• 文献检索
  • 文档翻译
  • 深度研究
  • 学术资讯
  • Suppr Zotero 插件Zotero 插件
  • 邀请有礼
  • 套餐&价格
  • 历史记录
应用&插件
Suppr Zotero 插件Zotero 插件浏览器插件Mac 客户端Windows 客户端微信小程序
定价
高级版会员购买积分包购买API积分包
服务
文献检索文档翻译深度研究API 文档MCP 服务
关于我们
关于 Suppr公司介绍联系我们用户协议隐私条款
关注我们

Suppr 超能文献

核心技术专利:CN118964589B侵权必究
粤ICP备2023148730 号-1Suppr @ 2026

文献检索

告别复杂PubMed语法,用中文像聊天一样搜索,搜遍4000万医学文献。AI智能推荐,让科研检索更轻松。

立即免费搜索

文件翻译

保留排版,准确专业,支持PDF/Word/PPT等文件格式,支持 12+语言互译。

免费翻译文档

深度研究

AI帮你快速写综述,25分钟生成高质量综述,智能提取关键信息,辅助科研写作。

立即免费体验

膀胱癌细胞的生长和迁移涉及大麻素 2 型受体介导的鞘脂代谢修饰。

Bladder cancer cell growth and motility implicate cannabinoid 2 receptor-mediated modifications of sphingolipids metabolism.

机构信息

Division of Experimental Oncology/Unit of Urology; URI; IRCCS Ospedale San Raffaele, Milan, Italy.

Department of Medical Biotechnology and Translational Medicine, University of Milano, Segrate, Italy.

出版信息

Sci Rep. 2017 Feb 13;7:42157. doi: 10.1038/srep42157.

DOI:10.1038/srep42157
PMID:28191815
原文链接:https://pmc.ncbi.nlm.nih.gov/articles/PMC5304189/
Abstract

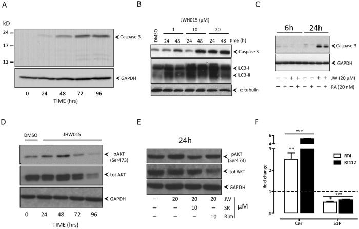
The inhibitory effects demonstrated by activation of cannabinoid receptors (CB) on cancer proliferation and migration may also play critical roles in controlling bladder cancer (BC). CB expression on human normal and BC specimens was tested by immunohistochemistry. Human BC cells RT4 and RT112 were challenged with CB agonists and assessed for proliferation, apoptosis, and motility. Cellular sphingolipids (SL) constitution and metabolism were evaluated after metabolic labelling. CB1-2 were detected in BC specimens, but only CB2 was more expressed in the tumour. Both cell lines expressed similar CB2. Exposure to CB2 agonists inhibited BC growth, down-modulated Akt, induced caspase 3-activation and modified SL metabolism. Baseline SL analysis in cell lines showed differences linked to unique migratory behaviours and cytoskeletal re-arrangements. CB2 activation changed the SL composition of more aggressive RT112 cells by reducing (p < 0.01) Gb3 ganglioside (-50 ± 3%) and sphingosine 1-phosphate (S1P, -40 ± 4%), which ended up to reduction in cell motility (-46 ± 5%) with inhibition of p-SRC. CB2-selective antagonists, gene silencing and an inhibitor of SL biosynthesis partially prevented CB2 agonist-induced effects on cell viability and motility. CB2 activation led to ceramide-mediated BC cell apoptosis independently of SL constitutive composition, which instead was modulated by CB2 agonists to reduce cell motility.

摘要

大麻素受体(CB)的激活对癌症增殖和迁移的抑制作用也可能在控制膀胱癌(BC)方面发挥关键作用。通过免疫组织化学测试了人正常和 BC 标本上的 CB 表达。用 CB 激动剂刺激人 BC 细胞 RT4 和 RT112,并评估增殖、凋亡和迁移。在代谢标记后评估细胞神经鞘脂(SL)组成和代谢。在 BC 标本中检测到 CB1-2,但仅 CB2 在肿瘤中表达更高。两种细胞系均表达相似的 CB2。暴露于 CB2 激动剂可抑制 BC 生长、下调 Akt、诱导 caspase 3 激活并改变 SL 代谢。细胞系中的基线 SL 分析显示与独特的迁移行为和细胞骨架重排相关的差异。CB2 激活通过减少(p < 0.01)Gb3 神经节苷脂(-50 ± 3%)和 1-磷酸鞘氨醇(S1P,-40 ± 4%)来改变更具侵袭性的 RT112 细胞的 SL 组成,从而导致细胞迁移减少(-46 ± 5%),并抑制 p-SRC。CB2 选择性拮抗剂、基因沉默和 SL 生物合成抑制剂部分阻止了 CB2 激动剂对细胞活力和迁移的影响。CB2 激活导致神经酰胺介导的 BC 细胞凋亡,独立于 SL 组成成分,而 CB2 激动剂则通过调节 SL 来减少细胞迁移。

