Suppr超能文献

基因特征分析推动早期非小细胞肺癌(NSCLC)患者及异时性第二原发性肿瘤(MST)幸存者的个性化治疗:一例报告。

Genetic characterization drives personalized therapy for early-stage non-small-cell lung cancer (NSCLC) patients and survivors with metachronous second primary tumor (MST): A case report.

作者信息

Ding Xingchen, Wang Linlin, Liu Xijun, Sun Xindong, Yu Jinming, Meng Xue

机构信息

Department of Oncology, Weifang Medical University, Weifang Department of Radiation Oncology, Shandong Cancer Hospital Affiliated to Shandong University, Shandong Academy of Medical Science Department of Oncology, Shandong University Department of Radiation Oncology, Jinan Central Hospital, Jinan, China.

出版信息

Medicine (Baltimore). 2017 Mar;96(10):e6221. doi: 10.1097/MD.0000000000006221.

Abstract

RATIONALE

The pathogenesis and progression of lung cancer is a complicated process in which many genes take part. But molecular gene testing is typically only performed in advanced-stage non-squamous non-small-cell lung cancer (NSCLC). The value of tyrosine kinase inhibitors (TKI) administration is not widely recognized with respect to early-stage NSCLC.

PATIENT CONCERNS

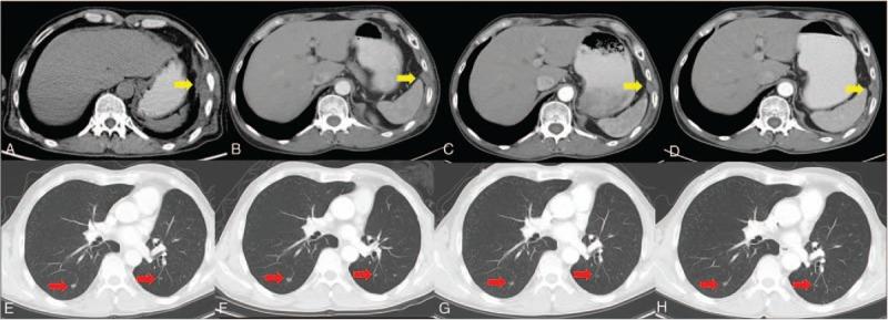
Here, we present a case of a man, heavy smoker who initially presented with stage IA lung adenocarcinoma (LADC). Three years after a lung lobectomy, he was diagnosed with advanced lung squamous cell carcinoma (SCC), according to laboratory, imaging, and pathological examinations.

DIAGNOSES

The case initially had an early-stage LADC with an L858R epidermal growth factor receptor (EGFR) mutation. A subsequent advanced SCC bearing EGFR L858R/T790M mutations occurred 3 years after surgery.

INTERVENTIONS

The comprehensive therapy we utilized, including surgical resection for the early-stage lesion and GP chemotherapy and local radiotherapy as the first line therapy along with gefitinib maintenance treatment for the advanced metachronous second primary tumors (MST).

OUTCOMES

The synthetical therapy, have resulted in our patient with remaining alive and progression free for 4.5 years.

LESSONS

This case suggests that changes in molecular pathology should be monitored closely throughout cancer progression to guide personalized therapy and improve prognosis. We further review administration of TKI to early-stage NSCLC and to the metachronous second primary tumors (MST) in survivors.

摘要

理论依据

肺癌的发病机制和进展是一个涉及众多基因的复杂过程。但分子基因检测通常仅在晚期非鳞状非小细胞肺癌(NSCLC)中进行。酪氨酸激酶抑制剂(TKI)在早期NSCLC中的应用价值尚未得到广泛认可。

患者情况

在此,我们报告一例男性病例,该患者为重度吸烟者,最初诊断为IA期肺腺癌(LADC)。肺叶切除术后三年,根据实验室、影像学和病理检查,他被诊断为晚期肺鳞状细胞癌(SCC)。

诊断

该病例最初为早期LADC,伴有L858R表皮生长因子受体(EGFR)突变。术后三年发生了随后的晚期SCC,伴有EGFR L858R/T790M突变。

干预措施

我们采用的综合治疗方法,包括对早期病变进行手术切除,以及将GP化疗和局部放疗作为一线治疗,同时对晚期异时性第二原发性肿瘤(MST)进行吉非替尼维持治疗。

结果

综合治疗使我们的患者存活且无进展达4.5年。

经验教训

该病例表明,在癌症进展过程中应密切监测分子病理学变化,以指导个性化治疗并改善预后。我们进一步回顾了TKI在早期NSCLC以及幸存者异时性第二原发性肿瘤(MST)中的应用。

https://cdn.ncbi.nlm.nih.gov/pmc/blobs/8efd/5348162/b96c4a09b630/medi-96-e6221-g001.jpg

文献AI研究员

20分钟写一篇综述,助力文献阅读效率提升50倍。

立即体验

用中文搜PubMed

大模型驱动的PubMed中文搜索引擎

马上搜索

文档翻译

学术文献翻译模型,支持多种主流文档格式。

立即体验