Suppr超能文献

中间电导钙激活钾通道IKCa1在宫颈癌中上调并促进细胞增殖。

Intermediate-Conductance-Ca2-Activated K Channel IKCa1 Is Upregulated and Promotes Cell Proliferation in Cervical Cancer.

作者信息

Liu Ling, Zhan Ping, Nie Dan, Fan Lingye, Lin Hairui, Gao Lanyang, Mao Xiguang

机构信息

Department of Gynaecology and Obstetrics, The Affiliated Hospital of Southwest Medical University, Luzhou, Sichuan, China (mainland).

出版信息

Med Sci Monit Basic Res. 2017 Mar 10;23:45-57. doi: 10.12659/msmbr.901462.

Abstract

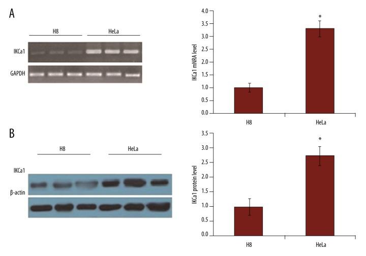
BACKGROUND Accumulating data point to intermediate-conductance calcium-activated potassium channel (IKCa1) as a key player in controlling cell cycle progression and proliferation of human cancer cells. However, the role that IKCa1 plays in the growth of human cervical cancer cells is largely unexplored. MATERIAL AND METHODS In this study, Western blot analysis, immunohistochemical staining, and RT-PCR were first used for IKCa1protein and gene expression assays in cervical cancer tissues and HeLa cells. Then, IKCa1 channel blocker and siRNA were employed to inhibit the functionality of IKCa1 and downregulate gene expression in HeLa cells, respectively. After these treatments, we examined the level of cell proliferation by MTT method and measured IKCa1 currents by conventional whole-cell patch clamp technique. Cell apoptosis was assessed using the Annexin V-FITC/Propidium Iodide (PI) double-staining apoptosis detection kit. RESULTS We demonstrated that IKCa1 mRNA and protein are preferentially expressed in cervical cancer tissues and HeLa cells. We also showed that the IKCa1 channel blocker, clotrimazole, and IKCa1 channel siRNA can be used to suppress cervical cancer cell proliferation and decrease IKCa1 channel current. IKCa1 downregulation by specific siRNAs induced a significant increase in the proportion of apoptotic cells in HeLa cells. CONCLUSIONS IKCa1 is overexpressed in cervical cancer tissues, and IKCa1 upregulation in cervical cancer cell linea enhances cell proliferation, partly by reducing the proportion of apoptotic cells.

摘要

背景 越来越多的数据表明,中间电导钙激活钾通道(IKCa1)在控制人类癌细胞的细胞周期进程和增殖中起关键作用。然而,IKCa1在人类宫颈癌细胞生长中所起的作用在很大程度上尚未得到探索。

材料与方法 在本研究中,首先使用蛋白质印迹分析、免疫组织化学染色和逆转录聚合酶链反应(RT-PCR)对宫颈癌组织和HeLa细胞中的IKCa1蛋白和基因表达进行检测。然后,分别使用IKCa1通道阻滞剂和小干扰RNA(siRNA)抑制HeLa细胞中IKCa1的功能并下调其基因表达。经过这些处理后,我们通过MTT法检测细胞增殖水平,并使用传统的全细胞膜片钳技术测量IKCa1电流。使用膜联蛋白V-异硫氰酸荧光素/碘化丙啶(PI)双染凋亡检测试剂盒评估细胞凋亡情况。

结果 我们证明IKCa1 mRNA和蛋白在宫颈癌组织和HeLa细胞中优先表达。我们还表明,IKCa1通道阻滞剂克霉唑和IKCa1通道siRNA可用于抑制宫颈癌细胞增殖并降低IKCa1通道电流。特异性siRNAs下调IKCa1可导致HeLa细胞中凋亡细胞比例显著增加。

结论 IKCa1在宫颈癌组织中过表达,宫颈癌细胞系中IKCa1的上调增强细胞增殖,部分是通过降低凋亡细胞比例实现的。

https://cdn.ncbi.nlm.nih.gov/pmc/blobs/d3b4/5358865/4305ee57b055/medscimonitbasicres-23-45-g001.jpg

