Ye Wei, Liu Taomei, Zhu Muzi, Zhang Weimin, Li Haohua, Huang Zilei, Li Saini
State Key Laboratory of Applied Microbiology Southern China, Guangdong Provincial Key Laboratory of Microbial Culture Collection and Application, Guangdong Open Laboratory of Applied Microbiology, Guangdong Institute of Microbiology, No. 100 Xianlie Middle Road, Yuexiu District, Guangzhou 510070, China.
Int J Mol Sci. 2017 Feb 25;18(3):497. doi: 10.3390/ijms18030497.
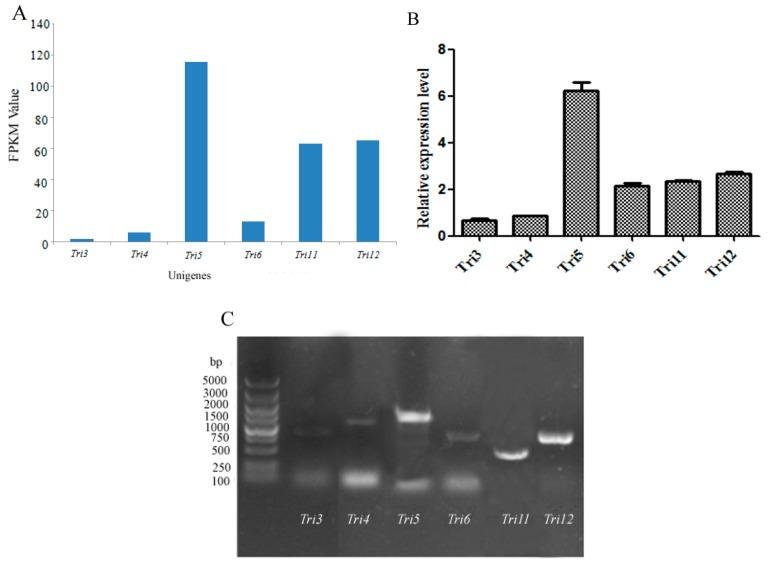
is a plant pathogenic fungus that infects different crops and decreases the yield of economical crops, including soybean, cotton, corn, pepper, and tomato. Until now, the pathogenic mechanism of has remained unclear. Different types of trichothecene mycotoxins were isolated from , and trichothecene was considered as a plant pathogenic factor of . In this study, the transcriptome of in different incubation durations was sequenced using an Illumina Hiseq 2000. A total of 35,485 transcripts and 25,996 unigenes for were obtained from 8.0 Gb clean reads. The protein-protein network of the transcriptome indicated that the mitogen-activated protein kinases signal pathway also played an important role in the pathogenicity of The genes related to trichothecene biosynthesis were annotated. The expression levels of these genes were also predicted and validated through quantitative real-time polymerase chain reaction. gene encoding trichodiene synthase was cloned and expressed, and the purified trichodiene synthase was able to catalyze farnesyl pyrophosphate into different kinds of sesquiterpenoids. and genes were expressed in , and their corresponding enzymatic properties were characterized. The phylogenetic tree of trichodiene synthase showed a great discrepancy between the trichodiene synthase from and other species. Our study on the genes related to trichothecene biosynthesis establishes a foundation for the hazard prevention, thus improving the yields of economical crops.
是一种植物病原真菌,可感染不同作物并降低经济作物的产量,包括大豆、棉花、玉米、辣椒和番茄。到目前为止,其致病机制仍不清楚。从该菌中分离出了不同类型的单端孢霉烯族毒素,单端孢霉烯被认为是该菌的一种植物致病因子。在本研究中,使用Illumina Hiseq 2000对该菌在不同培养时间的转录组进行了测序。从8.0 Gb的 clean reads中获得了该菌总共35,485个转录本和25,996个单基因。该菌转录组的蛋白质-蛋白质网络表明,丝裂原活化蛋白激酶信号通路在该菌的致病性中也起着重要作用。对与单端孢霉烯生物合成相关的基因进行了注释。还通过定量实时聚合酶链反应预测并验证了这些基因的表达水平。克隆并表达了编码 trichodiene 合酶的基因,纯化后的 trichodiene 合酶能够将法呢基焦磷酸催化生成不同种类的倍半萜。和基因在该菌中表达,并对其相应的酶学性质进行了表征。trichodiene 合酶的系统发育树显示该菌的 trichodiene 合酶与其他物种之间存在很大差异。我们对与单端孢霉烯生物合成相关基因的研究为预防该菌危害奠定了基础,从而提高经济作物的产量。