Suppr超能文献

胸腔内胃:一例误诊病例。

Gastrothorax: A case of mistaken identity.

作者信息

Wickramasinghe Shehan, Ruggiero Boris, Low Liang

机构信息

Upper Gastrointestinal and Hepatobiliary Surgical Unit, Monash Health, 246 Clayton Road, Victoria 3168, Australia.

Upper Gastrointestinal and Hepatobiliary Surgical Unit, Monash Health, 246 Clayton Road, Victoria 3168, Australia.

出版信息

Int J Surg Case Rep. 2018;44:66-69. doi: 10.1016/j.ijscr.2018.02.022. Epub 2018 Feb 17.

Abstract

INTRODUCTION

Acute wrap failure post fundoplication is a rare but recognized complication and can be due to patient factors, disease factors and surgical factors. Herniation of the stomach into the thorax can mimic a pneumothorax clinically and radiologically and thus lead to bad outcomes for patients.

PRESENTATION OF CASE

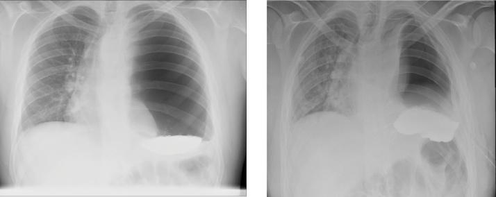
We report the case of a 20-year-old male who presented to the emergency department with progressively worsening upper abdominal pain, nausea and vomiting followed by acute onset dyspnoea, six days post a laparoscopic repair of a small hiatus hernia and a Nissen fundoplication. His chest x-ray was consistent with that of a left sided pneumothorax and was therefore, appropriately resuscitated and treated with an intercostal catheter (ICC). A subsequent CT scan of the chest revealed a left gastrothorax. The patient was taken to theatre for the surgical reduction of the paraoesophageal hernia.

DISCUSSION

Patients with a recent history of anti-reflux surgery, who present with a pneumothorax and respiratory distress or a tension pneumothorax should always be treated with an ICC. However, follow up imaging with a CT scan is essential to confirm diagnosis. Good control of post- operative nausea and vomiting is essential in avoiding wrap failure and ensuing complications.

CONCLUSION

A high index of suspicion for a gastrothorax mimicking a pneumothorax is important in the setting of recent anti-reflux surgery.

摘要

引言

胃底折叠术后急性包裹失败是一种罕见但已被认识到的并发症,可能由患者因素、疾病因素和手术因素引起。胃疝入胸腔在临床和影像学上可类似气胸,从而给患者带来不良后果。

病例介绍

我们报告一例20岁男性病例,该患者在腹腔镜修复小型食管裂孔疝和进行nissen胃底折叠术后6天,因上腹部疼痛、恶心和呕吐逐渐加重,随后急性发作呼吸困难而就诊于急诊科。他的胸部X光片与左侧气胸相符,因此进行了适当的复苏,并采用肋间导管(ICC)进行治疗。随后的胸部CT扫描显示为左膈下胃疝。患者被送往手术室进行食管旁疝的手术复位。

讨论

近期有抗反流手术史、出现气胸和呼吸窘迫或张力性气胸的患者,应始终采用肋间导管进行治疗。然而,后续进行CT扫描成像对于确诊至关重要。良好控制术后恶心和呕吐对于避免包裹失败及随之而来的并发症至关重要。

结论

在近期抗反流手术的情况下,高度怀疑膈下胃疝类似气胸很重要。

https://cdn.ncbi.nlm.nih.gov/pmc/blobs/ac00/5835008/86008ecc78ed/gr1.jpg

文献AI研究员

20分钟写一篇综述,助力文献阅读效率提升50倍。

立即体验

用中文搜PubMed

大模型驱动的PubMed中文搜索引擎

马上搜索

文档翻译

学术文献翻译模型,支持多种主流文档格式。

立即体验