Suppr超能文献

MicroRNA-141 通过靶向一组促进转移的基因来抑制前列腺癌干细胞和转移。

MicroRNA-141 suppresses prostate cancer stem cells and metastasis by targeting a cohort of pro-metastasis genes.

机构信息

Department of Epigenetics and Molecular Carcinogenesis, University of Texas MD Anderson Cancer Center, Science Park, Texas 78957, USA.

Cancer Stem Cell Institute, Research Center for Translational Medicine, East Hospital, Tongji University School of Medicine, Shanghai 200120, China.

出版信息

Nat Commun. 2017 Jan 23;8:14270. doi: 10.1038/ncomms14270.

Abstract

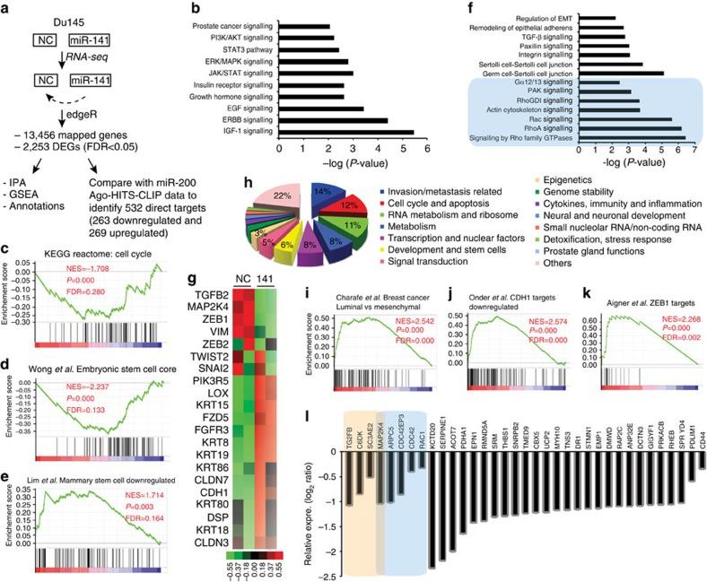
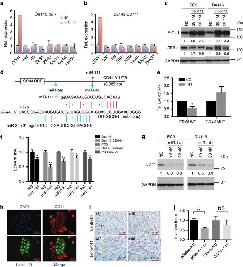
MicroRNAs play important roles in regulating tumour development, progression and metastasis. Here we show that one of the miR-200 family members, miR-141, is under-expressed in several prostate cancer (PCa) stem/progenitor cell populations in both xenograft and primary patient tumours. Enforced expression of miR-141 in CD44 and bulk PCa cells inhibits cancer stem cell properties including holoclone and sphere formation, as well as invasion, and suppresses tumour regeneration and metastasis. Moreover, miR-141 expression enforces a strong epithelial phenotype with a partial loss of mesenchymal phenotype. Whole-genome RNA sequencing uncovers novel miR-141-regulated molecular targets in PCa cells including the Rho GTPase family members (for example, CDC42, CDC42EP3, RAC1 and ARPC5) and stem cell molecules CD44 and EZH2, all of which are validated as direct and functionally relevant targets of miR-141. Our results suggest that miR-141 employs multiple mechanisms to obstruct tumour growth and metastasis.

摘要

微小 RNA 在调节肿瘤发生、发展和转移方面发挥着重要作用。在这里,我们表明,miR-200 家族的一个成员 miR-141 在异种移植和原发性患者肿瘤中的几种前列腺癌 (PCa) 干细胞/祖细胞群体中表达不足。miR-141 在 CD44 和 bulk PCa 细胞中的强制表达抑制了包括 holoclone 和球体形成在内的癌症干细胞特性,以及侵袭,并抑制肿瘤再生和转移。此外,miR-141 的表达强制表现出强烈的上皮表型,部分丧失了间充质表型。全基因组 RNA 测序揭示了 PCa 细胞中 miR-141 调控的新分子靶标,包括 Rho GTPase 家族成员(例如,CDC42、CDC42EP3、RAC1 和 ARPC5)和干细胞分子 CD44 和 EZH2,所有这些都被验证为 miR-141 的直接和功能相关靶标。我们的研究结果表明,miR-141 通过多种机制来阻止肿瘤生长和转移。

https://cdn.ncbi.nlm.nih.gov/pmc/blobs/b67d/5264244/66aaf354dd96/ncomms14270-f1.jpg

文献AI研究员

20分钟写一篇综述,助力文献阅读效率提升50倍。

立即体验

用中文搜PubMed

大模型驱动的PubMed中文搜索引擎

马上搜索

文档翻译

学术文献翻译模型,支持多种主流文档格式。

立即体验