https://cdn.ncbi.nlm.nih.gov/pmc/blobs/8609/5304189/e32385d8839e/srep42157-f5.jpg
https://cdn.ncbi.nlm.nih.gov/pmc/blobs/8609/5304189/d1b3b7a12426/srep42157-f1.jpg
https://cdn.ncbi.nlm.nih.gov/pmc/blobs/8609/5304189/95bad01cd54f/srep42157-f2.jpg
https://cdn.ncbi.nlm.nih.gov/pmc/blobs/8609/5304189/9485ed52cb17/srep42157-f3.jpg
https://cdn.ncbi.nlm.nih.gov/pmc/blobs/8609/5304189/f4775d52aa3f/srep42157-f4.jpg
https://cdn.ncbi.nlm.nih.gov/pmc/blobs/8609/5304189/e32385d8839e/srep42157-f5.jpg
https://cdn.ncbi.nlm.nih.gov/pmc/blobs/8609/5304189/d1b3b7a12426/srep42157-f1.jpg
https://cdn.ncbi.nlm.nih.gov/pmc/blobs/8609/5304189/95bad01cd54f/srep42157-f2.jpg
https://cdn.ncbi.nlm.nih.gov/pmc/blobs/8609/5304189/9485ed52cb17/srep42157-f3.jpg
https://cdn.ncbi.nlm.nih.gov/pmc/blobs/8609/5304189/f4775d52aa3f/srep42157-f4.jpg
https://cdn.ncbi.nlm.nih.gov/pmc/blobs/8609/5304189/e32385d8839e/srep42157-f5.jpg

