Suppr超能文献

食管旁疝患者出现急腹症,导致急性呼吸功能受损:一例病例报告。

Acute abdomen in a patient with paraesophageal hernia, resulting in acute compromised respiratory function: A case report.

作者信息

Mekhael Mira, El-Hussuna Alaa

机构信息

Department of Gastrointestinal Surgery, Aalborg University Hospital, 9000 Aalborg, Denmark.

出版信息

Int J Surg Case Rep. 2017;31:180-183. doi: 10.1016/j.ijscr.2017.01.051. Epub 2017 Jan 23.

Abstract

INTRODUCTION

We present a case of acute abdomen, causing increased intra-abdominal pressure, leading to further herniation of an existing paraesophageal hernia, and consequently acute compromised respiratory function. This acute respiratory complication to a paraesophageal hernia has not previously been reported.

PRESENTATION OF CASE

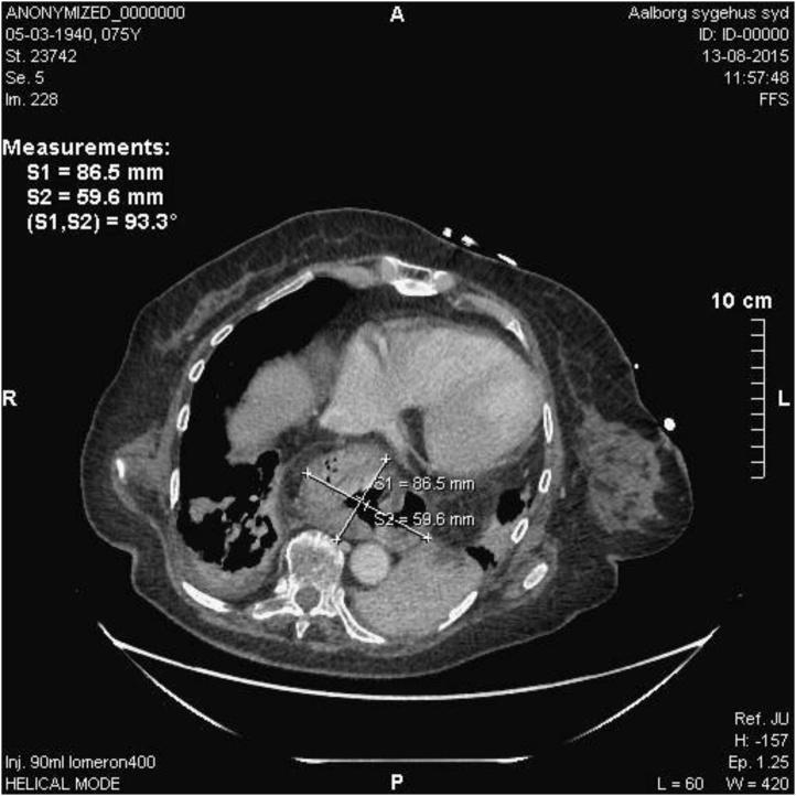
We present a case of a 75-year-old female who was acutely admitted with stridor. The patient was known to have a paraesophageal hernia monitored using watchful waiting, and dyspnoea. The patient's condition deteriorated, leading to intubation. Diagnostic imaging revealed a paraesophageal hernia pressing onto the trachea as well as appendicitis and ileus. Surgery confirmed perforated appendicitis, peritonitis, and ileus causing high intra-abdominal pressure, resulting in further herniation of the paraesophageal hernia as a cause for acute compromised respiratory function. Appendectomy and gastropexy were performed. The patient was later discharged to rehabilitation.

DISCUSSION

Patients with pulmonary symptoms caused by a paraesophageal hernia, especially patients with sizeable hernias, could potentially be in greater risk of severe airway affection if complicated by acute abdomen. These patients could benefit from elective hernia repair, rather than watchful waiting, as it would eliminate pulmonary symptoms and prevent similar cases. Patients monitored using watchful waiting should be informed that acute abdomen could cause acute compromised respiratory function.

CONCLUSION

Any case of acute abdomen causing high intra-abdominal pressure could potentially cause further herniation of an existing paraesophageal hernia, resulting in acute compromised respiratory function. In patients known to have a paraesophageal hernia, similar cases should be suspected if the patient presents with acute breathing difficulties.

摘要

引言

我们报告一例急性腹痛病例,该病例导致腹内压升高,致使现有的食管旁疝进一步突出,进而导致急性呼吸功能受损。此前尚未报道过食管旁疝的这种急性呼吸并发症。

病例介绍

我们报告一例75岁女性患者,因急性喘鸣入院。已知该患者患有食管旁疝,一直采用观察等待策略进行监测,且有呼吸困难症状。患者病情恶化,最终进行了插管。诊断性影像学检查显示食管旁疝压迫气管,同时伴有阑尾炎和肠梗阻。手术证实为穿孔性阑尾炎、腹膜炎和肠梗阻,导致腹内压升高,致使食管旁疝进一步突出,成为急性呼吸功能受损的原因。进行了阑尾切除术和胃固定术。患者后来出院接受康复治疗。

讨论

由食管旁疝引起肺部症状的患者,尤其是疝较大的患者,如果并发急性腹痛,可能面临更严重的气道受累风险。这些患者可能会从择期疝修补术中受益,而不是观察等待,因为这可以消除肺部症状并预防类似情况的发生。对于采用观察等待策略监测的患者,应告知他们急性腹痛可能导致急性呼吸功能受损。

结论

任何导致腹内压升高的急性腹痛病例都可能致使现有的食管旁疝进一步突出,从而导致急性呼吸功能受损。对于已知患有食管旁疝的患者,如果出现急性呼吸困难,应怀疑有类似情况。

https://cdn.ncbi.nlm.nih.gov/pmc/blobs/5424/5293725/a87c56026dc3/gr1.jpg

文献AI研究员

20分钟写一篇综述,助力文献阅读效率提升50倍。

立即体验

用中文搜PubMed

大模型驱动的PubMed中文搜索引擎

马上搜索

文档翻译

学术文献翻译模型,支持多种主流文档格式。

立即体验