Suppr超能文献

使用正交交变电场凝胶电泳进行质粒迁移

Plasmid migration using orthogonal-field-alternation gel electrophoresis.

作者信息

Hightower R C, Metge D W, Santi D V

机构信息

Department of Biochemistry, University of California, San Francisco 94143.

出版信息

Nucleic Acids Res. 1987 Oct 26;15(20):8387-98. doi: 10.1093/nar/15.20.8387.

Abstract

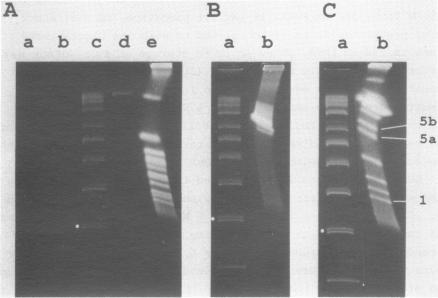
The migration properties of a series of supercoiled plasmids ranging in size from 4 to 16 kilobases (kb) have been analyzed by orthogonal-field-alternation gel electrophoresis (OFAGE). These circular DNAs enter the gel and are well resolved. Unlike linear DNA molecules, the relative mobilities of these plasmids are constant over a wide range of pulse times, from 10 to 120 seconds, as well as over a broad range of total running times, from 6 to 24 hours. Electrophoresis of supercoiled, relaxed, and nicked open circular forms as well as topoisomers of pBR322 shows that the extent of supercoiling has a dramatic effect on plasmid migration on OFAGE. Several practical applications for exploiting the different migration properties of circular and linear DNA molecules on OFAGE are presented.

摘要

通过正交交变电场凝胶电泳(OFAGE)分析了一系列大小从4到16千碱基(kb)的超螺旋质粒的迁移特性。这些环状DNA进入凝胶并得到很好的分离。与线性DNA分子不同,这些质粒的相对迁移率在很宽的脉冲时间范围(从10到120秒)以及总运行时间范围(从6到24小时)内都是恒定的。对pBR322的超螺旋、松弛和缺口开环形式以及拓扑异构体进行电泳表明,超螺旋程度对OFAGE上的质粒迁移有显著影响。本文还介绍了利用环状和线性DNA分子在OFAGE上不同迁移特性的几个实际应用。

https://cdn.ncbi.nlm.nih.gov/pmc/blobs/e2f1/306366/7dbf8fb366c4/nar00264-0268-a.jpg

文献检索

告别复杂PubMed语法,用中文像聊天一样搜索,搜遍4000万医学文献。AI智能推荐,让科研检索更轻松。

立即免费搜索

文件翻译

保留排版,准确专业,支持PDF/Word/PPT等文件格式,支持 12+语言互译。

免费翻译文档

深度研究

AI帮你快速写综述,25分钟生成高质量综述,智能提取关键信息,辅助科研写作。

立即免费体验