相似文献

4
Blockage of intermediate-conductance-Ca(2+) -activated K(+) channels inhibits progression of human endometrial cancer.
Oncogene. 2007 Aug 2;26(35):5107-14. doi: 10.1038/sj.onc.1210308. Epub 2007 Feb 19.
5
The K+ channel iKCA1 potentiates Ca2+ influx and degranulation in human lung mast cells.
J Allergy Clin Immunol. 2004 Jul;114(1):66-72. doi: 10.1016/j.jaci.2004.04.005.
7
Facilitation of Ca2+-activated K+ channels (IKCa1) by mibefradil in B lymphocytes.
Pflugers Arch. 2008 Jun;456(3):549-60. doi: 10.1007/s00424-007-0438-5. Epub 2008 Jan 8.
8
Inhibitory effects of blockage of intermediate conductance Ca(2+)-activated K (+) channels on proliferation of hepatocellular carcinoma cells.
J Huazhong Univ Sci Technolog Med Sci. 2013 Feb;33(1):86-89. doi: 10.1007/s11596-013-1076-0. Epub 2013 Feb 8.
9
Blockade of the intermediate-conductance calcium-activated potassium channel as a new therapeutic strategy for restenosis.
Circulation. 2003 Sep 2;108(9):1119-25. doi: 10.1161/01.CIR.0000086464.04719.DD. Epub 2003 Aug 25.

本文引用的文献

2
High expression of KCa3.1 in patients with clear cell renal carcinoma predicts high metastatic risk and poor survival.
PLoS One. 2015 Apr 7;10(4):e0122992. doi: 10.1371/journal.pone.0122992. eCollection 2015.
3
Arecoline inhibits intermediate-conductance calcium-activated potassium channels in human glioblastoma cell lines.
Eur J Pharmacol. 2015 Jul 5;758:177-87. doi: 10.1016/j.ejphar.2015.03.065. Epub 2015 Apr 2.
4
A proinvasive role for the Ca(2+) -activated K(+) channel KCa3.1 in malignant glioma.
Glia. 2014 Jun;62(6):971-81. doi: 10.1002/glia.22655. Epub 2014 Mar 2.
5
Positive feedback regulation of agonist-stimulated endothelial Ca2+ dynamics by KCa3.1 channels in mouse mesenteric arteries.
Arterioscler Thromb Vasc Biol. 2014 Jan;34(1):127-35. doi: 10.1161/ATVBAHA.113.302506. Epub 2013 Oct 31.
6
K(+) channels and cell cycle progression in tumor cells.
Front Physiol. 2013 Aug 20;4:220. doi: 10.3389/fphys.2013.00220. eCollection 2013.
7
KCa3.1 channels are involved in the infiltrative behavior of glioblastoma in vivo.
Cell Death Dis. 2013 Aug 15;4(8):e773. doi: 10.1038/cddis.2013.279.
8
Inhibitory effects of blockage of intermediate conductance Ca(2+)-activated K (+) channels on proliferation of hepatocellular carcinoma cells.
J Huazhong Univ Sci Technolog Med Sci. 2013 Feb;33(1):86-89. doi: 10.1007/s11596-013-1076-0. Epub 2013 Feb 8.
9
The potassium channel KCa3.1 as new therapeutic target for the prevention of obliterative airway disease.
Transplantation. 2013 Jan 27;95(2):285-92. doi: 10.1097/TP.0b013e318275a2f4.
10
The inhibition of KCa3.1 channels activity reduces cell motility in glioblastoma derived cancer stem cells.
PLoS One. 2012;7(10):e47825. doi: 10.1371/journal.pone.0047825. Epub 2012 Oct 22.

文献AI研究员

20分钟写一篇综述,助力文献阅读效率提升50倍。

立即体验

用中文搜PubMed

大模型驱动的PubMed中文搜索引擎

马上搜索

文档翻译

学术文献翻译模型,支持多种主流文档格式。

立即体验