相似文献

1
Bladder cancer cell growth and motility implicate cannabinoid 2 receptor-mediated modifications of sphingolipids metabolism.膀胱癌细胞的生长和迁移涉及大麻素 2 型受体介导的鞘脂代谢修饰。
Sci Rep. 2017 Feb 13;7:42157. doi: 10.1038/srep42157.
2
Involvement of the CB cannabinoid receptor in cell growth inhibition and G0/G1 cell cycle arrest via the cannabinoid agonist WIN 55,212-2 in renal cell carcinoma.大麻素 CB 受体通过大麻素激动剂 WIN 55,212-2 参与肾细胞癌细胞生长抑制和 G0/G1 细胞周期阻滞。
BMC Cancer. 2018 May 23;18(1):583. doi: 10.1186/s12885-018-4496-1.
3
Cannabinoid receptors, CB1 and CB2, as novel targets for inhibition of non-small cell lung cancer growth and metastasis.大麻素受体,CB1 和 CB2,作为抑制非小细胞肺癌生长和转移的新靶点。
Cancer Prev Res (Phila). 2011 Jan;4(1):65-75. doi: 10.1158/1940-6207.CAPR-10-0181. Epub 2010 Nov 19.
4
Granulocyte Colony-Stimulating Factor Enhances Brain Repair Following Traumatic Brain Injury Without Requiring Activation of Cannabinoid Receptors.粒细胞集落刺激因子增强创伤性脑损伤后的脑修复,而无需激活大麻素受体。
Cannabis Cannabinoid Res. 2021 Feb 12;6(1):48-57. doi: 10.1089/can.2019.0090. eCollection 2021.
5
Cannabinoid receptor activation induces apoptosis through tumor necrosis factor alpha-mediated ceramide de novo synthesis in colon cancer cells.大麻素受体激活通过肿瘤坏死因子α介导的神经酰胺从头合成在结肠癌细胞中诱导凋亡。
Clin Cancer Res. 2008 Dec 1;14(23):7691-700. doi: 10.1158/1078-0432.CCR-08-0799.
6
Cannabinoid CB and CB receptors differentially regulate TNF-α-induced apoptosis and LPA-mediated pro-survival signaling in HT22 hippocampal cells.大麻素 CB1 和 CB2 受体对 HT22 海马细胞 TNF-α 诱导的细胞凋亡和 LPA 介导的促生存信号的差异调节。
Life Sci. 2021 Jul 1;276:119407. doi: 10.1016/j.lfs.2021.119407. Epub 2021 Mar 29.
7
Expression of cannabinoid 1 and, 2 receptors and the effects of cannabinoid 1 and, 2 receptor agonists on detrusor overactivity associated with bladder outlet obstruction in rats.大麻素 1 型和 2 型受体的表达及大麻素 1 型和 2 型受体激动剂对膀胱出口梗阻相关逼尿肌过度活动的影响。
BMC Urol. 2017 Dec 29;17(1):121. doi: 10.1186/s12894-017-0313-4.
8
Cannabinoid receptor expression in non-small cell lung cancer. Effectiveness of tetrahydrocannabinol and cannabidiol inhibiting cell proliferation and epithelial-mesenchymal transition in vitro.大麻素受体在非小细胞肺癌中的表达。四氢大麻酚和大麻二酚抑制体外细胞增殖和上皮-间充质转化的效果。
PLoS One. 2020 Feb 12;15(2):e0228909. doi: 10.1371/journal.pone.0228909. eCollection 2020.
9
Involvement of ERK1/2, cPLA2 and NF-κB in microglia suppression by cannabinoid receptor agonists and antagonists.大麻素受体激动剂和拮抗剂对小胶质细胞的抑制作用涉及 ERK1/2、cPLA2 和 NF-κB。
Prostaglandins Other Lipid Mediat. 2013 Jan;100-101:1-14. doi: 10.1016/j.prostaglandins.2012.11.003. Epub 2012 Dec 5.
10
Expression of cannabinoid receptors type 1 and type 2 in non-Hodgkin lymphoma: growth inhibition by receptor activation.1型和2型大麻素受体在非霍奇金淋巴瘤中的表达:受体激活对生长的抑制作用
Int J Cancer. 2008 Sep 1;123(5):1025-33. doi: 10.1002/ijc.23584.

引用本文的文献

1
SIGMAR1 screened by a GPCR-related classifier regulates endoplasmic reticulum stress in bladder cancer.通过GPCR相关分类器筛选出的SIGMAR1调节膀胱癌中的内质网应激。
J Transl Med. 2025 Apr 10;23(1):417. doi: 10.1186/s12967-025-06393-7.
2
Cannabinoid-Induced Immunogenic Cell Death of Colorectal Cancer Cells Through De Novo Synthesis of Ceramide Is Partially Mediated by CB2 Receptor.大麻素通过从头合成神经酰胺诱导结肠癌细胞发生免疫原性细胞死亡,部分由CB2受体介导。
Cancers (Basel). 2024 Nov 27;16(23):3973. doi: 10.3390/cancers16233973.
3
Reversion of chemoresistance by endocannabinoid-induced ER stress and autophagy activation in ovarian cancer.

