Suppr超能文献

miR-101-3p 通过直接靶向 SRF 抑制胃癌细胞中 HOX 转录物反义 RNA(HOTAIR)诱导的增殖和侵袭。

miR-101-3p Suppresses HOX Transcript Antisense RNA (HOTAIR)-Induced Proliferation and Invasion Through Directly Targeting SRF in Gastric Carcinoma Cells.

出版信息

Oncol Res. 2017 Sep 21;25(8):1383-1390. doi: 10.3727/096504017X14879366402279. Epub 2017 Mar 2.

Abstract

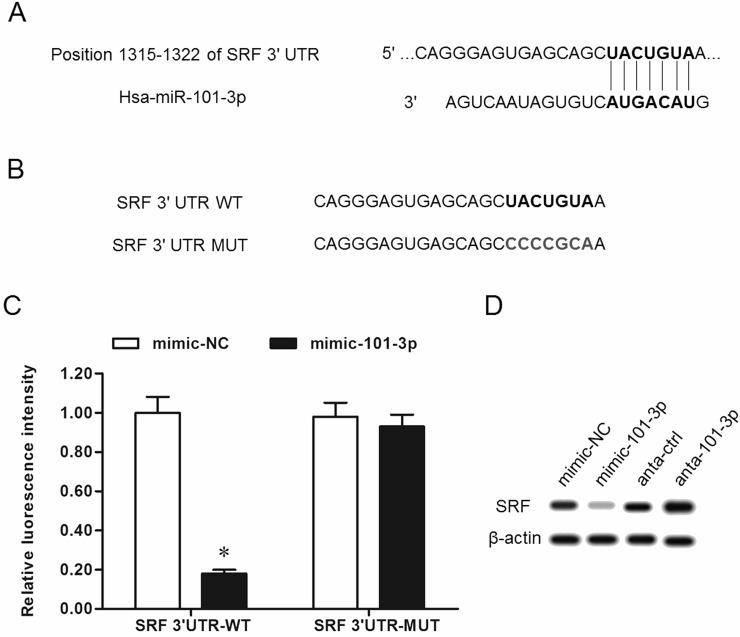
miR-101-3p has been identified as a tumor suppressor in several cancers, but its exact role in gastric adenocarcinoma is still largely unknown. In this study, we found that, compared with the RGM-1 human normal gastric epithelial cells, miR-101-3p was significantly downregulated in all six human gastric adenocarcinoma cell lines, including BGC-823, MNK-45, MGC-803, SGC-7901, AGS, and HGC-27. Overexpression of miR-101-3p suppressed both the proliferation and invasion of AGS gastric adenocarcinoma cells, and knockdown of miR-101-3p displayed the opposite effect. In addition, miR-101-3p could directly target and suppress the expression of the serum response factor (SRF) gene, which is a transcription factor of HOTAIR, a well-characterized tumor promoter lncRNA. miR-101-3p negatively regulated SRF-mediated transcription of HOTAIR. Moreover, silencing of either SRF or HOTAIR could counteract the promotion of gastric adenocarcinoma cell proliferation and invasion by miR-101-3p inhibition. Our findings indicate that miR-101-3p suppresses HOTAIR-induced proliferation and invasion through directly targeting SRF in gastric carcinoma cells.

摘要

miR-101-3p 已被鉴定为多种癌症中的肿瘤抑制因子,但它在胃腺癌中的确切作用仍知之甚少。在本研究中,我们发现与 RGM-1 人正常胃上皮细胞相比,miR-101-3p 在所有六种人胃腺癌细胞系中均显著下调,包括 BGC-823、MNK-45、MGC-803、SGC-7901、AGS 和 HGC-27。miR-101-3p 的过表达抑制了 AGS 胃腺癌细胞的增殖和侵袭,而 miR-101-3p 的敲低则显示出相反的效果。此外,miR-101-3p 可以直接靶向并抑制血清反应因子(SRF)基因的表达,该基因是 HOTAIR 的转录因子,HOTAIR 是一种特征明确的肿瘤促进长非编码 RNA。miR-101-3p 负调控 SRF 介导的 HOTAIR 转录。此外,沉默 SRF 或 HOTAIR 均可抵消 miR-101-3p 抑制对胃腺癌细胞增殖和侵袭的促进作用。我们的研究结果表明,miR-101-3p 通过直接靶向胃癌细胞中的 SRF 抑制 HOTAIR 诱导的增殖和侵袭。

https://cdn.ncbi.nlm.nih.gov/pmc/blobs/e9f5/7841108/fa12c4e0226e/OR-25-1383-g001.jpg

文献AI研究员

20分钟写一篇综述,助力文献阅读效率提升50倍。

立即体验

用中文搜PubMed

大模型驱动的PubMed中文搜索引擎

马上搜索

文档翻译

学术文献翻译模型,支持多种主流文档格式。

立即体验