Suppr超能文献

三维心脏磁共振成像:相关技术与临床应用

Three-dimensional Cardiac MR Imaging: Related Techniques and Clinical Applications.

作者信息

Amano Yasuo, Yanagisawa Fumi, Tachi Masaki, Asai Kuniya, Suzuki Yasuyuki, Hashimoto Hidenobu, Ishihara Kiyohisa, Kumita Shinichiro

机构信息

Department of Radiology, Nihon University Hospital.

Department of Radiology, Nippon Medical School.

出版信息

Magn Reson Med Sci. 2017 Jul 10;16(3):183-189. doi: 10.2463/mrms.rev.2016-0116. Epub 2017 Feb 16.

Abstract

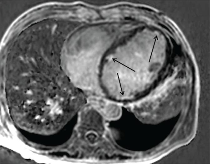
Three-dimensional (3D) cardiac magnetic resonance (MR) imaging has several advantages, including the easy coverage of the entire heart without misregistration, reduction of breath-holding times, and availability for postprocessing reconstruction. These advantages are associated with some techniques such as breath-hold or navigator gating and parallel imaging. However, the image quality of 3D cardiac MR images is compromised by the use of a shorter repetition time and parallel imaging. Thus, a steady-state free precession sequence, contrast agent administration, and presaturation pulses are used to maintain the image quality. In this review, we introduce the MR imaging techniques used in 3D cardiac MR imaging and demonstrate the typical 3D cardiac MR images, followed by discussion about their advantages and disadvantages.

摘要

三维(3D)心脏磁共振(MR)成像具有多个优点,包括能够轻松覆盖整个心脏且无配准错误、减少屏气时间以及可用于后处理重建。这些优点与一些技术相关,如屏气或导航门控以及并行成像。然而,使用较短的重复时间和并行成像会损害3D心脏MR图像的质量。因此,采用稳态自由进动序列、造影剂注射和预饱和脉冲来维持图像质量。在本综述中,我们介绍了3D心脏MR成像中使用的MR成像技术,并展示了典型的3D心脏MR图像,随后讨论了它们的优缺点。

https://cdn.ncbi.nlm.nih.gov/pmc/blobs/6327/5600024/37aa0af40ede/mrms-16-183-g1.jpg

文献AI研究员

20分钟写一篇综述,助力文献阅读效率提升50倍。

立即体验

用中文搜PubMed

大模型驱动的PubMed中文搜索引擎

马上搜索

文档翻译

学术文献翻译模型,支持多种主流文档格式。

立即体验