Suppr超能文献

Morphological Changes of Anterior Cerebral Artery (ACA) in Hydrocephalic Pediatric Patients.

作者信息

Ozturk Sait, Ayan Erdogan, Kaplan Metin

机构信息

Firat University, School of Medicine, Department of Neurosurgery, Elazig, Turkey.

Namık Kemal University, School of Medicine, Department of Neurosurgery, Tekirdag, Turkey.

出版信息

Iran J Child Neurol. 2017 Winter;11(1):37-42.

Abstract

OBJECTIVE

The morphology of anterior cerebral artery (ACA) in patients with hydrocephalus (HCP) was analyzed, and its importance was discussed in maintaining cerebral perfusion.

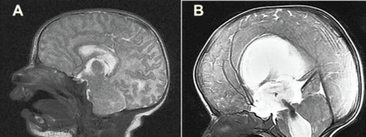
MATERIALS & METHODS: A total of 84 cases in 2 groups between 0 and 3 months, followed-up at Firat Universitesi Hastanesi, Beyin Cerrahisi Klinigi, Elazig, Turkiye due to in 2010-2013, were enrolled. Two groups were created for the study. Group 1; patients with HCP and Group 2; as control group without HCP. In both groups, the length of the A2 segment of ACA was measured from its origin to the junction of the genu and body portions of the corpus callosum on T2 mid-sagittal magnetic resonance (MR) scans. For all cases, axial MR imaging scans were used to calculate Evans' index (EI), and the cases were divided into three groups: Group A, EI ≥50%; Group B, EI of 40-50% and Group C, EI <40%. The two groups (Groups 1 and 2) were compared with respect to ACA length, and the correlation with the EI was quantified. P values below 0.05 were considered statistically significant.

RESULTS

Mean length of ACA was 57.3 mm in Group 1 and 37.5 mm in Group 2. EI increased as the length of ACA increased. A statistical comparison of the two groups revealed that the ACA length was significantly greater in Group 1. The relationship between EI and ACA length was statistically significant.

CONCLUSION

Reducing ventricular size appears to be an important factor in addition to reducing intracranial pressure in an attempt to maintain normal cerebral perfusion(CP).

摘要
https://cdn.ncbi.nlm.nih.gov/pmc/blobs/df86/5329758/3df8c572671e/ijcn-11-037-g001.jpg

文献AI研究员

20分钟写一篇综述,助力文献阅读效率提升50倍。

立即体验

用中文搜PubMed

大模型驱动的PubMed中文搜索引擎

马上搜索

文档翻译

学术文献翻译模型,支持多种主流文档格式。

立即体验