlm.nih.gov/pmc/blobs/f480/5241713/cda0be2197ff/rjw233f02.jpg
https://cdn.ncbi.nlm.nih.gov/pmc/blobs/f480/5241713/54d8a923ddd0/rjw233f03.jpg
https://cdn.ncbi.nlm.nih.gov/pmc/blobs/f480/5241713/5b13331c7a4c/rjw233f04.jpg
https://cdn.ncbi.nlm.nih.gov/pmc/blobs/f480/5241713/17aa0671a01f/rjw233f05.jpg
https://cdn.ncbi.nlm.nih.gov/pmc/blobs/f480/5241713/169fc9a37364/rjw233f06.jpg

相似文献

1
Pneumatosis coli causing pneumoperitoneum.引起气腹的结肠积气症。
J Surg Case Rep. 2017 Jan 17;2017(1):rjw233. doi: 10.1093/jscr/rjw233.
2
Pneumatosis cystoides intestinalis presenting as pneumoperitoneum in a patient with chronic obstructive pulmonary disease: a case report.慢性阻塞性肺疾病患者以气腹形式表现的肠壁囊样积气症:一例报告
J Med Case Rep. 2017 Feb 28;11(1):55. doi: 10.1186/s13256-017-1198-2.
3
A lethal case of pneumatosis intestinalis complicated by small bowel volvulus.一例致命的肠壁积气并发小肠扭转病例。
Clin J Gastroenterol. 2009 Feb;2(1):22-26. doi: 10.1007/s12328-008-0038-8. Epub 2008 Nov 19.
4
Elective laparoscopically assisted sigmoidectomy for the sigmoid volvulus.择期腹腔镜辅助乙状结肠切除术治疗乙状结肠扭转
Surg Endosc. 2006 Nov;20(11):1772-3. doi: 10.1007/s00464-005-0665-9.
5
Benign pneumatosis intestinalis in the setting of celiac disease.乳糜泻背景下的良性小肠积气症。
J Gastrointest Surg. 2006 Jun;10(6):890-4. doi: 10.1016/j.gassur.2005.11.004.
6
Pneumatosis coli associated with sigmoid volvulus and colonoscopy.乙状结肠扭转及结肠镜检查相关的结肠积气症
Am J Gastroenterol. 1976 Mar;65(3):209-14.
7
[Pneumatosis cystoides intestinalis (PCI) with sigmoid volvulus:a case potentially associated with lymphatic vessels].伴有乙状结肠扭转的肠壁囊样积气症(PCI):一例可能与淋巴管相关的病例
Nihon Shokakibyo Gakkai Zasshi. 2018;115(1):94-100. doi: 10.11405/nisshoshi.115.94.
8
Colonic stenting for malignant colonic obstruction with pneumatosis intestinalis: A case report.结肠支架置入术治疗合并肠壁积气的恶性结肠梗阻:一例报告
Int J Surg Case Rep. 2016;26:38-41. doi: 10.1016/j.ijscr.2016.07.012. Epub 2016 Jul 14.
9
Pneumatosis coli and sigmoid volvulus: a report of 4 cases.
Br J Surg. 1979 Nov;66(11):802-5. doi: 10.1002/bjs.1800661115.
10
Laparoscopic sigmoidopexy by extraperitonealization of sigmoid colon for sigmoid volvulus: two cases.腹腔镜下乙状结肠外置术治疗乙状结肠扭转:两例报告
Surg Laparosc Endosc Percutan Tech. 2003 Aug;13(4):283-5. doi: 10.1097/00129689-200308000-00013.

引用本文的文献

1
The Challenge of Pneumatosis Intestinalis: A Contemporary Systematic Review.肠壁积气的挑战:一项当代系统评价
J Pers Med. 2024 Jan 31;14(2):167. doi: 10.3390/jpm14020167.
2
Incidental pneumoperitoneum due to pneumatosis intestinalis: A rare case of benign pneumoperitoneum.因肠壁积气导致的偶然气腹:一例罕见的良性气腹病例。
Int J Surg Case Rep. 2024 Mar;116:109363. doi: 10.1016/j.ijscr.2024.109363. Epub 2024 Feb 8.

本文引用的文献

1
A systematic analysis of pneumatosis cystoids intestinalis.肠气囊肿症的系统分析。
World J Gastroenterol. 2013 Aug 14;19(30):4973-8. doi: 10.3748/wjg.v19.i30.4973.
2
Management and outcome of pneumatosis intestinalis.肠壁积气的管理与预后
Am J Surg. 2008 May;195(5):679-82; discussion 682-3. doi: 10.1016/j.amjsurg.2008.01.011.
3
PNEUMATOSIS CYSTOIDES INTESTINALIS INVOLVING THE LEFT SIDE OF THE COLON.累及结肠左侧的肠壁囊样积气症
Can Med Assoc J. 1964 Aug 1;91(5):219-24.
4
Pneumatosis coli and sigmoid volvulus: a report of 4 cases.
Br J Surg. 1979 Nov;66(11):802-5. doi: 10.1002/bjs.1800661115.