本文引用的文献

1
Role of cannabinoid receptor CB2 in HER2 pro-oncogenic signaling in breast cancer.大麻素受体 CB2 在乳腺癌中 HER2 致癌信号中的作用。
J Natl Cancer Inst. 2015 Apr 8;107(6):djv077. doi: 10.1093/jnci/djv077. Print 2015 Jun.
2
Regulation of inflammation and proliferation of human bladder carcinoma cells by type-1 and type-2 cannabinoid receptors.1型和2型大麻素受体对人膀胱癌细胞炎症和增殖的调节
Life Sci. 2015 Oct 1;138:41-51. doi: 10.1016/j.lfs.2014.09.031. Epub 2014 Oct 15.
3
Cannabinoids as therapeutic agents in cancer: current status and future implications.
内源性大麻素诱导的内质网应激和自噬激活逆转卵巢癌的化疗耐药性
Am J Cancer Res. 2023 Sep 15;13(9):4163-4178. eCollection 2023.
4
Cannabidiol as a Promising Therapeutic Option in IC/BPS: In Vitro Evaluation of Its Protective Effects against Inflammation and Oxidative Stress.大麻二酚作为 IC/BPS 的一种有前途的治疗选择:体外评价其抗炎和抗氧化应激的保护作用。
Int J Mol Sci. 2023 Mar 6;24(5):5055. doi: 10.3390/ijms24055055.
5
Metabolomic and elemental profiling of blood serum in bladder cancer.膀胱癌患者血清的代谢组学和元素分析
J Pharm Anal. 2022 Dec;12(6):889-900. doi: 10.1016/j.jpha.2022.08.004. Epub 2022 Sep 2.
6
Synthesis and In Vitro Characterization of Selective Cannabinoid CB2 Receptor Agonists: Biological Evaluation against Neuroblastoma Cancer Cells.合成和体外鉴定选择性大麻素 CB2 受体激动剂:针对神经母细胞瘤癌细胞的生物学评价。
Molecules. 2022 May 7;27(9):3019. doi: 10.3390/molecules27093019.
7
Botanically-Derived Δ-Tetrahydrocannabinol and Cannabidiol, and Their 1:1 Combination, Modulate Toll-like Receptor 3 and 4 Signalling in Immune Cells from People with Multiple Sclerosis.植物源 Δ-四氢大麻酚和大麻二酚及其 1:1 组合可调节多发性硬化症患者免疫细胞中的 Toll 样受体 3 和 4 信号通路。
Molecules. 2022 Mar 8;27(6):1763. doi: 10.3390/molecules27061763.
8
Association between Arsenic Level, Gene Expression in Asian Population, and In Vitro Carcinogenic Bladder Tumor.砷水平与亚洲人群基因表达及体外膀胱癌致癌性的关联。
Oxid Med Cell Longev. 2022 Jan 7;2022:3459855. doi: 10.1155/2022/3459855. eCollection 2022.
9
Cannabinoid Drugs-Related Neuroprotection as a Potential Therapeutic Tool Against Chemotherapy-Induced Cognitive Impairment.大麻素类药物相关的神经保护作用作为一种对抗化疗引起的认知障碍的潜在治疗工具。
Front Pharmacol. 2021 Nov 12;12:734613. doi: 10.3389/fphar.2021.734613. eCollection 2021.
10
Pharmacological and Toxicological Effects of Phytocannabinoids and Recreational Synthetic Cannabinoids: Increasing Risk of Public Health.植物大麻素和消遣性合成大麻素的药理及毒理作用:公共健康风险与日俱增
Pharmaceuticals (Basel). 2021 Sep 24;14(10):965. doi: 10.3390/ph14100965.
大麻素作为癌症治疗药物:现状与未来展望
Oncotarget. 2014 Aug 15;5(15):5852-72. doi: 10.18632/oncotarget.2233.
4
Comprehensive molecular characterization of urothelial bladder carcinoma.尿路上皮膀胱癌的综合分子特征分析
Nature. 2014 Mar 20;507(7492):315-22. doi: 10.1038/nature12965. Epub 2014 Jan 29.
5
Integrative analysis of complex cancer genomics and clinical profiles using the cBioPortal.利用 cBioPortal 进行复杂癌症基因组学和临床特征的综合分析
Sci Signal. 2013 Apr 2;6(269):pl1. doi: 10.1126/scisignal.2004088.
6
Sphingolipids in apoptosis.凋亡中的鞘脂
Exp Oncol. 2012 Oct;34(3):231-42.
7
New directions for biologic targets in urothelial carcinoma.尿路上皮癌中生物靶点的新方向。
Mol Cancer Ther. 2012 Jun;11(6):1226-35. doi: 10.1158/1535-7163.MCT-11-0756. Epub 2012 May 9.
8
Towards the use of cannabinoids as antitumour agents.朝着将大麻素用作抗肿瘤药物的方向发展。
Nat Rev Cancer. 2012 May 4;12(6):436-44. doi: 10.1038/nrc3247.
9
Isoform-selective assays for sphingosine kinase activity.鞘氨醇激酶活性的亚型选择性测定法。
Methods Mol Biol. 2012;874:21-31. doi: 10.1007/978-1-61779-800-9_2.
10
Cannabinoids, endocannabinoids, and cancer.大麻素、内源性大麻素与癌症。
Cancer Metastasis Rev. 2011 Dec;30(3-4):599-612. doi: 10.1007/s10555-011-9318-8.